Viêm âm đạo do Trichomoniasis
1. Trichomoniasis là gì?
Trichomoniasis là bệnh lây qua đường tình dục (STD) rất phổ biến do bị nhiễm trùng roi Trichomonas vaginalis. Trùng roi Trichomonas vaginalis có kích thước từ 10-20 mm, rộng 7mm với 5 đôi roi, di động, dễ bị diệt bởi nhiệt độ, môi trường khô và chỉ sống được trong cơ thể người.
2. Triệu chứng viêm âm đạo do Trichomoniasis
Ước tính có đến 70% người bị nhiễm trùng roi Trichomonas đều không có dấu hiệu hay triệu chứng nào cụ thể. Các triệu chứng của Trichomonas có thể từ kích ứng âm đạo nhẹ đến viêm nặng và thường xuất hiện từ 5 đến 28 ngày kể từ ngày bị nhiễm. Còn nếu không có triệu chứng cụ thể, sẽ rất lâu sau mới có thể có.
Ở nam giới, bệnh trùng roi đường sinh dục đại đa số không có triệu chứng, tuy nhiên một số người có thể bị ngứa hoặc kích ứng dương vật, đi tiểu khó và đi tiểu nhiều lần, ngứa rát khi tiểu tiện hoặc xuất tinh. Dương vật có thể tiết dịch niệu đạo và thường khó phân biệt với viêm niệu đạo cũng khá phổ biến.
Nữ giới nếu nhiễm trùng roi Trichomonas có thể nhận thấy các biểu hiện:
- Ngứa, rát, tấy đỏ hoặc đau nhức ở khu vực sinh dục
- Cảm giác khó chịu khi tiểu tiện; đi tiểu nhiều lần hoặc đau khi quan hệ.
- Thay đổi dịch âm đạo, tiết dịch (khí hư) nhiều, màu trong, trắng, ngả vàng hoặc ngả xanh, kèm theo là mùi tanh bất thường.
Nhiễm trùng roi Trichomonas có thể khiến cho việc quan hệ tình dục trở nên không thoải mái đối với cả nam lẫn nữ. Nếu không được chữa trị kịp thời, tình trạng nhiễm trùng có thể kéo dài vài tháng hoặc thậm chí vài năm.
Thường phụ nữ mang thai bị nhiễm trùng roi Trichomonas có nguy cơ cao sẽ sinh non và trẻ sinh ra có nguy cơ cao bị nhẹ cân.
3. Đường lan truyền, lây nhiễm
3.1 Nguồn truyền nhiễm
Trichomonas có ổ chứa duy nhất là trong cơ thể người và lây truyền chủ yếu qua quan hệ tình dục không an toàn. Ở nữ giới, bộ phận trên cơ thể bị nhiễm trùng roi Trichomonas nhiều nhất chính là vùng sinh dục dưới (âm hộ, âm đạo, cổ tử cung, hoặc niệu đạo). Đối với nam giới, trùng roi cư trú ở bên trong dương vậy, nơi lỗ niệu đạo.
Bệnh trùng roi Trichomonas có thời gian ủ bệnh từ 1-4 tuần và nhiều trường hợp không biểu lộ triệu chứng cụ thể, gây ảnh hưởng tới sức khỏe cộng đồng.
3.2 Phương thức lây truyền
Khi quan hệ tình dục, trùng roi Trichomonas thường lây lan từ dương vật sang âm đạo hoặc ngược lại. Hoặc cũng có thể lây lan từ âm đạo người này sang âm đạo người khác. Hiếm khi trùng roi Trichomonas bị nhiễm ở bộ phận khác của cơ thể như tay, miệng hay hậu môn. Ngoài ra, bệnh cũng có thể lây truyền không qua đường tình dục như qua đồ dùng, quần áo, khăn tắm ẩm ướt, bồn tắm hoặc trong môi trường nước nhiễm trùng roi Trichomonas.
4. Các biện pháp chẩn đoán
Nếu chỉ dựa vào triệu chứng thông thường thì không thể chẩn đoán được Trichomoniasis. Ở cả nam giới và nữ giới, cách tốt nhất để xác định có nhiễm bệnh hay không là đi khám và làm xét nghiệm để chẩn đoán trichomoniasis.
