Các đặc điểm hình ảnh học của viêm mô tế bào
1. Dịch tễ học của viêm mô tế bào
Các yếu tố nguy cơ dễ dẫn đến bệnh lý viêm mô tế bào bao gồm:
- Bệnh lý mạch máu ngoại vi
- Đái tháo đường
- Sử dụng thuốc tiêm tĩnh mạch
2. Các biểu hiện lâm sàng
Viêm mô tế bào có thể ảnh hưởng đến bất kỳ vùng nào trên cơ thể và thường ảnh hưởng đến chi dưới.
Các biểu hiện lâm sàng bao gồm đỏ da không có đường viền rõ ràng, nhiệt độ da tăng, sưng vùng bị ảnh hưởng, nổi hạch vùng và viêm hạch.
Ngoài ra, các dấu hiệu toàn thân như sốt và rét run cũng có thể xuất hiện.
3. Các biến chứng của viêm mô tế bào
Nếu nhiễm trùng lan đến mô ở sâu hơn, các biến chứng có thể xảy ra, chẳng hạn như áp xe mô mềm (soft tissue abscess), viêm cơ nhiễm trùng (infectious myositis), viêm cân hoại tử (necrotizing fasciitis) hoặc viêm xương tủy xương (osteomyelitis).
Đôi khi có thể bị nhiễm trùng huyết (sepsis).
Cần đặc biệt lưu ý đối với bệnh nhân lão khoa, trong đó bệnh viêm mô tế bào của chi dưới có nhiều khả năng phát triển thành viêm tắc tĩnh mạch.
4. Bệnh học
Viêm mô tế bào xảy ra sau khi da bị phá vỡ và vi sinh vật xâm nhập vào lớp mô dưới da. Các vi sinh vật đó thường là các vi khuẩn bình thường có sẵn ở da, như tụ cầu vàng (Staphylococcus aureus), hoặc các vi khuẩn khác.
Những bệnh nhân bị bệnh mạch máu ngoại vi hoặc bệnh đái tháo đường đặc biệt dễ bị viêm mô tế bào vì vết thương nhỏ trên da hoặc da nứt nẻ ở bàn chân hoặc ngón chân có thể là điểm xâm nhập của vi trùng.
5. Đặc điểm hình ảnh học của viêm mô tế bào
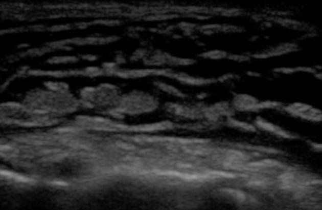
5.1. Siêu âm
Siêu âm thường là phương pháp thăm dò đầu tiên để đánh giá khi khám lâm sàng nghi ngờ viêm mô tế bào.
Bình thường mô dưới da có hình ảnh giảm âm với vài sợi tăng âm (là hình ảnh của các sợi liên kết). Ở trên lớp mô dưới da, có một lớp biểu - trung bì mỏng, tương đối tăng âm. Lớp cân mạc nằm sâu bên dưới mô dưới da.
Dấu hiệu siêu âm của viêm mô tế bào bao gồm: lớp biểu-trung bì tăng độ dày, phản âm bất thường, mô dưới da cũng tăng âm, ranh giới giữa lớp biểu – trung bì và mô dưới da không rõ. Thường hữu ích khi so sánh vùng bình thường bên cạnh hoặc ở đối bên.
Sự tích tụ dần dần của phù nề trong mô dưới da tạo hình ảnh các dải dạng đường trống âm có phân nhánh tạo nên hình ảnh các thùy hay còn gọi là hình "đá cuội"(cobble-stone).
+ Hình ảnh này cũng có thể gặp ở các trạng thái phù nề khác
+ Sự hiện diện của da dày và phản âm bất thường bên trên sẽ nghiêng về viêm mô tế bào hơn là phù nề
+ Các dải dạng đường trống âm do dịch nằm sâu trong lớp mô dưới da ám chỉ phù bạch mạch.
