Xét nghiệm đờm AFB có ý nghĩa gì?
1. Xét nghiệm đờm AFB là xét nghiệm gì?
Xét nghiệm đờm AFB hay còn gọi là xét nghiệm tìm BK - vi khuẩn gây bệnh lao, được dùng trong chẩn đoán lao phổi. Xét nghiệm này có tên tiếng Anh là Acid Fast Bacillus, viết tắt là AFB) trong đờm của người bệnh bằng kính hiển vi.
Bệnh lao phổi là một bệnh truyền nhiễm thường gặp do vi khuẩn lao Mycobacterium tuberculosis gây ra. Có 2 loại lao phổi được xác định khi xét nghiệm đờm AFB là dương tính và âm tính. Mặc dù vậy, lao phổi AFB dương tính và âm tính có triệu chứng và phương pháp điều trị gần như nhau.
- Lao phổi AFB dương tính: Xét nghiệm đờm AFB dương tính. Vi khuẩn lao gây nhiễm trùng phế quản và làm tổn thương ở hang phổi, thường được tìm thấy trong đờm. Triệu chứng điển hình là ho kéo dài, ho liên tục và ho ra máu.
- Lao phổi AFB âm tính: Xét nghiệm đờm AFB âm tính.
2. Xét nghiệm đờm AFB được thực hiện như thế nào?
Xét nghiệm đờm AFB được thực hiện sau:
Lấy mẫu bệnh phẩm vào 3 thời điểm khác nhau (mẫu 1 khi khám bệnh, mẫu 2 khi ngủ dậy vào sáng sớm, mẫu 3 được lấy khi khám mẫu 2). Đối với trẻ nhỏ chưa khạc đờm được, có thể lấy dịch đờm hoặc chất hút từ dạ dày của trẻ.
Soi đờm với các phương pháp:
- Ziehl-Neelsen - Nhuộm soi trên kính hiển vi quang cho thấy trực khuẩn lao bắt màu đỏ;
- Phương pháp sinh học phân tử được thực hiện khi số lượng trực khuẩn lao rất ít
- Phương pháp miễn dịch, được thực hiện để hỗ trợ bổ sung chẩn đoán.
3. Chẩn đoán lao phổi với xét nghiệm đờm AFB
Để chẩn đoán lao phổi, các bác sĩ dựa vào các yếu tố sau:
- Nguồn lây nhiễm: Xác định nguồn lây nhiễm đặc biệt quan trọng đối với chẩn đoán và điều trị bệnh lao phổi ở trẻ em.
- Triệu chứng lâm sàng: Bệnh nhân lao phổi thường có các triệu chứng lâm sàng kéo dài do vi khuẩn lao mãn tính.
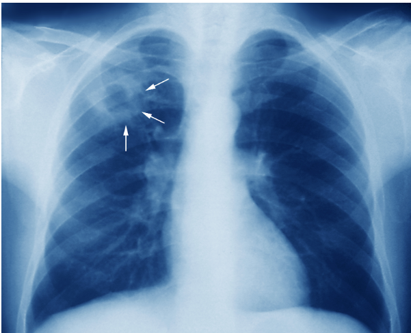
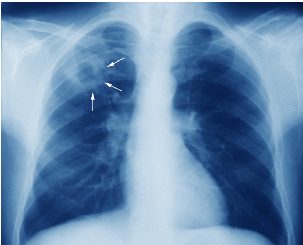
- Phương pháp cận lâm sàng: Phương pháp xác định ban đầu là xét nghiệm đờm AFB. Tuy nhiên tùy vào giai đoạn tiến triển bệnh mà kết quả sẽ khác nhau hoặc bệnh nhân (HIV) đã từng điều trị bằng các thuốc ảnh hưởng đến vi khuẩn lao. Nuôi cấy vi khuẩn lao cũng gặp nhiều khó khăn và mất nhiều thời gian (4 - 12 tuần), do đó, chụp X-quang phổi được đề xuất thêm hoặc thử phản ứng với lao tố trên da. Trường hợp xét nghiệm tìm BK không cho kết quả, phản ứng khuếch đại gen được thay thế bởi độ nhạy và đặc hiệu, cho kết quả nhanh.
