Những tổn thương cơ bản ở bệnh phổi phát hiện trên X quang
1. Những tổn thương cơ bản ở bệnh phổi phát hiện trên X quang
Chụp X quang là kỹ thuật chụp được sử dụng nhiều nhất trong y khoa, giúp bác sỹ có thể đánh giá, phát hiện những triệu chứng bất thường của phim chụp X quang phổi, từ đó có thể giúp các bác sỹ lâm sàng đưa ra chẩn đoán sơ bộ. Bài viết sẽ cung cấp thông tin về những tổn thương cơ bản của phổi phát hiện trên X quang.
Căn cứ vào mức độ cản tia X của tổn thương, các tổn thương ở phổi được chia làm ba dạng là hình mờ, hình sáng và hình mờ - sáng kết hợp.
2. Tổn thương ở phổi dạng hình mờ
Tuỳ theo kích thước, tổn thương hình mờ được chia thành 3 loại: Mờ toàn bộ một phế trường, đám mờ, đốm mờ, nốt mờ.
2.1 Mờ toàn bộ một phế trường:
Thường gặp ở các bệnh sau:
Tràn dịch toàn bộ một bên khoang màng phổi.
Nguyên nhân có thể là do lao, do ung thư phổi hoặc do chấn thương...
Hình mờ thuần nhất toàn bộ một bên phổi gây đẩy các cơ quan xung quanh. Khe gian sườn bên tổn thương giãn rộng, trung thất bị đẩy về phía phổi lành,...
Dày dính toàn bộ một bên khoang màng phổi.
Thường do di chứng của tràn dịch màng phổi điều trị không tốt, tràn máu màng phổi do chấn thương,..
Hình mờ thuần nhất toàn bộ một bên phổi gây hiệu ứng co kéo rất mạnh. Kéo trung thất về phía bị tổn thương, khiến khoang gian sườn bên tổn thương bị co hẹp lại. Có thể thấy vôi hóa màng phổi trên phim.
Xẹp toàn bộ một bên phổi.
Do bị chèn tắc phế quản gốc. Nguyên nhân thường gặp là do bệnh nhân bị ung thư phế quản thể trung tâm hoặc dị vật phế quản gốc.
Hình mờ xuất hiện ở toàn bộ một bên phổi gây hiệu ứng co kéo. Tuy nhiên mức độ co kéo thường nhẹ hơn nhiều so với dày dính.
2.2 Đám mờ:
Dùng để chỉ những hình mờ có kích thước khoảng từ 3- 10cm. Có thể chiếm một phân thuỳ hoặc một thuỳ phổi. Các tổn thương dạng đám mờ thường gặp trong các bệnh sau:
- Tràn dịch màng phổi: Đám mờ thuần nhất ở nền phổi và góc sườn hoành, ranh giới phía trên không rõ, tạo thành đường cong Damoiseau. Tràn dịch màng phổi gây hiệu ứng chèn đẩy tùy mức độ: đẩy trung thất sang phía đối diện, giãn khoang gian sườn,...
- Viêm phổi thuỳ (hay gặp viêm phổi do phế cầu khuẩn): Hay gặp nhất là ở thuỳ giữa phổi phải. Ở giai đoạn điển hình tổn thương là đám mờ thuần nhất ở nửa dưới phổi phải, góc sườn hoành phải sáng, ranh giới bờ trên rõ, là rãnh liên thuỳ bé. Trên phim nghiêng đám mờ có hình tam giác chiếm toàn bộ thùy giữa phổi phải, cạnh thẳng hoặc lồi, đỉnh quay vào rốn phổi. Hai cạnh là hai rãnh liên thùy.
- Xẹp phổi: Đám mờ tương đối thuần nhất dạng tam giác cạnh lõm. Nếu xẹp một thuỳ hoặc phân thuỳ cạnh của đám mờ là rãnh liên thuỳ. Thường gặp trong K phế quản
- Dày dính màng phổi: Là hậu quả sau tràn dịch màng phổi. Đám mờ thuần nhất hoặc tương đối thuần nhất, ranh giới thường rõ. Gây co kéo các cơ quan liên quan (vòm hoành, trung thất, khoang gian sườn,..).
- U phổi: Thường là các khối mờ tròn, ranh giới có thể rõ hoặc không rõ, cản quang thuần nhất và nằm ở bất kỳ vị trí nào của phổi. Các u lành ở phổi hiếm gặp. Khoảng 98% u phổi là u phế quản, vì vậy đa số u phổi là u ác tính. Căn cứ vào vị trí của u, u phổi được chia làm hai loại u phổi trung tâm và u phổi ngoại vi. U phổi trung tâm là u các phế quản lớn vùng rốn phổi. U phổi ngoại vi là u các phế quản nhỏ không phải rốn phổi.
