Blog chuyên gia
Các bài viết của bác sĩ và phòng khám thẩm mỹ
Bạn chọn niềng răng trong 9 tháng, hay làm răng sứ trong 3 ngày
Niềng răng sẽ đem lại kết quả bền vững mãi mãi, răng thật bảo tồn tối đa. Làm răng sứ sẽ đem lại kết quả đẹp trong 3 ngày, nhưng chỉ dùng được 5-10 năm vì...
CẰM TRÒN PHÚC HẬU – ĐÓN NGAY TÀI LỘC
Trong tướng số thì vùng cằm được gọi là địa các, nhìn cằm người ta có thể đoán định được số mệnh và vận may mắn của một người. Sở hữu cằm tròn chủ nhân sẽ có số...
Ưu đãi giảm đến 50% cho răng sứ
Để hỗ trợ cho khách hàng của nha khoa Lan Anh trong đợt này, nha khoa sẽ ưu đãi đến 50% cho toàn bộ các hệ thống răng sứ toàn sứ trong bảng giá của nha...
Niềng răng dựa vào sự phát triển xương hàm của trẻ em, giúp trẻ tăng trưởng chiều cao mà kết quả niềng lại tốt nhất
Mời bạn gửi tin nhắn để tư vấn thêm cùng bác sĩXem thêm niềng răng
PHUN MÀY GIÁ RẺ - TIỀN MẤT TẬT MANG
Ham rẻ xuất phát từ tâm lý chung của con người. Tuy nhiên, ham rẻ không phải lúc nào cũng tốt, đặc biệt là trong lĩnh vực làm đẹp đã khiến cho nhiều người phải...
MÀI GỒ XƯƠNG MŨI – NÂNG TẦM NHAN SẮC
Mũi gồ đa phần là do bẩm sinh từ lúc nhỏ, do hình dáng thái xương và sụn tạo thành gồ ghề, cong lượn. Mũi gồ là mũi không được thẳng do sóng mũi bị gồ xương lên...
Khi nào thì răng sứ đẹp
Răng sứ chỉ đẹp khi kết hợp nhiều yếu tố: mỏng, trong, tự nhiên và phù hợp với khuôn mặt, nụ cười của từng người riêng biệt Đôi khi, bạn cần phải có sự kết...
SKIN KET TRỊ MỤN – DA MƯỚT MỊN SÁNG HỒNG
Chỉ 3 triệu cho 1 liệu trình Đẹp ngay sau khi làm Đánh bay các loại mụn khó nhất như mụn ẩn, mụn viêm, mụn trứng cá,… Se khít lỗ chân lông, hạn chế dầu...
Niềng răng như thế nào để đẹp và bền vững
Để kết quả niềng răng đẹp, bạn cần gặp bác sĩ giỏi. Vật liệu tốt là không bao giờ đủ để đạt được kết quả điều trị tốt. Nó chỉ đem lại kết quả tốt khi bác sĩ...
Kết quả niềng răng Invisalign được quyết định bởi yếu tố nào
Khi bắt đầu điều trị niềng răng Invisalign từ 10 năm trước, tôi cũng từng nghĩ là Invisalign sẽ “làm giùm” phần nhiều công việc của bác sĩ, hay ít nhất cũng...
Tẩy trắng răng tại nhà hay tại nha khoa thì hiệu quả hơn
Điều quan trọng nhất để tẩy trắng răng hiệu quả là cần phải làm sạch bề mặt răng tối đa trước khi tẩy trắng răng, để quá trình tẩy trắng đạt được kết quả tối...
Nhiều trường hợp bác sĩ niềng răng sẽ đề nghị bạn nhổ răng nếu điều trị bằng mắc cài.
May mắn là ngày nay có công nghệ niềng Invisalsign, có thể đạt kết quả tốt ở những trường hợp lệch lạc vừa phải mà không cần phải nhổ răng, chỉ cần bạn kiên...
MŨI ĐẸP BẤT CHẤP CÙNG NANOFORM 3D
Làm đẹp an toàn – Hiệu quả tuyệt đối Chỉ có tại Dr.Park Trợ giá khủng đến 30% Voucher giá trị Cùng ngàn quà tặng Hỗ trợ trả góp 0% Nâng mũi...
MÒN CỔ RĂNG LÀ GÌ? CÓ NGUY HIỂM KHÔNG?
Mòn cổ răng là sự mất cấu trúc răng, gây ra do sự tấn công của axit tới men răng. Tùy vào nguyên nhân và mức độ mà mòn răng có các biểu hiện khác nhau. Dấu...
1001 SẮC THÁI NỤ CƯỜI CỦA "THẦN BÀI DUBAI" LÊ TRUNG HOÀNG
Là một Tiktoker hơn 3.4 triệu follow, Hoàng hiểu rằng nụ cười, sự tự tin và hình ảnh cực kỳ quan trọng.Xem thêm bọc răng sứ Được biết tới Nha khoa Ngân...
THỜI ĐIỂM VÀNG ĐỂ TRỒNG RĂNG IMPLANT TRÁNH CÁC BIẾN CHỨNG
Nỗi khổ mất răng người ngoài cuộc chẳng thể nào thấu được. Biết bao nguy cơ và bất tiện lớn nhỏ: ăn nhai khó khăn, tiêu xương hàm, dễ bị viêm lợi, sâu...
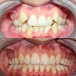
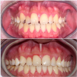
Năm 2019 khi lần đầu bạn Hoài đến với Nha khoa vẫn còn ngượng ngùng với hàm trên bị hô, hàm dưới khấp khểnh. Sau 10 tháng kiên trì và cố gắng, cùng chúc mừng cho sự thay đổi tích cực của bạn ấy nhé.
CÓ KIÊN TRÌ ẮT CÓ THÀNH CÔNG Răng được sắp đều, xương hàm gọn hơn, tình trạng hô giảm đáng kể và đặc biệt nụ cười bạn đã tự tin và tươi tắn hơn nhiều so với...
RĂNG KHÔN DỊ DẠNG DỄ GÌ GIẤU DIẾM
Tên là khôn mà không phải lúc nào cũng khôn. Những trường hợp răng mọc ngầm, ngang ngược khiến ai gặp phải cũng cực kỳ đau đầu bởi những hệ luỹ và sự bất tiện...
SỨC HÚT TỪ NGHỆ THUẬT CHẾ TÁC RĂNG SỨ CÔNG NGHỆ CAO
Chế tác răng sứ chính xác giúp ăn nhai thoải mái, khớp cắn chuẩn như răng thật Tính thẩm mỹ vượt trội, hài hoà với khuôn mặt Cam kết về màu sắc và phom...
TỔNG HỢP 4 LOẠI TRỤ IMPLANT HÀNG ĐẦU THẾ GIỚI
Nhấn vào từng ảnh để xem chi tiết hoặc nhắn tin để được tư vấn miễn phí: m.me/nhakhoanganphuong Được biết đến lần đầu vào năm 1965, trồng răng implant là...





