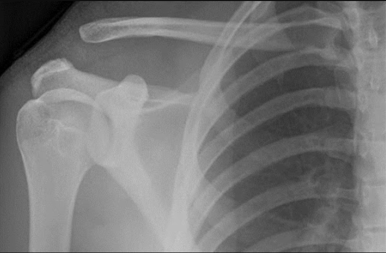
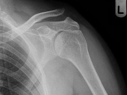
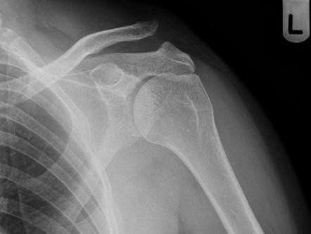
Hình ảnh trật khớp cùng đòn chụp x quang ở tư thế trước và sau
1. Thế nào là khớp cùng đòn?
Dây chằng phía trước và phía sau là những dây chằng khỏe nhất, được gia cố bới lớp cân của cơ delta và cơ thang. Các dây chằng khớp có vai trò quan trọng trong việc ổn định các cử động ra trước và ra sau của khớp cùng đòn. Dây chằng quạ đòn bao gồm 2 dây chằng là dây chằng thang và dây chằng nón.Các dây chằng này giúp hạn chế sự di lệch của xương đòn lên trên và xuống dưới.
2. Chấn thương khớp cùng đòn được chia thành mấy loại
Trật khớp cùng đòn là một chấn thương vai thường gặp (do chấn thương thể thao hoặc do ngã đập vai xuống nền cứng). Thường gặp trong các vận động viên xe đạp, trượt tuyết hoặc đá bóng. Trật khớp cùng đòn khi lực tác động vào phía ngoài xương đòn dẫn đến trật khớp ở mức độ nhẹ, trung bình hoặc nặng. Ở mức độ nhẹ, trung bình thì các dây chằng liên quan căng giãn hoặc đứt một phần. Ngược lại ở các trường hợp nặng thì các dây chằng néo giữ xương đòn xuống dưới bị đứt, khi đó đầu ngoài xương đòn bị bật lên, có thể thấy da phía ngoài nhô lên.
Phân loại
Tossy và Allman ban đầu mô tả trật khớp cùng đòn với 3 type I, II, III vào năm 1960.Đến năm 1984 tác giả Rockwood ghi nhận và bổ sung thêm vào sự phân loại các type IV,V,VI theo bảng sau:

Theo đó:
- Độ I là dãn dây chằng cùng đòn, dây chằng quạ đòn còn nguyên.
- Độ II: đứt dây chằng cùng đòn, dãn dây chằng quạ đòn.
- Từ độ III: đứt dây chằng cùng đòn, đứt hoàn toàn dây chằng quạ đòn, độ III với đầu ngoài xương đòn di lệch 25- 100% so với đối bên.
- Độ IV là đầu ngoài xương đòn di lệch ra sau vào cơ thang.
- Độ V là đầu ngoài xương đòn di lệch hơn 100% so với đối bên.
- Độ VI hiếm gặp với đầu ngoài xương đòn di lệch vào mặt dưới mỏm quạ.
3. Hình ảnh trật khớp cùng đòn trên x quang ở tư thế trước và sau
- Chụp vai với các tư thế trước-sau, bên theo tiêu chuẩn, tuy nhiên chụp với tư thế Zanka cho cái nhìn rõ ràng nhất về khớp cùng đòn. Các tia X sẽ chiếu nghiêng khoảng 10-15 độ hướng lên đầu, để quan sát rõ nhất người bệnh nên xách mỗi bên khoảng 5kg và so sánh giữa 2 bên trên phim XQ.
Chụp với tia cường độ cao có thể cho phép phân biệt các dạng tổn thương giữa type I và II, đặc biệt quan trọng hơn trong phân biệt giữa type II và type III.
Ho rát họng có đờm là một vấn đề phổ biến có thể gặp ở bất kỳ ai. Nguyên nhân của tình trạng này có thể là viêm amidan, cảm cúm, viêm họng, thậm chí là ung thư vòm họng.
Viêm phế quản là một bệnh lý phổ biến trong xã hội ngày nay mà nhiều người có thể mắc phải. Tuy viêm phế quản không gây nguy hiểm đến tính mạng nhưng có thể ảnh hưởng đáng kể đến sức khỏe của người bệnh.
Ho, sốt đau họng là những triệu chứng thường gặp cùng lúc và có thể ảnh hưởng đến cuộc sống hàng ngày. Bài viết dưới đây sẽ làm rõ nguyên nhân, cách nhận biết và những phương pháp hiệu quả để giảm nhẹ và xua tan những triệu chứng này.
Là một phần quan trọng của hệ hô hấp, họng thường mắc phải nhiều bệnh lý khác nhau. Các bệnh về họng có thể đơn giản chỉ là viêm họng hoặc có thể nghiêm trọng hơn như viêm amidan, viêm thanh quản và thậm chí ung thư họng.
Thời điểm giao mùa, các trung tâm Y tế đang ghi nhận nhiều trường hợp bệnh nhi mắc viêm phổi do vi khuẩn Mycoplasma. Đây là một bệnh thường xuất hiện trong mùa giao mùa, đặc biệt làm lây lan nhanh chóng.
Nếp gấp màu trắng trên mí mắt sau 6 tháng cắt mí
Dạ em có cắt mí được 6 tháng rồi ạ. Thì sau khi cắt mí 6 tháng, ở mắt phải (mắt khoanh tròn) em thấy có nếp gấp màu trắng ở đó còn mắt trái không có. Em không biết sau này có hết không ạ? Ảnh em nhắm mắt là sau 4 tháng thì cả hai mắt có đường màu trắng nhưng sau thì mắt trái hết rồi ạ. Và có một thắc mắc khác là lúc em cắt chỉ sau 7 ngày thì thấy mắt phải (mắt khoanh tròn), đường mí không vào đầu mắt ạ, còn mắt trái thì vào đầu mắt nên tự nhiên hơn, em không biết sau này nếu sửa lại thì có sửa cho mí mắt phải vào đầu mắt được không ạ?
- 0 trả lời
- 886 lượt xem
Lăn kim là một phương pháp thẩm mỹ hiệu quả nhằm kích thích lưu thông máu trên da, giảm sẹo mụn và tăng cường sản xuất collagen. Tuy nhiên, quy trình này đôi khi có thể gây tổn thương da, người thực hiện phương pháp này phải chăm sóc da sau lăn kim để củng cố hàng rào bảo vệ da trong quá trình lành lại.
Nếu bạn đang phải khổ sở vì những đêm trằn trọc mất ngủ thì việc ngủ được ngay chỉ sau vài phút nằm xuống giường quả là một niềm mơ ước. Tuy nhiên, thật sự có những cách giúp bạn có thể chìm vào giấc ngủ chỉ sau 120, 60 hoặc thậm chí là 10 giây.
Nếu bị rụng tóc nhiều bất thường dù đã điều chỉnh chế độ ăn uống và thói quen sinh hoạt thì có thể nguyên nhân là do một vấn đề sức khỏe tiềm ẩn. Một trong những nguyên nhân đó là mức ferritin thấp.
Thèm nhai đá có thể là do nhiều nguyên nhân nhưng hai nguyên nhân phổ biến nhất là thiếu máu do thiếu sắt và hội chứng pica.





