Nếu bạn mang một hàm răng nhiều khuyết điểm thì giờ đây chúng ta không cần lo sợ, thiếu tự tin khi phải sống chung với hàm răng đó cả đời.
Chỉ một thay đổi nhỏ đã tạo nên khác biệt rất lớn.
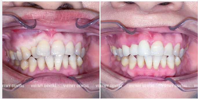
Chị Hà có tình trạng nhóm răng cửa lệch lạc ảnh hưởng đến thẩm mỹ. Chỉ sửa lại 3 chiếc răng hàm trên đã mang lại cho chị một nụ cười hoàn toàn mới.
Không phải tất cả mọi trường hợp đều được giải quyết bằng thẩm mỹ răng sứ nhưng nếu răng bạn đang gặp phải những tình trạng như:
Răng ố vàng, xỉn màu, răng thưa, khấp khểnh, hô, móm nhẹ thì chắc chắn làm răng sứ sẽ giúp mình trở nên tự tin, hàm răng trắng sáng, đều đặn mang lại những may mắn trong cuộc sống ![]()
![]()
Hãy đến với nha khoa quốc tế Việt Mỹ để được các bác sĩ của chúng tôi thăm khám, đánh giá, và đưa ra phương pháp đạt thẩm mỹ tối đa nhất cho bạn. Xem thêm niềng răng
Nha khoa Quốc tế Việt Mỹ - Nụ cười chắp cánh tương lai
Địa chỉ: 61 Trường Chinh - Quận Thanh Xuân - Hà Nội
Sản phẩm che khuyết điểm tóc có thể làm "tắc nang tóc" không và tác dụng phụ của chúng là gì?
Đã có rất nhiều tin đồn là các sợi bên trong các sản phẩm như Caboki sẽ làm "tắc nghẽn" nang tóc, đặc biệt là nếu nang tóc nở ra do nóng hoặc đổ mồ hôi. Tôi tệ nhất là bị hói Norwood độ 3, vì vậy tôi tạm có thể sử dụng sản phẩm che khuyết điểm trong thời gian này, tôi định sẽ cấy ghép tóc khi rụng gần hết tóc ở thái dương. Sản phẩm che khuyết điểm có thể làm tăng tốc độ rụng tóc không? Nhiều người trên internet thề là có; mong các bác sĩ có thể cho tôi biết sự thật.
Tôi có thể dùng gel vuốt tóc hoặc các sản phẩm che khuyết điểm da đầu sau cấy tóc không?
Tôi đã cấy tóc khoảng 5 tuần rưỡi trước. Tôi có thể dùng gel vuốt tóc hoặc các sản phẩm che khuyết điểm tóc lên vùng đã cấy tóc mà không gây ảnh hưởng xấu tới tóc đã cấy hay không?
Bác sỹ cho em hỏi mắt em mở khoé mắt được 16 ngày thì em phát hiện lúc cắt chỉ bị sót ,nên em quay lại nơi cắt khoé lấy chỉ sót thì bạn cắt chỉ nhìn thấy chỉ nhưng do sâu quá bạn đấy làm nó tụt vào và mất dấu,vậy em hỏi nếu không lấy được chỉ thì em
Bác sỹ tư vấn giúp em
So sánh hút mỡ bằng sóng siêu âm VASER với hút mỡ truyền thống – Ưu điểm và nhược điểm là gì?
Tôi sẽ thực hiện phẫu thuật căng da bụng kết hợp hút mỡ ở hai bên hông và đùi, bác sĩ là chuyên gia hút mỡ bằng sóng siêu âm VASER, nhưng trợ lý y tá lại nói rằng tôi được sắp xếp thực hiện hút mỡ truyền thống. Tôi còn một ngày trước phẫu thuật nữa để giải quyết vấn đề này. Tôi nặng 50kg, cao 1,5m, có vòng eo nhỏ. Tôi bị tình trạng tích mỡ đùi, còn eo và bụng bị chảy xệ, chùng nhão do nhiều lần mang thai. Tại sao một bác sĩ phẫu thuật giàu kinh nghiệm lại thích thực hiện quy trình hút mỡ thông thường hơn là VASER?
Ưu điểm và nhược điểm của máng chỉnh răng trong suốt Invisalign
Tôi đang muốn nắn chỉnh lại răng cho thẳng đều bằng niềng răng. Giữa niềng răng kim loại có mắc cài và niềng răng trong suốt invisalign, cái nào tốt hơn? Ưu nhược điểm của máng chỉnh răng invisalign là gì?
Nếu không trị được mụn, bạn có thể chọn cách che đi.
Có hai kiểu người trên thế giới, đó là những người nhận ra rằng những bộ đồ bơi và mùa bãi biển đang đến và sẽ lên kế hoạch chuẩn bị cho nó, và những người chẳng nhớ gì cho đến khi mùa hè đến.
Chứng song thị sau phẫu thuật cắt mí dưới là tình trạng cực kỳ hiếm nhưng vẫn là biến chứng được biết đến.
Da xỉn màu là vấn đề phổ biến khiến làn da trông mệt mỏi và thiếu sức sống. Nguyên nhân chủ yếu bao gồm thiếu nước, thiếu ngủ, stress, và lão hóa da. Tuy nhiên, có những cách khắc phục hiệu quả để đem lại làn da sáng mịn. Khám phá ngay!
Đa số thanh thiếu niên tuổi dậy thì đều gặp vấn đề về mụn trứng cá. Tuy nhiên, chỉ cần không chọn những biện pháp trị mụn sai cách làm mụn nặng thêm thì việc kiểm soát mụn trứng cá ở thanh thiếu niên khá là đơn giản.







