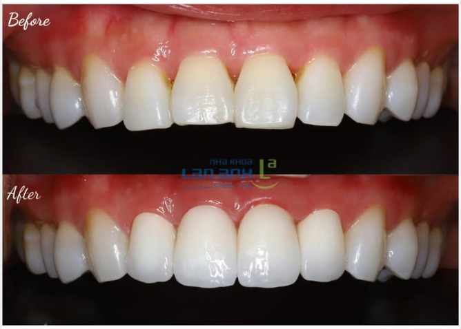
Bạn có răng bị bể vỡ lớn mà chưa xử lý không? Mời bạn tham khảo phục hình răng bằng onlay sứ tại nha khoa Lan Anh nha!
Làm onlay sứ, răng được bảo tồn nhiều mặt của răng, giúp răng đẹp tự nhiên, và lưỡi quen thuộc với răng, không thấy khó chịu ạ! Xem thêm bọc răng sứ
Tạo hình lợi bằng laser hay phẫu thuật làm dài thân răng để chữa cười hở lợi?
Tôi đã từng tiêm Botox và filler rồi nhưng thấy không có hiệu quả lắm. Ngoài ra, 4 răng cửa của tôi rất nhỏ nên tôi muốn tìm một phương pháp khắc phục cười hở lợi, đồng thời làm cho các răng này to hơn một chút. Tôi đã nói chuyện với hai bác sĩ, một người khuyên là nên tạo hình lợi bằng laser trong khi bác sĩ kia lại bảo nên làm dài thân răng và dán sứ Veneer. Tôi mới 20 tuổi thôi và muốn tìm một phương pháp có thể điều trị cười hở lợi vĩnh viễn để lợi không bao giờ mọc lại nữa thì nên chọn phương pháp nào? Ngoài ra, tôi không muốn phải mài răng thì có nên chọn dán sứ Veneer không hay chỉ dán composite thôi?
Có cần gây tê khi bọc răng sứ bằng hệ thống Cerec không?
Bác sĩ thường dùng loại thuốc gây tê nào khi tiến hành bọc răng sứ? Sau điều trị thì khách hàng có cần dùng loại thuốc nào khác ngoài thuốc giảm đau không kê đơn không?
Có thể khắc phục được tình trạng răng chen chúc xô lệch mà không cần nhổ răng không?
Tôi 23 tuổi và đang cân nhắc đến việc niềng răng để khắc phục tình trạng răng mọc khấp khểnh. Tôi đã đến gặp hai bác sĩ nha khoa thẩm mỹ và họ đều nói là cần phải nhổ răng nhưng tôi lại không muốn vậy. Hàm dưới của tôi gần như hoàn hảo nhưng tôi có tật nghiến răng vào ban đêm. Vậy tôi muốn hỏi là có thật sự cần phải nhổ răng hay không?
Môi có bị thay đổi sau khi nhổ răng và niềng để chữa răng vẩu không?
Liệu môi trên có bị nhỏ đi sau khi nhổ răng và niềng răng để chữa vẩu không?
Niềng răng trong suốt Invisalign có khắc phục được khớp cắn sâu không?
Niềng răng trong suốt Invisalign có hiệu quả với khớp cắn sâu và răng hô không?
Nhiều người không biết rằng hàm răng khấp khểnh không chỉ ảnh hưởng đến vẻ ngoài của một người mà còn có những tác động tiêu cực đến sức khỏe nữa.
Nếu bạn nghĩ rằng con mình có thể gặp vấn đề về răng sau này thì hoàn toàn có thể ngăn ngừa trước bằng cách can thiệp sớm.
Khi nói đến việc niềng răng trong suốt Invisalign thì tuổi tác bao nhiêu cũng không thành vấn đề vì không có giới hạn tuổi đối với người dùng.
Bên cạnh một nụ cười đẹp, việc niềng răng cho trẻ nhỏ sẽ đem lại những lợi ích mà bạn chưa hề nghĩ đến ví dụ như kết quả ổn định hơn, cải thiện tình trạng sức khỏe tổng thể và tăngsự tự tin cho trẻ.
Nhờ những tiến bộ về công nghệ như hình ảnh 3D, toàn bộ quá trình chẩn đoán và nắn chỉnh răng sẽ trở nên thoải mái, nhanh chóng và chính xác hơn bao giờ hết.











