Niềng răng như thế nào để đẹp và bền vững
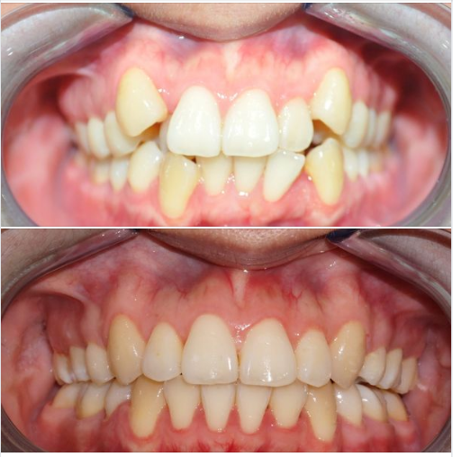
Để kết quả niềng răng đẹp, bạn cần gặp bác sĩ giỏi. Vật liệu tốt là không bao giờ đủ để đạt được kết quả điều trị tốt. Nó chỉ đem lại kết quả tốt khi bác sĩ hiểu rõ, biết cách sử dụng để "niềng" chiếc răng bạn vào đúng vị trí![]()
![]()
![]()
![]()
Để kết quả bền vững, bạn cần kiên nhẫn! Nếu mức độ răng bạn lệch càng nhiều, thời gian điều trị thường lâu và kéo dài hơn! Di chuyển răng ở tốc độ hợp lý, chính xác là yếu tố quan trọng nhất để niềng răng ít đau, không hư hại răng và kết quả được bền vững lâu dài![]()
![]()
![]()
![]()
P/s: Hình ảnh một ca niềng răng mắc cài trong 2.5 năm.
Em bị rớt 1 mắt niềng của răng bên góc dưới hàm và 1 cái bên răng nanh có làm sao ko ạ Răng của em chỉ chỉnh hai răng cửa và hai răng đối diện răng cửa thôi ạ
Làm thế nào để thu nhỏ lỗ rốn cho nó đẹp hơn và làm cân đối hai bên ngực đây?
Tôi đã làm nâng ngực và tạo hình thành bụng cách đây 3 tháng. Tôi ghét lỗ rốn của tôi. Tôi cảm thấy nó quá lớn và da bên trong gần như nhô ra ngoài, ở giữa còn không có đường thẳng. Tôi muốn có một cái rốn nhỏ hình bầu dục. Có sửa được không ạ? Tôi đã hỏi bác sĩ phẫu thuật của mình và bác sĩ nói rằng cách duy nhất để sửa sẽ làm cho rốn của tôi to hơn. Ngoài ra, một bên vú có hình dạng khác, cao hơn bên kia và núm vú bên phải của tôi hướng xuống nhiều hơn. Làm thế nào để chỉnh lại cho cân đối? Tôi biết là bác sĩ đã khâu bên dưới da để giữ cho bầu ngực cao hơn.
Có thể dùng niềng răng trong suốt Invisalign sau khi niềng răng truyền thống không?
Tôi đã dùng niềng răng kim loại (có mắc cài) để điều chỉnh vấn đề răng hô và thu hẹp răng thưa nhưng sau khi tháo niềng tôi lại không dùng hàm duy trì. Vì thế, hiện tại các răng lại bắt đầu xuất hiện khoảng trống. Tôi đã tháo niềng được vài năm và không biết bây giờ nên làm gì. Liệu niềng răng trong suốt Invisalign (không mắc cài) có phải là giải pháp tốt nhất đối với vấn đề của tôi không? Tôi có thể cần dùng hàm duy trì không?
Lựa chọn niềng răng truyền thống hay niềng Invisalign đối với răng khấp khểnh, thưa và khớp cắn sâu?
Răng của tôi bị khấp khểnh ở hàm dưới, thưa và chìa ra ở hàm trên, đồng thời, hàm trên nhô ra ngoài so với hàm dưới. Tôi nên chọn phương pháp niềng răng truyền thống có mắc cài hay niềng răng trong suốt Invisalign? Quá trình điều trị sẽ kéo dài bao lâu?
Sự khác nhau giữa niềng răng trong suốt invisalign và niềng răng truyền thống?
Tôi xem trên tivi và internet, thấy nói hiệu quả của niềng răng trong suốt invisalign và niềng răng kim loại có mắc cài là tương đương nhau. Các bác sĩ có thể giải thích về sự khác nhau của 2 phương pháp niềng răng này được không?
Khi bạn là người bị phải sở hữu hàm răng hô vẩu và bị lẹm cằm thì phải làm sao đây? Làm thế nào để có khuôn mặt cân đối trở lại với hàm răng đều đẹp? Hãy cùng xem phù thủy niềng răng chia sẻ về vấn đề này nhé!
Lỗ mũi bên to bên nhỏ là một trong những biến dạng mũi không thể che giấu được, khiến bệnh nhân không chỉ mất đi nét thẩm mỹ trên gương mặt mà còn tác động không nhỏ đến tâm lý của họ.
Hai bên ngực bị lệch, không đều nhau bên to bên nhỏ
Ngay từ khi được giới thiệu, với ưu điệm vượt trội, bấm mí Multi-Point đã “đánh gục” tất cả các tín đồ làm đẹp đang có ý định bấm mí.
Phẫu thuật làm đẹp ngày nay đã không còn là đặc quyền dành riêng cho nữ giới khi nhu cầu thẩm mỹ ở nam giới cũng đang ngày một tăng cao để phục vụ cho công việc, cuộc sống.










