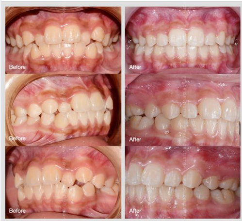
Ca lâm sàng chỉnh nha mắc cài hoàn thành sau hơn 20 tháng
Chẩn đoán chính: | ??̆? ???́? | ??̆?? ??̣? ??̣̂?? | ???? ???́?...làm ảnh hưởng rõ đến thẩm mỹ nụ cười, chức năng ăn nhai và phát âm.
Chỉ định điều trị chính:
- Chỉnh nha mắc cài kim loại;
- Thời gian tháo mắc cài dự báo: 20 tháng (+- 4 tháng);
- Tái khám mỗi tháng.
Kết quả sau điều trị: (Sau 20 tháng).
Các vấn đề cắn chéo, chen chúc được khắc phục triệt để, khớp cắn chuẩn, cung răng đẹp, răng đều đặn, đường nướu đẹp. Sức khỏe răng miệng tốt, chức năng ăn nhai tốt, chức năng phát âm tốt...
![]()
Để được tư vấn chuyên sâu về dịch vụ nha khoa hoặc đặt hẹn khám với bác sĩ, Quý khách hàng vui lòng liên hệ qua các kênh:
????? ???????
??̣? ??????? tư vấn: 0978 563 565 / 0942 563 565
HỆ THỐNG NHA KHOA PEACE DENTISTRY:
Giấy phép hoạt động Sở Y Tế số: 05206/SYT-GPHĐ
CS1: 563 – 565 Trần Hưng Đạo, P.Cầu Kho, Quận 1, TP.HCM - Hotline: 0978.563.565
CS2: 147 Nguyễn Thiện Thuật, Phường 1, Quận 3, TP.HCM - Hotline: 0942.563.565
CS3: 8B Nguyễn Ái Quốc, P.Tân Tiến, Biên Hòa, Đồng Nai - Hotline: 1800 1015
CS4: 69/1, Phạm Văn Thuận, Bình Đa, Biên Hòa, Đồng Nai - Hotline: 1800 1015
CS5: 439 Quốc Lộ 1A, KP9, P.Tân Biên, Biên Hòa, Đồng Nai - Hotline: 1800 1015
So sánh niềng răng mắc cài tự buộc và mắc cài sứ
Theo em biết thì có niềng răng mắc cài tự buộc của Damon gì đó. Nó có gì khác so với niềng răng mắc cài sứ? Em nên dùng mắc cài tự buộc hay mắc cài sứ nhỉ. Liệu dùng sứ có nhanh vỡ không, em đang phân vân 2 loại này.
Phân vân niềng răng mắc cài sứ và mắc cài kim loại điều trị răng hô vẩu
Em năm nay 25 tuổi muốn niềng để cải thiện tình trạng răng hô. Vì công việc của em phải tiếp xúc với nhiều người nên em đang phân vân giữa mắc cài sứ và mắc cài kim loại. Các bác sĩ có thể tư vấn được không ạ?
Có phải kỳ kinh nguyệt sắp tới và làm việc nhà nhẹ nhàng khiến tôi bị sưng đến mức này không? Tôi đã chính thức làm phẫu thuật thành bụng được 1 tháng
Hai bức ảnh này chỉ được chụp cách nhau 4 ngày, liệu có phải là vì tôi sắp tới kỳ kinh nguyệt không? Tôi cũng làm việc nhà nhẹ nhàng như là rửa bát và đem một ít quần áo đi giặt. Hôm nay chính thức được 1 tháng kể từ khi tôi làm phẫu thuật.
Làm trắng răng tại nhà và tẩy trắng răng tại phòng khám nha khoa
Phương pháp nào có hiệu quả tẩy trắng răng cao hơn?
Một trong những núm vú của tôi đã chuyển sang màu đen hoàn toàn sau khi làm thu nhỏ vú, tôi nên làm gì?
Tôi đã trải qua cuộc phẫu thuật cách đây 15 ngày. Tôi đã chuyển từ cỡ 36H xuống cỡ 36D, sau khoảng một tuần gì đó, núm vú bên phải của tôi bắt đầu chảy máu và chuyển sang màu đen. Bác sĩ phẫu thuật thẩm mỹ của tôi nói rằng nó chỉ bị hoại tử một phần và cách tốt nhất là chỉ bôi thuốc mỡ kháng sinh. Tôi thực sự muốn tin tưởng bác sĩ trong việc này, nhưng tôi rất lo lắng về việc núm vú bị chết (nếu giờ nó chưa chết). Tôi có nên tham khảo ý kiến của bác sĩ phẫu thuật thẩm mỹ khác không?
Tìm hiểu về một số loại niềng răng trên thị trường hiện nay
Nếu bạn cần niềng răng thì sẽ có rất nhiều lựa chọn khác nhau, từ loại niềng với mắc cài có màu cho đến các mắc cài trong suốt. Việc đưa ra quyết định lựa chọn sẽ khá khó khăn.
Làm đẹp với nha đam! Khám phá cách chăm sóc da hiệu quả với nha đam - nguồn dưỡng chất tự nhiên giàu vitamin và khoáng chất. Tận hưởng làn da mềm mại, sáng bóng và khỏe mạnh với các phương pháp chăm sóc da đơn giản
Suckhoe123 cung cấp mã trợ giá niềng răng chỉ còn 16.5 tr tổng chi phí, trả góp 1 triệu/tháng tại các phòng khám nha khoa tín
1 tháng tóc dài ra bao nhiêu cm? Để tóc dài nhanh hơn thì cần phải nuôi dưỡng tóc từ cả bên trong lẫn bên ngoài. Bạn cần phải chú ý đến chế độ dinh dưỡng, tránh các tác nhân gây hại cho tóc và kết hợp sử dụng sản phẩm chăm sóc tóc phù hợp.











