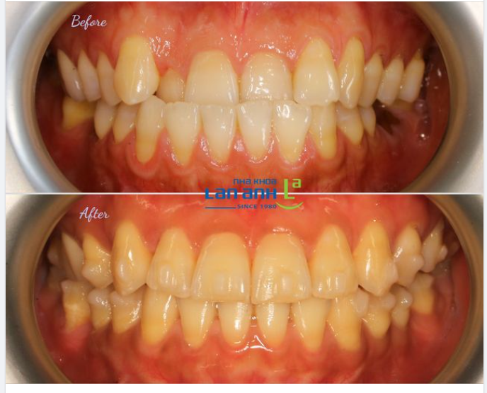
Bạn chọn niềng răng trong 9 tháng, hay làm răng sứ trong 3 ngày
Niềng răng sẽ đem lại kết quả bền vững mãi mãi, răng thật bảo tồn tối đa.
Làm răng sứ sẽ đem lại kết quả đẹp trong 3 ngày, nhưng chỉ dùng được 5-10 năm vì răng sứ khác trục với chân răng.
Nếu muốn kết quả hoàn hảo, ít nhất bạn cũng nên niềng răng trước rồi mới dán Veneer sứ!
Mời bạn gửi tin nhắn cùng bác sĩ, để hiểu rõ về tình trạng răng của bạn và làm gì để có kết quả tốt nhất nha!
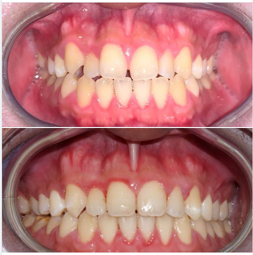
P/s: Một ca niềng răng Invisalign trong đợt khuyến mãi 50% của năm vừa rồi. Khuyến mãi không có nghĩa là kết quả không tốt nha!
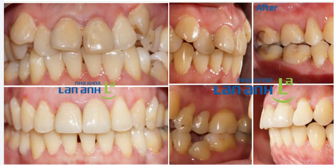
Lựa chọn niềng răng truyền thống hay niềng Invisalign đối với răng khấp khểnh, thưa và khớp cắn sâu?
Răng của tôi bị khấp khểnh ở hàm dưới, thưa và chìa ra ở hàm trên, đồng thời, hàm trên nhô ra ngoài so với hàm dưới. Tôi nên chọn phương pháp niềng răng truyền thống có mắc cài hay niềng răng trong suốt Invisalign? Quá trình điều trị sẽ kéo dài bao lâu?
Răng khấp khểnh thì nên chọn niềng kim loại hay niềng trong suốt Invisalign?
Cả hàm trên và hàm dưới của tôi đều bị khấp khểnh. Các răng cửa hàm trên còn nhô về phía trước so với hàm dưới (hình như là bị vẩu). Răng cửa giữa hàm dưới mọc hơi dài quá nên lúc cắn, hai răng này đâm vào phía sau răng cửa ở hàm trên. Ngoài ra, đường midline ở hai hàm cũng không thẳng nhau. Tôi không muốn phải đeo niềng kim loại nhưng giá niềng Invisalign lại đắt quá. Vậy tôi nên chọn loại niềng nào là tốt nhất?
Răng nanh xoay thì nên chọn niềng thường hay niềng trong suốt?
Tôi 31 tuổi và có một chiếc răng nanh bị mọc lệch lên trên và bị xoay. Tôi đã đi gặp bác sĩ và được khuyên là nhổ một chiếc răng tiền hàm ở hàm trên bên trái, sau đấy thì niềng răng nhưng tôi không muốn phải đeo niềng kim loại thì liệu có thể chọn niềng trong suốt Invisalign không?
Chắc chắn nhiều người sẽ cảm thấy đắn đo khi phải lựa chọn giữa niềng kim loại truyền thống và niềng không mắc cài Invisalign vì cả đều cho ra kết quả cuối cùng tương đương nhau.
Vì một vài lý do như bất tiện hoặc không muốn người khác biết mình đang niềng răng mà nhiều người không muốn phải đeo niềng kim loại thông thường và có nhu cầu tìm đến các lựa chọn thay thế.
Kem dưỡng ẩm ban đêm hoặc ban ngày đều có chung chức năng là dưỡng ẩm cho da. Tuy nhiên hai loại này có một số điểm khác biệt. Vậy cái nào quan trọng hơn?
Không phải tháo niềng răng là răng bạn sẽ thẳng đều mãi như thế về sau.
Suckhoe123 cung cấp mã trợ giá niềng răng chỉ còn 16.5 tr tổng chi phí, trả góp 1 triệu/tháng tại các phòng khám nha khoa tín


















Test051 12:57 0
Test051 test comment 0
Test051 anh 0
Test051 test tiep 0
Test051 tesst tiep 0