Implant không chỉ phục hình răng bị mất mà còn:
Phục hồi khả năng ăn nhai như thuở ban đầu Xem thêm trồng răng implant
Bảo vệ xương hàm, răng đối và sức khỏe răng miệng
Trẻ hóa nhờ nhai cân bằng, tránh hóp má
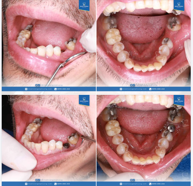
Cảm ơn anh Đức Thịnh đã tin tưởng bác sĩ Giang và nha khoa Ngân Phượng. Đặt lịch thăm khám miễn phí tại: m.me/nhakhoanganphuong
HỆ THỐNG NHA KHOA NGÂN PHƯỢNG
100 Doãn Kế Thiện, Cầu Giấy, Hà Nội
59 Trần Quốc Hoàn, Cầu Giấy, Hà Nội
67 Huỳnh Văn Bánh, Phú Nhuận, tp. Hồ Chí Minh
Bác sỹ cho em hỏi mắt em mở khoé mắt được 16 ngày thì em phát hiện lúc cắt chỉ bị sót ,nên em quay lại nơi cắt khoé lấy chỉ sót thì bạn cắt chỉ nhìn thấy chỉ nhưng do sâu quá bạn đấy làm nó tụt vào và mất dấu,vậy em hỏi nếu không lấy được chỉ thì em
Bác sỹ tư vấn giúp em
Em bị rớt 1 mắt niềng của răng bên góc dưới hàm và 1 cái bên răng nanh có làm sao ko ạ Răng của em chỉ chỉnh hai răng cửa và hai răng đối diện răng cửa thôi ạ
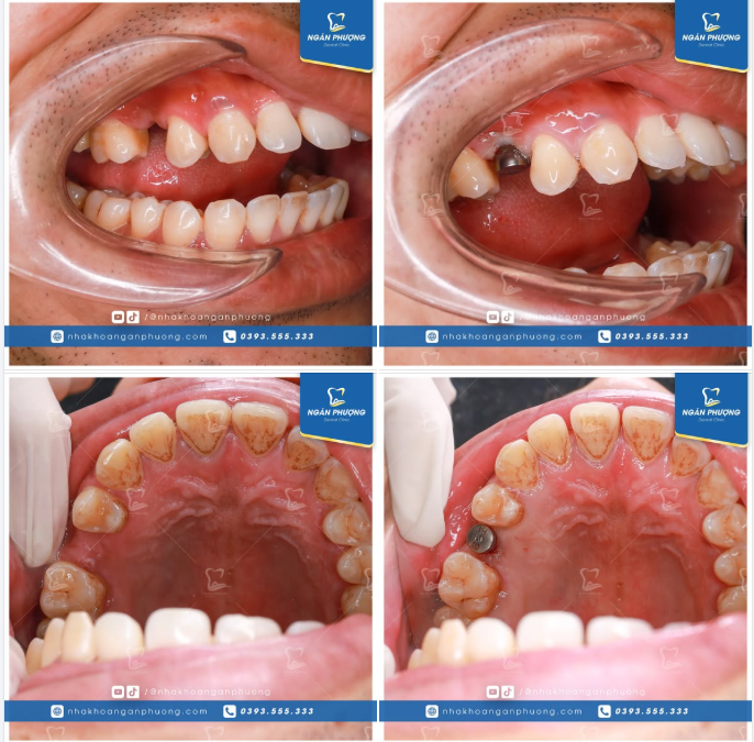
Phục hình gắn cement hay phục hình bắt vít trên trụ Implant?
Phục hình gắn cement hay phục hình bắt vít trên trụ Implant?
Mất răng: lựa chọn trồng răng Implant hay làm cầu răng sứ?
Tôi đọc được một bài báo nói rằng: “Phương pháp trồng răng Implant để thay thế răng bị mất là giải pháp lâu dài tốt nhất để duy trì sức khỏe răng miệng. Ngoài ra, vì trụ Implant rất hiếm khi cần thay nên về lâu dài thì phương pháp trồng răng Implant sẽ kinh tế hơn so với cầu răng sứ.” Điều này có đúng không?
Mất răng vĩnh viễn thì nên niềng răng hay trồng răng Implant?
Em 20 tuổi và bị mất một răng ở hàm trên bên phải. Không biết bây giờ em nên niềng răng để kéo răng lại hay trồng răng Implant vào đó ạ?
Hầu hết các vật liệu độn môi được làm từ Silicone
Suckhoe123 cung cấp mã trợ giá niềng răng chỉ còn 16.5 tr tổng chi phí, trả góp 1 triệu/tháng tại các phòng khám nha khoa tín
Nếu bạn thích dành thời gian cho các hoạt động ngoài trời vào mùa hè thì sẽ có hai vấn đề chính mà bạn sẽ phải đối mặt là cháy nắng và côn trùng cắn.
Tĩnh mạch mạng nhện có thể xuất hiện ở cả một số vị trí mà nhiều người không ngờ tới như mặt, bàn tay và bàn chân.
Chỉ khâu là một trong những thành phần vô cùng quan trọng trong tất cả các ca tạo mắt hai mí. Nó đảm trách nhiệm vụ cố định và hình thành nếp mí.