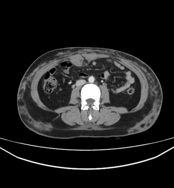
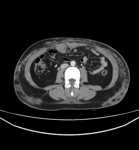
5.2. CT Scanner
CT Scan được sử dụng để phân biệt chính xác giữa viêm mô tế bào nông và viêm mô tế bào sâu.
Trong bệnh viêm mô tế bào không biến chứng, CT cho thấy da dày lên, có các vách trong lớp mỡ dưới da và cân mạc nông bên dưới dày lên. Nếu nhiễm trùng lan đến các mô sâu hơn, áp xe mô mềm, viêm cơ nhiễm trùng, viêm cân hoại tử và viêm tủy xương đều có thể được phát hiện bằng CT.
6. Điều trị và tiên lượng
Viêm mô tế bào không biến chứng thường được điều trị bảo tồn bằng kháng sinh và các biện pháp hỗ trợ tại chỗ.
7. Chẩn đoán phân biệt
Các chẩn đoán phân biệt lâm sàng bao gồm:
- Bệnh viêm quầng (Erysipelas)
- Huyết khối tĩnh mạch sâu
- Các ban đỏ không do nhiễm trùng
Ho rát họng có đờm là một vấn đề phổ biến có thể gặp ở bất kỳ ai. Nguyên nhân của tình trạng này có thể là viêm amidan, cảm cúm, viêm họng, thậm chí là ung thư vòm họng.
Viêm phế quản là một bệnh lý phổ biến trong xã hội ngày nay mà nhiều người có thể mắc phải. Tuy viêm phế quản không gây nguy hiểm đến tính mạng nhưng có thể ảnh hưởng đáng kể đến sức khỏe của người bệnh.
Ho, sốt đau họng là những triệu chứng thường gặp cùng lúc và có thể ảnh hưởng đến cuộc sống hàng ngày. Bài viết dưới đây sẽ làm rõ nguyên nhân, cách nhận biết và những phương pháp hiệu quả để giảm nhẹ và xua tan những triệu chứng này.
Là một phần quan trọng của hệ hô hấp, họng thường mắc phải nhiều bệnh lý khác nhau. Các bệnh về họng có thể đơn giản chỉ là viêm họng hoặc có thể nghiêm trọng hơn như viêm amidan, viêm thanh quản và thậm chí ung thư họng.
Thời điểm giao mùa, các trung tâm Y tế đang ghi nhận nhiều trường hợp bệnh nhi mắc viêm phổi do vi khuẩn Mycoplasma. Đây là một bệnh thường xuất hiện trong mùa giao mùa, đặc biệt làm lây lan nhanh chóng.
Y học tái tạo đang thu hút sự chú ý trong cộng đồng Y khoa Quốc tế với việc nghiên cứu về khả năng tự chữa lành và tái tạo của cơ thể con người. Một phương pháp tiên tiến là sử dụng chất tiết tế bào gốc Exosomes, giúp hỗ trợ quá trình lành và tái tạo cơ thể.
Chất tiết tế bào gốc là một loại tế bào đặc biệt có khả năng chuyển hóa thành các tế bào chuyên hóa khác trong cơ thể. Ứng dụng của chất tiết tế bào gốc có thể bao gồm điều trị các vấn đề lão hóa, chấn thương tế bào, và các bệnh lý khác.
Thời tiết chuyển mùa khiến chúng ta dễ bị cảm cúm kèm theo các triệu chứng sổ mũi, đau đầu. Có nhiều loại thuốc tây có thể hỗ trợ điều trị và giảm triệu chứng nhanh chóng nhưng đây không phải sự lựa chọn của nhiều người vì sợ ảnh hưởng đến sức khỏe lâu dài. Do đó, ngày càng có nhiều người lựa chọn thảo dược trị cảm cúm và giảm các triệu chứng khó chịu mà không gây nguy hại cho sức khỏe.





