NHỔ RĂNG SỐ 8 KHÔNG ĐAU, KHÔNG PHẢI NGHỈ DƯỠNG, VỎN VẸN CHỈ TRONG 30’
NHỔ RĂNG SỐ 8 KHÔNG ĐAU, KHÔNG PHẢI NGHỈ DƯỠNG, VỎN VẸN CHỈ TRONG 30’
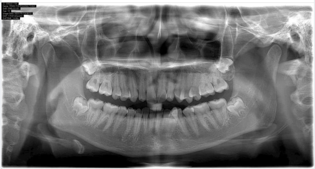
? Răng 8 mọc ngầm, mọc lệch đâm vào răng số 7 gây hỏng răng số 7

? Răng 8 mọc lợi chùm gây viêm đau, há miệng khó cứng hàm
? Răng 8 khiến hàm răng xô lệch, khấp khểnh
?TRUNG TÂM NHA KHOA THÁI TỔ
CS1: 472-474 Lý Thái Tổ P10 Q10
☎️028 62933393
CS2: 64 Lý Chính Thắng P8 Q3
☎️028 22240555
⏰ THỜI GIAN LÀM VIỆC:
- Thứ 2 - 7: từ 8h-20h
- Chủ nhật: từ 8h-16h
Có cần phải đeo hàm duy trì sau niềng răng trong suốt invisalign không?
Có cần phải dùng hàm duy trì khi kết thúc quá trình niềng răng trong suốt invisalign không? Liệu có thể dùng luôn bộ máng chỉnh răng invisalign cuối cùng để giữ các răng cố định thay cho hàm duy trì?
Có cần phải nhổ răng để đeo niềng răng trong suốt không?
Răng của tôi thế này, liệu có phải nhổ không khi muốn niềng invisalign?
Mặt dán sứ Veneer có thể làm răng nhỏ trông to hơn không?
Răng của tôi trông hơi bé, liệu dán sứ veneer có giúp răng to hơn không?
Răng sứ toàn sứ có phải là tự nhiên nhất không?
Bọc răng sử dụng răng giả chất liệu hoàn toàn bằng sứ là tự nhiên nhất?
Bị đau sau khi bọc răng sứ vĩnh viễn trong khi không hề đau khi dùng răng giả tạm thời?
Bác sĩ mới thay thế hai miếng trám ở răng hàm của tôi bằng bọc răng sứ. Tôi hoàn toàn không thấy đau trong thời gian dùng răng giả tạm thời nhưng ngay sau khi bác sĩ lắp mão răng vĩnh viễn thì tôi lại thấy đau buốt, không thể ăn ở vị trí răng đó. Tôi còn cảm thấy đau cả khi không ăn uống. Tôi đã chụp X-quang và bác sĩ nói rằng tủy răng nằm cách xa mão răng nên không cần thiết phải rút tủy. Đến nay đã được 5 tuần và cơn đau ngày càng nặng hơn. Tôi nên làm gì?
Mặc dù một số loại xịt thơm miệng có thể gây hại cho răng trong quá trình đeo niềng nhưng các loại sản phẩm xịt không chứa đường và không chứa cồn có thể sử dụng được với niềng trong suốt Invisalign.
Mặt nạ dưỡng da đang thu hút sự chú ý trên các mạng xã hội, được quảng cáo với những hứa hẹn như trẻ hóa da và mang lại sự tươi sáng cho làn da. Tuy nhiên, hiệu quả thực sự của các loại mặt nạ này không phải ai cũng hiểu rõ.
Phẫu thuật thẩm mỹ cung cấp cho chúng ta nhiều lựa chọn và ít nhất là một mức độ kiểm soát nào đó khi nói đến hình dáng cơ thể. Túi độn nâng ngực đã trở nên phổ biến trong suốt nhiều thập kỷ …với vô số phụ nữ đang tìm cách nâng đôi gò bồng đào của mình lên thông qua phẫu thuật nâng ngực.
Phụ nữ lên kế hoạch nâng ngực thường rất lo ngại về diện mạo khuôn ngực của mình sau khi phẫu thuật – nó sẽ trông hoàn toàn tự nhiên hay giả giả, quá to hay quá bé hoặc chỉ đơn giản là có hợp hay không.
Bạn tự hỏi về kem dưỡng ẩm không gây mụn? "Non comedogenic"- không tạo nhân mụn, không gây mụn là một từ đáng giá mười đô la mà bạn có thể nhìn thấy trên một loạt các sản phẩm chăm sóc da. Cụ thể hơn, nó thường xuất hiện trên nhãn của sản phẩm được thiết để kiểm soát và điều trị mụn trứng cá






