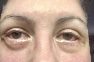
Nổi mụn như vết sưng ở góc ngoài mắt sau khi cắt mí dưới
Không có hình ảnh cụ thể nên tôi đoán bạn có thể đang bị mụn thịt, viêm bờ mi, rối loạn chức năng tuyến meibomian hoặc áp xe vết khâu. Vì bạn nói vị trí vết sưng nằm ở trên đường khâu nên áp xe vết khâu hoặc mụn thịt là những tình trạng có thể xảy ra nhất. Tốt nhất nên gặp bác sĩ trực tiếp để được đánh giá lại cũng như có thể có các phương pháp điều trị. Bạn cũng nên chườm ấm để hỗ trợ quá trình lành thương tự nhiên của cơ thể. Nếu vị trí đó ngày càng lan rộng, tăng về kích thước, mẩn đỏ, đau nhức hoặc nóng thì có thể bạn đang bị nhiễm trùng và cần được can thiệp điều trị ngay lập tức. Đừng bao giờ ngại liên hệ với bác sĩ phẫu thuật của mình.
Tùy vào tình trạng viêm ở vết sưng đó mà bạn có thể đợi cho đến lịch hẹn tái khám hoặc cần đi khám sớm hơn. Đây có thể là mụn thịt hoặc các mụn đầu trắng nhỏ, mềm, không đau nằm dọc hoặc bên cạnh đường khâu. Vấn đề này khá thường gặp sau phẫu thuật mí mắt và có thể được xử lý dễ dàng bằng kim tiêm hoặc laser. Tuy nhiên nếu nốt sưng này cứng hơn, tấy đỏ và phát triển to lên thì đó có thể là hiện tượng nhiễm trùng vết khâu hoặc chỉ khâu còn sót và cần được xử lý sớm. Cả hai trường hợp trên hầu như đều không ảnh hưởng đến kết quả cắt mí dưới cuối cùng của bạn. Tất cả những vấn đề này đều chỉ là tạm thời.
Đọc thêm: Cắt mí dưới
Nếu đó là những chấm trắng li ti gần giống như những nốt mụn nhỏ thì rất có thể là mụn thịt. Mụn thịt là một vết sưng nhỏ màu trắng, không đau, bất kỳ ai cũng có thể gặp phải ngay cả khi không phẫu thuật. Mụn thịt thường tự biến mất sau vài tháng nhưng thường thì bất kỳ bác sĩ phẫu thuật đủ trình độ chuyên môn nào cũng có thể dễ dàng loại bỏ nó bằng cách dùng một cây kim vô trùng. Thủ thuật này hoàn toàn không đau và không để lại sẹo. Ngoài ra cũng có thể đó là nốt chỉ khâu còn sót lại, nhưng tôi không chắc, cần phải khám trực tiếp mới biết được.
Không có gì là bất thường khi bệnh nhân phát hiện nổi các nốt sưng trắng nhỏ ở mí mắt sau khi phẫu thuật cắt mí. Những tổn thương này được gọi là mụn thịt. Đây là mụn đầu trắng, xuất hiện do tắc nghẽn lỗ chân lông ở vùng mí mắt. Những nốt mụn này có thể tự hết, nhưng trong hầu hết các trường hợp đều cần phải điều trị, có thể loại bỏ bằng kim hoặc laser. Đây là một quy trình rất nhanh chóng và dễ dàng.
Những nốt mụn này thường khá phổ biến, chúng được gọi là mụn thịt, nói một cách đơn giản thì chúng là những nốt chứa dầu, mọc xung quanh vết khâu. Những nốt mụn này có thể dễ dàng được loại bỏ, bằng cách dùng một cây kim nhỏ đâm vào nốt mụn, sau đó dầu sẽ chảy ra. Thông thường thủ thuật này sẽ không đau đớn gì do da vẫn đang bị giảm cảm giác trong vài tuần sau phẫu thuật. Ngoài ra, quy trình này cũng không để lại dấu vết gì, do đó không ảnh hưởng gì đến kết quả phẫu thuật.
