Phân tích case: Nhổ răng, tăng cường neo chặn cho bệnh nhân sai khớp cắn hạng II, răng mọc ngầm và chen chúc
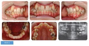
Bệnh nhân nữ 13 tuổi có sai khớp cắn hạng II tiểu loại 2 trên nền xương hạng II nhẹ với giảm kích thước dọc. Có sự chen chúc nặng ở cả 2 hàm răng, các răng hàm lớn vĩnh viễn thứ nhất bên trái đã có phục hồi lớn và sâu răng ở R47 (Hình 1)
Kế hoạch điều trị
- Nhổ R15 ngầm, R26, R44 và R36
- Khí cụ cố định edgewise được điều chỉnh sẵn ở hàm trên và hàm dưới, tăng cường neo chặn
- Duy trì
Qua thăm khám, bác sĩ nhận thấy trường hợp bệnh nhân này cần đòi hỏi neo chặn cao, dựa vào các yếu tố sau:
Chen chúc nặng:
- Chen chúc nặng ở hàm dưới với R35 và R44 mọc kẹt do thiếu khoảng
- Ở cung hàm trên, nhóm răng phía sau bị chen chúc nặng với cả 2 răng hàm nhỏ thứ 2 hàm trên mọc ngầm về phía vòm miệng. Nhóm răng trước hàm trên chen chúc mức độ vừa, cả 2 răng nanh nằm lệch má.
Độ nghiêng gần –xa của răng nanh: Tất cả các răng nanh đều nghiêng xa. Điều này đặc biệt đáng kể ở cung răng trên, nên làm tăng neo chặn trong giai đoạn nắn thẳng hàng nhóm răng trước hàm trên.
Độ nghiêng ngoài – trong của nhóm răng trước hàm trên: nhóm răng trước hàm trên đều ngả sau, điều này yêu cầu đặt torque để cải thiện độ nghiêng ngoài – trong của răng.
- Cần sửa đường giữa ở cả 2 cung răng.
Bác sĩ chỉ định nhổ răng trong trường hợp này là vì:
- R44 được nhổ vì chen chúc nặng và lệch lạc.
- Quyết định nhổ cả 2 răng: R26 và R36 dựa trên tình trạng của 2 răng này do cả 2 răng đều đã được trám phục hồi. Việc loại bỏ những răng này sẽ cung cấp đủ khoảng trống để giải phóng chen chúc ở nhóm răng sau.
- Ở cung răng trên, R15 chưa mọc và lạc chỗ bị nhổ do vị trí của nó không thuận lợi.
Neo chặn được tăng cường như thế nào trong TH này?
- Ở cung răng trên, sử dụng cung khẩu cái Nance để tăng cường neo chặn, ngăn nhóm răng sâu hàm trên di gần. Một cách khác, headgear có thể được sử dụng; dựa vào đọ cắn trùm tăng và kích thước dọc giảm, headgear kéo cổ sẽ là lựa chọn tốt nhất.
- Ở cung răng dưới, tăng cường neo chặn bằng cách sử dụng cung lưỡi. Khí cụ này cũng thuận lợi cho việc sửa chữa đường giữa hàm dưới.
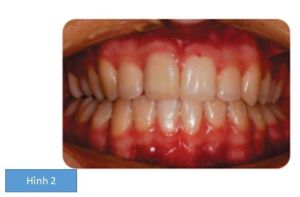
Kết quả thu được tại hình 2.




