Tìm hiểu về khối u mô đệm đường tiêu hóa (GIST)
1. Thế nào là u mô đệm đường tiêu hóa?
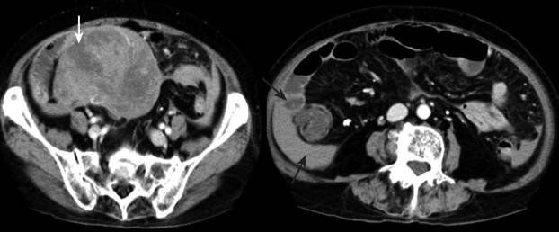
U mô đệm dạ dày ruột hay u mô đệm đường tiêu hóa (tiếng Anh là Gastrointestinal Stromal Tumor, viết tắt là GIST), gọi tắt là u mô đệm GIST, là ung thư của các tế bào mô liên kết với xương, hay còn gọi là sarcoma.
Phần lớn khối u mô đệm đường tiêu hóa xuất hiện và phát triển ở dạ dày (khoảng 60%), ruột non (35%) và một số ít ở thực quản, đại tràng và trực tràng. Đặc điểm khối u mô đệm đường tiêu hóa là phát triển chậm nhưng có thể thay đổi từ lành tính sang ác tính với mức độ từ thấp đến cao.
2. Các yếu tố nguy cơ phát triển u mô đệm đường tiêu hóa
Cho đến nay vẫn chưa biết được chính xác nguyên nhân gây ra khối u mô đệm đường tiêu hóa. Các yếu tố sau được cho là làm tăng nguy cơ phát triển khối u, bao gồm:
- Tuổi tác: Độ tuổi trung bình mà khối u biểu hiện triệu chứng nhận biết là khoảng từ 50 - 60 tuổi. Một số ít trường hợp hiếm gặp phát hiện u mô đệm dưới 40 tuổi.
- Gen, di truyền: Nhiều nghiên cứu cho thấy khối u mô đệm đường tiêu hóa có thể là do đột biến gen KIT và có khả năng di truyền từ cha mẹ sang con. Mặc dù rất hiếm gặp nhưng nếu do di truyền, khối u có thể xuất hiện ở những người trẻ tuổi hơn trong gia đình ở các thế hệ sau và phát triển nhiều khối u hơn.
XEM THÊM: Những điều cơ bản về u mô đệm đường tiêu hóa
3. Triệu chứng của u mô đệm đường tiêu hóa
Tùy thuộc vào kích thước và vị trí của khối u mà bệnh biểu hiện khác nhau. Khối u có thể hình thành từ đường tiêu hóa, phát triển và ảnh hưởng những cơ quan, tổ chức khác lân cận, hoặc cũng thể di căn xa hơn. Vì vậy, biểu hiện bệnh ở mỗi người là khác nhau. Tuy nhiên, những triệu chứng của khối u mô đệm đường tiêu hóa thường gặp có thể là:
- Thường xuyên cảm thấy buồn nôn, nôn, khó chịu ở bụng, đau bụng.
- Đại tiện ra máu.
- Nuốt khó hoặc đau.
- Cảm thấy đầy bụng mặc dù chỉ ăn rất ít.
- Suy nhược cơ thể, thường xuyên thấy mệt mỏi,
- Có thể sờ được khối u ở bụng.
4. Chẩn đoán phát hiện khối u mô đệm đường tiêu hóa
Những kỹ thuật sau được sử dụng để chẩn đoán khối u mô đệm GIST, chúng thường bằng nội soi có sinh thiết và siêu âm nội soi để phân loại giai đoạn.
- Thăm khám lâm sàng
- Xét nghiệm tìm máu trong phân
- Chụp CT, MRI, PET
- Siêu âm nội soi
- Sinh thiết
Trong đó, siêu âm nội soi và sinh thiết vừa giúp chẩn đoán chính xác, vừa phân loại giai đoạn khối u.
5. Điều trị khối u mô đệm đường tiêu hóa
Hiện nay, u mô đệm đường tiêu hóa có thể được điều trị bằng những phương pháp sau:
- Phẫu thuật: U mô đệm GIST chủ yếu được điều trị bằng phương pháp phẫu thuật cắt bỏ toàn bộ khối u và các tế bào mô xung quanh. Phương pháp này được áp dụng trong trường hợp khối u chưa di căn sang các cơ quan, tổ chức khác trong cơ thể. Khi đó, phẫu thuật sẽ đảm bảo các tế bào khối u không bị sót lại, tiến triển và di căn. Bệnh nhân u mô đệm dạ dày ruột nếu được tiến hành phẫu thuật kịp thời có thể khỏi với tỷ lệ và thời gian sống cao. Nếu không chữa trị kịp thời, khối u mô đệm có khả năng gây tử vong.