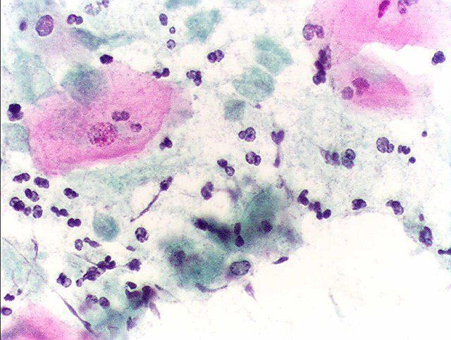
Viêm âm đạo do trùng roi được xác định khi lấy mẫu bệnh phẩm (khí hư ở nữ giới, dịch niệu đạo ở nam giới) đem soi tươi dưới kính hiển vi hoặc nhuộm Gram để tìm thể hoạt động của trùng roi Trichomonas vaginalis. Hiện nay, với sự phát triển của công nghệ hiện đại, ta cũng có thể phát hiện trùng roi trichomoniasis bằng kỹ thuật nuôi cấy và PCR với độ nhạy và đặc hiệu cao.
5. Phòng ngừa viêm âm đạo do nhiễm trùng roi Trichomonas
Để phòng bệnh viêm âm đạo do nhiễm trùng roi Trichomonas, mọi người cần ý thức thực hiện hành vi tình dục an toàn:
- Không quan hệ tình dục với nhiều người
- Sử dụng bao cao su khi sinh hoạt tình dục
- Đi khám phụ khoa định kỳ đều đặn 2 lần/năm.
Cách tốt nhất để tránh các bệnh lây qua đường tình dục là không quan hệ tình dục qua đường âm đạo, hậu môn hoặc miệng. Nếu có quan hệ tình dục, bạn vẫn có thể làm theo các hướng dẫn sau đây để giảm nguy cơ nhiễm trùng roi Trichomonas:
- Duy trì mối quan hệ một vợ một chồng chung thủy từ cả hai phía với người bạn tình đã được xét nghiệm và có kết quả kiểm tra âm tính với STD
- Dùng bao cao su đúng cách mỗi khi quan hệ tình dục để giảm nguy cơ bị trichomoniasis.
- Trao đổi thẳng thắn về nguy cơ tiềm tàng của các bệnh lây qua đường tình dục trước khi quan hệ tình dục với đối tác quan hệ. Bằng cách đó bạn có thể đánh giá đúng đắn được mức nguy cơ khi quan hệ tình dục.
Nếu bạn hoặc người quen của bạn có thắc mắc về Trichomonas hoặc các bệnh lây qua đường tình dục khác, hãy trao đổi với các bác sĩ chuyên khoa để được tư vấn và hỗ trợ tốt nhất.
Bà bầu tuần thứ 19 sẽ nhận thấy những thay đổi rõ rệt của cơ thể với các triệu chứng như đau lưng, chuột rút, chóng mặt, táo bón... Chúng có thể gây cho mẹ bầu cảm giác khó chịu và ảnh hưởng nhất định đến sinh hoạt hàng ngày. Cùng tìm hiểu những thay đổi của cơ thể khi mang thai tuần 19 và những việc mẹ bầu cần làm trong thời gian này.
Tắc ống dẫn trứng là một trong những nguyên nhân gây vô sinh nữ khá thường gặp. Tình trạng này khiến cho trứng và tinh trùng không gặp được nhau, chiếm khoảng 25-30% trong tất cả các trường hợp vô sinh. Bản chất của tình trạng tắc ống dẫn trứng là bị tắc hoàn toàn hoặc có khi chỉ có một ống bị ngăn chặn hoặc có sẹo làm hẹp lòng ống.
Tiêm trưởng thành phổi được thực hiện lần đầu tiên trên thế giới năm 1972. Từ đó đến nay, phương pháp tiêm trưởng thành phổi đã trở nên phổ biến, góp phần quan trọng làm giảm nguy cơ suy hô hấp cấp, tử vong và các bệnh tật khác ở trẻ sinh non.
Hình thái tinh trùng hay kích thước cũng như hình dạng của tinh trùng là yếu tố quan trọng quyết định chất lượng sức khỏe sinh sản ở nam giới. Hình thái tinh trùng sẽ được quan sát dưới sự phóng đại của kính hiển vi, đồng thời trong quá trình quan sát có thể phát hiện tinh trùng bất thường một cách rõ ràng.
Thụ tinh ống nghiệm (IVF) là quá trình trong đó một trứng được thụ tinh với một tinh trùng ở bên ngoài cơ thể. Trứng đã thụ tinh (hợp tử) được nuôi từ 2–6 ngày trong môi trường sinh trưởng và sau đó được chuyển vào tử cung của chính người phụ nữ đó, hoặc một người khác với mong muốn giúp người phụ nữ có thai.
Chăm sóc vùng kín là điều vô cùng quan trọng đối với phụ nữ. Các vấn đề xảy ra với âm đạo có thể ảnh hưởng đến sức khỏe tổng thể và độ pH âm đạo là yếu tố rất quan trọng. Đo độ pH có thể giúp chẩn đoán, theo dõi và điều trị viêm âm đạo





