Phân tích caser: Niềng răng cho bệnh nhân 15 tuổi thay răng chậm, hàm chen chúc, có nhiểu răng vĩnh viễn mọc ngầm
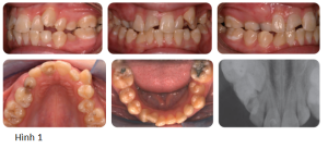
Bệnh nhân nữ 15 tuổi có sai khớp cắn hạng I trên nền xương hạng I với kích thước dọc trung bình, phức tạp bởi chen chúc nặng, R13 và R33 mọc lệch, còn nhiều răng sữa và R11 bị chấn thương (Hình 1).
Qua thăm khám, bác sĩ nhận thấy bệnh nhân không chỉ bị sai khớp cắn mà còn gặp phải các vấn đề chính sau đây:
- Sức khỏe răng miệng kém (các miếng trám trên những răng hàm lớn thứ nhất hàm dưới, chấn thương R11, hủy khoáng sớm ở cổ răng của những răng hàm lớn thứ nhất hàm dưới)
- Chen chúc nặng ở cả 2 cung răng
- R13 lệch (lệch trong, về phía khẩu cái) và R33 (theo đường cung răng).
- R22 cắn chéo
- Còn nhiều răng sữa
- Bệnh nhân 15 tuổi
Kế hoạch điều trị
- Cải thiện vệ sinh răng miệng
- Tham khảo ý kiến chuyên gia về R11.
Ở độ tuổi 15, bệnh nhân này có nhiều răng vĩnh viễn ngầm, nhiều răng sữa vẫn còn và chen chúc cung răng. Các vấn đề của bệnh nhân cần được giải quyết càng sớm càng tốt và cần được phối hợp để lập kế hoạch điều trị chặt chẽ và hợp lý. Tuy nhiên, tình trạng vệ sinh răng miệng nên được cải thiện và R11 nên được phục hồi tạm thời trước khi bắt đầu bất cứ điều trị chỉnh nha nào (TH này bác sĩ dán composite). Tiên lượng cho R11 là tốt sau khi điều trị nội nha tạm thời.
Ở hàm dưới, tình trạng chen chúc nặng đòi hỏi phải nhổ răng. R33 mọc ngầm và đó là lựa chọn để nhổ răng (nhất là khi bệnh nhân sắp 16 tuổi) cùng với một răng tiền hàm (hoặc thậm chí là R43) ở nửa cung bên phải hàm dưới. Một cách khác là có thể nhổ các răng tiền hàm và R33 được bộ lộ (răng này nằm ở vị trí tốt để mọc thuận lợi, đặc biệt bằng lực kéo chỉnh nha).
Ở hàm trên, cũng có chen chúc nặng ở nửa cung bên phải và R13 mọc lệch khá cao, nằm trong khẩu cái. R15 cũng mọc ngầm. Hàm trên cũng cần nhổ răng và 1 lần nữa có thể là răng nanh hoặc những răng hàm nhỏ. Tuy nhiên, quyết định được đưa ra là nhổ răng hàm nhỏ thứ nhất và bộc lộ/kéo R13.
Bệnh nhân được nhổ R73, R54, R55, R34, R44, R24, R14, bộc lộ kín và gắn thun chuỗi màu vàng vào R13 và bộ lộ mở R33. Việc này được thực hiện dưới hình thức gây mê toàn thân trong 1 lần thực hiện thủ thuật.
Khi những thủ thuật trên được thực hiện, cung ngang khẩu cái được đặt vào để tăng cường neo chặn cho cung hàm trên và hệ thống khí cụ cố định edgewise có sẵn thông số được lắp vào để nắn thẳng răng, phối hợp 2 cung răng và tạo ra khớp cắn chức năng hạng I. R15 mọc nhanh và không cần sự tác động, nhưng đòi hỏi lực kéo cho R13 và R33.
Kết quả được thể hiện trong hình 3