Nếu đây là một vết sưng có màu trắng, thì rất có thể là mụn thịt. Chúng sẽ tự biến mất hoặc cần bác sĩ can thiệp loại bỏ. Nếu bạn cảm thấy vết này nằm sâu hơn, ở dưới da và không có thay đổi gì về màu da thì có thể đó là mô sẹo. Tốt nhất là để bác sĩ phẫu thuật kiểm tra trực tiếp.
Rất khó có thể chẩn đoán chính xác tình trạng của bạn nếu không được kiểm tra trực tiếp hoặc ít nhất là nhìn hình ảnh. Tuy nhiên mụn thịt hay các loại mụn không phải là tình trạng hiếm gặp khi hầu hết các bác sĩ đều cho bệnh nhân dùng kem dưỡng da và thuốc mỡ bôi mắt sau khi phẫu thuật mí mắt. Mụn này có thể tự hết theo thời gian, nhưng nếu không thì có thể loại bỏ bằng kim hoặc tia laser.
Mọi người cho em hỏi cắt chỉ mí mắt xong ở khoé mắt nổi cục mụn trắng như ảnh thì có vấn đề gì không ạ?
- 0 trả lời
- 324 lượt xem
Cắt mí xong bị nổi mụn
em cắt mí xong ngay đầu mí gần khoé mắt bị nổi mụn có đầu trắng là bị như nào ạ
- 0 trả lời
- 1693 lượt xem
Cắt mí xong bị nổi hột mụn nước
Em cắt mí hồi đầu ổn nhưng cho đến khi được 4 tháng mí bắt đầu gom lại thì em nhận thấy vết hằn ở nếp mí bị nổi hột như mụn nước, không biết này là bị gì ạ
- 2 trả lời
- 268 lượt xem
nổi vết đỏ trên mí mắt
Mí mắt cháu cắtđược 12 ngày thì xuất hiện 1 vết đỏ trên mí mắt, sau 5 ngày lại tiếp tục xuất hiện 1 vết nữa ở đuôi mắt thì có bị làm sao không ạ ? Mí mắt cháu cắt ngày 3/8
- 0 trả lời
- 447 lượt xem
2 tuần sau phẫu thuật mí dưới: xuất hiện một vết sưng u lên ở dưới mắt, liệu có nên matxa không?
Tôi 33 tuổi và mới cắt mí dưới được 12 ngày. Sau khi cắt chỉ tôi phát hiện có một vết sưng u lên (như quả bóng nhỏ) ở dưới mắt trái tại vị trí túi mỡ được cắt bỏ. Liệu theo thời gian nó có biến mất không? Tôi có cần phẫu thuật lại không? Nghe nói có thể matxa nó, liệu điều này có giúp ích gì không hay gây đau đớn.
- 3 trả lời
- 2602 lượt xem
Cắt mí bao lâu thì hết sưng, tấy. Khi đôi mắt 2 mí to đẹp là thứ vũ khí tuyệt vời không chỉ giúp cải thiện đáng kể thần thái, biểu cảm của người sở hữu
Không phải ai sinh ra cũng được ưu ái một đôi mắt long lanh, to tròn, sở hữu mắt xếch, hay còn gọi là mắt diều hâu bẩm sinh ít nhiều sẽ khiến bạn tự ti, mặc cảm hơn trong cuộc sống.
Nếp mí sưng phồng hay còn gọi là nếp mí xúc xích sau cắt mí là tình trạng mô mềm phình lên ở phía trên sụn mi, giữa nếp mí và bờ mi, thường đi kèm với tình trạng nếp mí cao và/hoặc da dày, mí mắt có thể hơi căng, khó chịu.
Suckhoe123 trợ giá nhiều dịch vụ thẩm mỹ cắt mí, nâng mũi, nâng V1, hút mỡ, Hifu, tiêm filler, niềng răng,… tại các bệnh viện, thẩm mỹ viện uy tín
Mắt một mí, mí nhiều da dư gây sụp mí, bọng mỡ mắt,.. sẽ được khắc phục bằng phẫu thuật cắt mí