+ U phổi trung tâm còn được gọi là ung thư phế quản trung tâm. Kết quả chụp phim X quang là hình mờ vùng rốn phổi, chồng hình lên bờ trung thất, bờ nham nhở nhiều tua gai dạng tia nắng mặt trời, ranh giới không rõ. Vì u xuất phát từ các phế quản gốc nên có thể gây xẹp phổi ở thuỳ hoặc phân thuỳ tương ứng (xẹp phổi chủ động). Cần chẩn đoán phân biệt với các khối u trung thất.
+ Ung thư phế quản ngoại vi nằm ở ngoại vi phổi. Do độ ác tính của u phổi ngoại vi thường thấp nên u có vẻ giống như khối lành tính. Hình tròn hoặc bầu dục, bờ nhẵn, ranh giới thường rõ.
- Lao phổi: Đám mờ không thuần nhất, ranh giới không rõ. Tổn thương ở nhiều giai đoạn phát triển khác nhau: thâm nhiễm, xơ, vôi hóa,..
2.3 Nốt mờ:
Là những hình mờ có kích thước từ 1- 3cm. Tổn thương dạng đốm mờ hay gặp trong các bệnh sau:
Di căn ung thư vào phổi: Các nốt mờ tròn, hoặc bầu dục, to nhỏ không đều nhau, có dạng thả bóng bay rải rác khắp hai trường phổi.
Các tổn thương lao:
- Nốt thâm nhiễm lao: Đốm mờ không thuần nhất thường ở vùng đỉnh, dưới đòn, ranh giới không rõ, ở nhiều giai đoạn khác nhau.
- U lao: Đốm mờ đơn độc ở ngoại vi phổi, thường tròn, bờ nhẵn, ranh giới rõ, có thể có vôi hoá.
2.4 Nốt mờ nhỏ dạng kê:
Là những hình mờ có kích thước từ 1 đến 10mm, thường gặp trong các bệnh sau:
- Lao kê: Các nốt mờ nhỏ li ti, có kích thước bằng nhau khoảng 1mm, rải đều khắp hai trường phổi.
- Di căn ung thư thể kê: Các nốt mờ to nhỏ không đều như trong lao kê, tập trung chủ yếu ở vùng rốn và nền phổi.
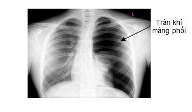
3. Hình sáng
Hình tràn khí màng phổi:
Hình sáng thường ở ngoại vi và trên cao của phế trường, không thấy vân phổi, có giới hạn với nhu mô phổi là đường bờ của phế mạc tạng. Nhu mô phổi bị đẩy về phía rốn phổi (xẹp phổi bị động). Gây hiệu ứng đẩy tùy mức độ (đẩy trung thất sang bên phổi lành, giãn khoang gian sườn,...).
Kén khí:
Hình sáng thường tròn hoặc bầu dục, thành mỏng, bờ nhẵn, ranh giới rõ. Kén khí thường đơn độc ở một bên phổi, kích thước to nhỏ khác nhau. Bản chất của kén khí là mất vân phổi. Tuy nhiên do phim X quang là kết quả của hiện tượng chồng hình theo chiều sau trước nên chỉ những kén khí to, chiếm toàn bộ chiều dày trước sau của thành ngực bị mất vân phổi. Những kén khí nhỏ hơn bị nhu mô phổi lành trước và sau nó chồng lên nên vẫn thấy vân phổi.
Hang lao:
Là hình sáng nằm trên một vùng phổi có các tổn thương lao xung quanh. Thành hang thường dày, bờ không rõ, có nhiều tổn thương thâm nhiễm ở xung quanh. Hang lao cũ thường thành mỏng, bờ nhẵn, ranh giới rõ. Xung quanh có nhiều dải xơ, nốt vôi hóa. Do tổn thương lao cũ nên thường có hiệu ứng co kéo do dày dính màng phổi.
4. Hình mờ - sáng kết hợp
Áp xe phổi:
Chụp X quang phổi thấy xuất hiện hình tròn hoặc bầu dục, ranh giới rõ, thường đơn độc trong áp xe phổi lan truyền theo đường trực tiếp hoặc nhiều ổ nhỏ trong trường hợp áp xe phổi gây nên do tụ cầu khuẩn. Ở giai đoạn khái mủ tạo thành hình hang có mức khí, mức dịch. Đó là những khối nằm ở nhu mô phổi, có vỏ dày và có ranh giới rõ với tổ chức phổi lành. Hình sáng nằm trên, mất vân phổi. Hình mờ thuần nhất ở phía dưới. Ranh giới hình sáng, mờ là mức ngang. Cần phân biệt hình này với kén khí nhiễm khuẩn. Thành kén khí thường mỏng, mức dịch ít. Thành ổ áp xe dày, mức dịch nhiều.