- Trị liệu đích: Hiện nay, trị liệu đích là phương pháp điều trị mới có khả năng phát hiện và tiêu diệt các tế bào ung thư chính xác. Phương pháp này được thực hiện trên những bệnh nhân mà khối u mô đệm GIST đã di căn xa, không thể phẫu thuật được. Tuy nhiên, phương pháp này vẫn đảm bảo chất lượng cuộc sống của người bệnh.
- Thuốc ức chế tyrosine kinase imatinib (TKIs): Thuốc ức chế tyrosine kinase imatinib là một loại thuốc đặc biệt được chỉ định trong điều trị khối u mô đệm GIST với tác dụng ngăn chặn tín hiệu đến tế bào ung thư để chúng phát triển. Phương pháp này được thực hiện trong những trường hợp người bệnh không thể phẫu thuật được, khối u mô đệm GIST di căn, hoặc làm nhỏ khối u để tiến hành phẫu thuật. Trên bệnh nhân lớn tuổi, phương pháp này giúp điều trị bổ trợ hậu phẫu.
Tùy vào các yếu tố như đặc tính của khối u, phương pháp điều trị, nguy cơ tái phát, tỷ lệ và thời gian sống của người bệnh khác nhau. Mặc dù bệnh có thể tiến triển mãn tính nhưng tỷ lệ thành công trong điều trị cao.
Khối u mô đệm đường tiêu hóa gây đau bụng các triệu chứng khó chịu khác về tiêu hóa như đầy bụng, nôn mửa, đại tiện ra máu. Khi nhận thấy bất thường nêu trên, người bệnh nên đến các bệnh viện chuyên khoa Tiêu hóa để được thăm khám, tư vấn và điều trị kịp thời.
U mô đệm cần được thăm khám với bác sỹ chuyên khoa ngoại tiêu hóa ngay khi phát hiện (thường tình cờ qua nội soi, chẩn đoán hình ảnh hoặc khi có triêu chứng bệnh). Tại bệnh viện có đầy đủ hệ thống nội soi tiêu hóa, CT scanner hiện đại và labo giải phẫu bệnh giúp chẩn đoán chính xác U mô đệm ống tiêu hóa, tư vấn phương pháp điều trị phù hợp và hiệu quả.
Nội soi mật tụy ngược dòng là kỹ thuật nội soi ít xâm lấn, được sử dụng để chẩn đoán và điều trị nhiều bệnh lý khác nhau như chẩn đoán viêm tụy cấp do sỏi kẹt tại bóng Vater, giun chui ống mật, sỏi đường mật,... Hãy cùng các chuyên gia của tìm hiểu rõ hơn về kỹ thuật này qua bài viết dưới đây.
Túi thừa đại tràng là bệnh lý khá phổ biến, đặc biệt là sau tuổi 40. Khi túi thừa đại tràng bị viêm mà không được chẩn đoán và điều trị hiệu quả có thể để lại nhiều biến chứng nghiêm trọng, dễ gây nhầm lẫn với ung thư đại trực tràng. Vì vậy, cần thực hiện xét nghiệm tầm soát hằng năm để phát hiện bệnh viêm túi thừa đại tràng kịp thời.
Bệnh túi thừa đại tràngnếu không được chẩn đoán và điều trị sớm có thể để lại nhiều biến chứng nghiêm trọng, trong đó viêm túi thừa là biến chứng thường gặp nhất. Điều trị túi thừa đại tràng biến chứng có thể cần phải kết hợp điều trị nội khoa và phẫu thuật cắt bỏ túi thừa đại tràng.
Thoát vị bẹn chiếm khoảng 75% trong số các loại thoát vị thành bụng. Ống bẹn nằm ở vùng háng. Ở nam giới, tinh hoàn thường đi qua ống bẹn xuống bìu trong thời gian ngắn trước khi sinh. Ở nữ, ống bẹn là vị trí của các dây chằng tử cung.
Sỏi ống mật chủ (sỏi đường mật) là sự hiện diện của sỏi trong đường mật chính ngoài gan. Đường mật chính ngoài gan bao gồm ống gan phải và trái, ống gan chung và ống mật chủ.
Nếu không được điều trị, tình trạng loét đường tiêu hóa sẽ ngày càng nặng và dẫn đến các biến chứng nghiêm trọng như thủng dạ dày – ruột, chảy máu trong và hình thành sẹo.
Xuất huyết tiêu hóa dần dần sẽ gây thiếu máu, nôn ra máu hoặc phân có lẫn máu. Chảy máu trong nghiêm trọng thậm chí còn có thể đe dọa đến tính mạng và cần can thiệp phẫu thuật.





