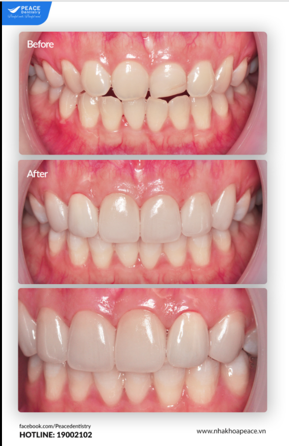
CHỈ ĐỊNH MẶT DÁN SỨ VENEER NON-PREP
Mặt dán sứ Veneer Non-Prep có thể hiểu nôm na phương pháp làm mặt dán sứ veneer và không cần sửa soạn hoặc sửa soạn không đáng kể ở men răng (không mài răng). Với giải pháp này, giúp cải thiện các khuyết điểm thẩm mỹ răng và mang lại nụ cười đẹp hơn mà răng tự nhiên được bảo tồn trọn vẹn.
Tuy nhiên, mặt dán sứ Veneer Non-Prep là một chỉ định rất khắt khe. Nó đòi hỏi cao ở tình trạng răng trước điều trị, răng phải đều, khớp cắn tốt và màu răng không quá sậm... đồng thời đòi hỏi kỹ năng thành thạo, chuyên môn của bác sĩ và vật liệu Veneer phải tốt.
Thông báo: Hiện nay, Hệ Thống Nha Khoa Peace Dentistry đang áp dụng chương trình ưu đãi giảm 1.500.000đ/răng đối với mặt dán sứ cao cấp IPS e.Max Press Multi.
Để đăng ký ưu đãi, tư vấn, đặt hẹn với bác sĩ chuyên gia của Peace Dentistry, Quý khách hàng vui lòng liên hệ qua các kênh:
HỆ THỐNG NHA KHOA PEACE DENTISTRY:
Giấy phép hoạt động Sở Y Tế số: 05206/SYT-GPHĐ
563 – 565 Trần Hưng Đạo, P. Cầu Kho, Quận 1, TP.HCM
147 Nguyễn Thiện Thuật, Phường 1, Quận 3, TP.HCM
328 Nguyễn Chí Thanh, Phường 5, Quận 10, TP.HCM
8B Nguyễn Ái Quốc, P.Tân Tiến, Biên Hòa, Đồng Nai
69/1, Phạm Văn Thuận, P. Bình Đa, Biên Hòa, Đồng Nai
439 Quốc Lộ 1A, KP9, P.Tân Biên, Biên Hòa, Đồng Nai
Niềng răng xong rồi dán sứ Veneer hay chỉ cần dán sứ Veneer?
Theo như ảnh chụp thì tôi nên niềng răng xong cho thẳng, rồi sau đó mới dán sứ Veneer cho răng cửa, hay có thể kết hợp cùng một lúc (trước đây tôi đã niềng răng cho các răng hàm trên nhưng bây giờ răng lại bị xô lệch). Làm thế nào để loại bỏ những mảng màu trắng trước và trong khi đeo niềng răng mặt trong (lingual braces)? Liệu nếu không niềng răng thì phương pháp dán sứ veneer cho tất cả các răng có hiệu quả hơn không? Có cần tẩy trắng răng và có nên làm cho hai răng cửa nhỏ lại không?
Buồn nôn và nôn mửa sau cắt vạt dạ dày?
Tôi đã phẫu thuật cắt vạt dạ dày 8 tháng trước và tới giờ vẫn bị buồn nôn và nôn ói dữ dội mỗi khi ăn. Hiện giờ còn đang bị táo bón nặng nữa. Các bác sĩ cho hỏi nguyên nhân là làm sao và điều trị bằng cách nào?
Buồn nôn và nôn mửa sau đặt bóng dạ dày có bình thường không?
Tôi có tiền sử bị trào ngược dạ dày thực quản trước đây và cách đây gần 3 tháng đã đi đặt bóng dạ dày. Đến giờ cứ thi thoảng là tôi lại bị buồn nôn, nôn mửa và trào ngược axit. Tôi đã giảm được 15kg nhưng cứ như thế này thì mệt quá. Tôi đang rất hối hận, biết thế này thì tôi đã chẳng đi đặt bóng. Hiện tượng này có bình thường không? Tôi cần làm gì bây giờ?
Nếu chỉ dán sứ veneer cho hàm trên mà không dán hàm dưới thì chi phí có giảm đi không?
Răng của tôi khá vàng mà tôi lại làm việc trong lĩnh vực kinh doanh nên cần cải thiện nụ cười của mình. Tôi đang suy nghĩ đến phương pháp dán sứ Veneer và đang tính xem cần dán sứ cho bao nhiêu răng. Nếu như tôi chỉ dán sứ cho 6 răng ở hàm trên thì liệu trông có buồn cười không? Tôi không muốn phải dán sứ cho cả 10 – 12 răng bởi tốn kém quá.
Nên chọn dán Bonding hay dán sứ Veneer để thay thế cho mặt dán composite cũ bị mẻ và ngả màu?
Tôi muốn biết loại mặt dán nào sẽ giúp cho răng trắng sáng hơn. Ngoài ra, tôi muốn chọn loại có thể bền khoảng 5 – 7 năm.
Có đến gần một nửa số bệnh nhân trứng cá đỏ (roacea) gặp phải một vấn đề về sức khỏe liên quan đến sự phát triển quá mức của các vi khuẩn ở ruột non, gọi tắt là SIBO.
Da non bao lâu thì hết đỏ? Thời gian để da non (da mới) trở nên không còn đỏ phụ thuộc vào nhiều yếu tố, bao gồm mức độ tổn thương, loại tình trạng da, cơ địa của từng người, và cách chăm sóc sau phẫu thuật hoặc tổn thương da.
Ngay sau khi vừa hoàn thành công đoạn hút mỡ, bệnh nhân sẽ được hỗ trợ mặc một loại băng ép, gen nịt, đồ bó nịt định hình phù hợp với từng vùng làm hút mỡ
Chỉ khâu là một trong những thành phần vô cùng quan trọng trong tất cả các ca tạo mắt hai mí. Nó đảm trách nhiệm vụ cố định và hình thành nếp mí.
Phẫu thuật nâng mũi đang là một trong những dịch vụ được nhiều khách hàng quan tâm và lựa chọn để cải thiện cánh mũi của mình.