Tràn khí, tràn dịch khoang màng phổi:
Tổn thương nằm ở ngoại vi phổi, vị trí khoang màng phổi. Hình sáng mất vân phổi ở trên, đẩy nhu mô vào vùng rốn phổi. Hình mờ thuần nhất ở dưới tạo mức ngang.
Có thể thấy, với những bất thường xuất hiện khi chụp X quang phổi, bác sỹ có thể phát hiện, chẩn đoán được tổn thương cơ bản ở bệnh phổi dựa trên những dấu hiệu cũng như kinh nghiệm của mình.
Ho rát họng có đờm là một vấn đề phổ biến có thể gặp ở bất kỳ ai. Nguyên nhân của tình trạng này có thể là viêm amidan, cảm cúm, viêm họng, thậm chí là ung thư vòm họng.
Viêm phế quản là một bệnh lý phổ biến trong xã hội ngày nay mà nhiều người có thể mắc phải. Tuy viêm phế quản không gây nguy hiểm đến tính mạng nhưng có thể ảnh hưởng đáng kể đến sức khỏe của người bệnh.
Ho, sốt đau họng là những triệu chứng thường gặp cùng lúc và có thể ảnh hưởng đến cuộc sống hàng ngày. Bài viết dưới đây sẽ làm rõ nguyên nhân, cách nhận biết và những phương pháp hiệu quả để giảm nhẹ và xua tan những triệu chứng này.
Là một phần quan trọng của hệ hô hấp, họng thường mắc phải nhiều bệnh lý khác nhau. Các bệnh về họng có thể đơn giản chỉ là viêm họng hoặc có thể nghiêm trọng hơn như viêm amidan, viêm thanh quản và thậm chí ung thư họng.
Thời điểm giao mùa, các trung tâm Y tế đang ghi nhận nhiều trường hợp bệnh nhi mắc viêm phổi do vi khuẩn Mycoplasma. Đây là một bệnh thường xuất hiện trong mùa giao mùa, đặc biệt làm lây lan nhanh chóng.
Nếp gấp màu trắng trên mí mắt sau 6 tháng cắt mí
Dạ em có cắt mí được 6 tháng rồi ạ. Thì sau khi cắt mí 6 tháng, ở mắt phải (mắt khoanh tròn) em thấy có nếp gấp màu trắng ở đó còn mắt trái không có. Em không biết sau này có hết không ạ? Ảnh em nhắm mắt là sau 4 tháng thì cả hai mắt có đường màu trắng nhưng sau thì mắt trái hết rồi ạ. Và có một thắc mắc khác là lúc em cắt chỉ sau 7 ngày thì thấy mắt phải (mắt khoanh tròn), đường mí không vào đầu mắt ạ, còn mắt trái thì vào đầu mắt nên tự nhiên hơn, em không biết sau này nếu sửa lại thì có sửa cho mí mắt phải vào đầu mắt được không ạ?
- 0 trả lời
- 886 lượt xem
Ferritin là một loại protein dự trữ sắt và giải phóng sắt khi cơ thể cần. Ferritin tập trung chủ yếu trong các tế bào và chỉ có một lượng rất nhỏ lưu thông trong máu.
Bạn có biết tại sao tim lại đập nhanh hơn hay tại sao lòng bàn tay bị đổ mồ hôi khi phải đối mặt với một tình huống căng thẳng không? Đó là do phản ứng tự nhiên của cơ thể khi gặp lo âu, căng thẳng.
Thời tiết chuyển mùa khiến chúng ta dễ bị cảm cúm kèm theo các triệu chứng sổ mũi, đau đầu. Có nhiều loại thuốc tây có thể hỗ trợ điều trị và giảm triệu chứng nhanh chóng nhưng đây không phải sự lựa chọn của nhiều người vì sợ ảnh hưởng đến sức khỏe lâu dài. Do đó, ngày càng có nhiều người lựa chọn thảo dược trị cảm cúm và giảm các triệu chứng khó chịu mà không gây nguy hại cho sức khỏe.
Sắt là một khoáng chất cần thiết trong cơ thể con người. Sắt tham gia vào quá trình hình thành hồng cầu – các tế bào máu có nhiệm vụ vận chuyển oxy đi khắp cơ thể. Nồng độ sắt thấp hay thiếu sắt sẽ gây mệt mỏi và làm giảm khả năng chống lại nhiễm trùng của cơ thể. Nhưng điều gì sẽ xảy ra khi nồng độ sắt quá cao?