3.1 Chẩn đoán lao phổi AFB dương tính
Chẩn đoán lao phổi AFB dương tính được xác định khi người bệnh có 1 trong 2 tiêu chuẩn sau:
- 1 mẫu tiêu bản AFB (+) và cấy trực khuẩn lao (+).
- 1 mẫu tiêu bản AFB (+) và trên X-quang cho thấy hình ảnh lao tiến triển.
- Nhiều hơn 2 mẫu tiêu bản AFB (+) được lấy từ 2 mẫu đờm khác nhau.
Trên bệnh nhân nhiễm HIV, lao phổi AFB dương tính khi có 1 mẫu tiêu bản xét nghiệm đờm AFB (+). Chẩn đoán lao phổi AFB dương tính khác khi bệnh nhân trước đây từng điều trị lao nhưng không có kết quả và phác đồ điều trị không xác định.
Chẩn đoán lao phổi AFB dương tính giúp phân chia mức độ lao phổi:
- AFB 1+: Xét nghiệm đờm AFB có kết quả từ 10 - 99 AFB/100 vi trường, tương ứng với kích thước cục sần từ 10 - 14mm.
- AFB 2+: Xét nghiệm đờm AFB có kết quả từ 1 - 10 AFB/vi trường và tiến hành soi >= 50 vi trường.
- AFB 3+: Xét nghiệm đờm AFB có kết quả từ 10 AFB/vi trường trở lên
3.2 Chẩn đoán lao phổi AFB âm tính
Chẩn đoán lao phổi AFB âm tính được được xác định khi người bệnh có 1 trong 2 tiêu chuẩn sau:
- 2 lần xét nghiệm đờm AFB (-) và trên X-quang cho thấy hình ảnh lao tiến triển. Xét nghiệm được thực hiện cách nhau 3 tuần, mỗi lần lấy 3 mẫu đờm.
- Xét nghiệm tìm BK (+) hoặc Xpert MTB/Rif (+) hoặc Haintest (+).
Trên bệnh nhân nhiễm HIV, lao phổi AFB âm tính là có 2 lần xét nghiệm đờm AFB (-), X-quang có hình ảnh lao và điều trị không đáp ứng với kháng sinh phổ rộng. Chẩn đoán lao phổi AFB âm tính khác khi bệnh nhân từng điều trị lao.
Lao phổi là bệnh truyền nhiễm. Xét nghiệm đờm AFB được xem là tiêu chuẩn hàng đầu để chẩn đoán bệnh lao phổi.
Ho rát họng có đờm là một vấn đề phổ biến có thể gặp ở bất kỳ ai. Nguyên nhân của tình trạng này có thể là viêm amidan, cảm cúm, viêm họng, thậm chí là ung thư vòm họng.
Viêm phế quản là một bệnh lý phổ biến trong xã hội ngày nay mà nhiều người có thể mắc phải. Tuy viêm phế quản không gây nguy hiểm đến tính mạng nhưng có thể ảnh hưởng đáng kể đến sức khỏe của người bệnh.
Ho, sốt đau họng là những triệu chứng thường gặp cùng lúc và có thể ảnh hưởng đến cuộc sống hàng ngày. Bài viết dưới đây sẽ làm rõ nguyên nhân, cách nhận biết và những phương pháp hiệu quả để giảm nhẹ và xua tan những triệu chứng này.
Là một phần quan trọng của hệ hô hấp, họng thường mắc phải nhiều bệnh lý khác nhau. Các bệnh về họng có thể đơn giản chỉ là viêm họng hoặc có thể nghiêm trọng hơn như viêm amidan, viêm thanh quản và thậm chí ung thư họng.
Thời điểm giao mùa, các trung tâm Y tế đang ghi nhận nhiều trường hợp bệnh nhi mắc viêm phổi do vi khuẩn Mycoplasma. Đây là một bệnh thường xuất hiện trong mùa giao mùa, đặc biệt làm lây lan nhanh chóng.
Ferritin là một loại protein dự trữ sắt và giải phóng sắt khi cơ thể cần. Ferritin tập trung chủ yếu trong các tế bào và chỉ có một lượng rất nhỏ lưu thông trong máu.
Xét nghiệm sắt huyết thanh giúp phát hiện nồng độ sắt trong máu thấp hoặc cao hơn bình thường.





