Các bất thường bóng tim trên X quang
1. Bóng tim to
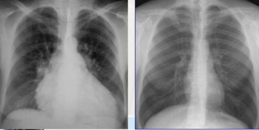
Để xác định bóng tim to trên phim chụp X-quang cần xác định tỷ lệ tim ngực, chỉ số tim ngực là tỷ lệ giữa kích thước chiều ngang của bóng tim và kích thước chiều ngang lồng ngực. Bóng tim bình thường trên phim chụp tim phổi thẳng có tỷ lệ tim ngực là từ 0,5-0,55. Bóng tim to khi tỷ lệ tim ngực lớn hơn 0,55.
Nguyên nhân gây ra hiện tượng bóng tim to trên phim chụp bao gồm:
- Suy tim: Suy tim có thể do nhiều nguyên nhân gây ra, khi có tình trạng suy tim các tế bào cơ tim phải tăng sức làm việc, dẫn đến cơ tim bị phì đại, máu bị ứ lại trong buồng tim và tạo thành hình ảnh bóng tim to trên phim chụp X-quang.
- Bệnh lý van tim: Một bất thường hệ thống van tim như: Hẹp hở van hai lá, van 3 lá hay van động mạch chủ... Cũng làm cho máu bị ứ lại trong buồng tim gây ra hiện tượng bóng tim lớn trên phim.
- Tràn dịch màng ngoài tim: Tràn dịch màng ngoài tim là nguyên nhân gây hiện tượng khó thở, đau ngực trên lâm sàng. Tràn dịch màng ngoài tim là hiện tượng dịch giữa khoang màng ngoài tim tăng lên một cách bất thường, dẫn đến chèn ép tim. Hiện tượng dịch tăng ở màng ngoài tim bất thường cũng làm thay đổi hình ảnh bóng tim trên phim chụp X-quang.
- Bệnh lý tim bẩm sinh như: Từ chứng fallot ( thấy tim hình giống chiếc ủng), bệnh Ebstein( tim có hình giống hình hộp)...
2. Bóng tim nhỏ
Khi lồng ngực kéo dài, tim ở trạng thái treo. Lúc đó trục của tim gần như song song với trục đứng của cơ thể, người ta gọi là tim hình giọt nước, đường kính tim giảm rõ rệt. Tình trạng bóng tim nhỏ có thể gặp trong các bệnh lý như:
- Bệnh khí phế thũng gây ra do sự mất chức năng của các túi phế nang và các tiểu phế quản do căng giãn quá mức hoặc bị phá hủy do quá trình viêm mạn tính. Tình trạng này kéo dài làm mất tính đàn hồi của hệ thống hô hấp, sau khi hít vào bệnh nhân bị khó thở ở thì thở ra nên không khí bị ứ lại tại phổi hình thành nên các túi khí chứa không khí nghèo oxy. Trên phim chụp X-quang điển hình là hình phổi ứ khí và bóng tim nhỏ hình giọt nước.
- Bệnh phổi mạn tính, hen phế quản: Tình trạng này làm cho khí bị ứ tại phổi nên phim chụp X-quang lồng ngực rộng dạng hình thùng, bóng tim nhỏ.
- Tình trạng thiếu máu, cơ thể suy kiệt: Trên phim chụp X-quang thấy hình ảnh lồng ngực nhỏ và bóng tim nhỏ.
3. Lớn nhĩ trái
Hình ảnh bóng tim trên phim chụp X-quang thẳng và nghiêng, có thể thấy được tình trạng lớn nhĩ trái. Nhĩ trái lớn có thể do các nguyên nhân như:
- Bệnh nhân bị hẹp và hở van hai lá: Tình trạng hẹp van hai lá làm cho nhĩ trái phải tăng co bóp đẩy máu xuống thất trai, lượng máu ở tâm nhĩ trái bị ứ lại gây lớn nhĩ trái. Hở van hai lá làm cho một lượng máu từ thất trái khi co bóp bị phụt ngược trở lại nhĩ trái, làm tăng lượng máu ở nhĩ trái dẫn đến hình ảnh lớn nhĩ trái trên phim chụp. Lớn nhĩ trái tùy mức độ mà biểu hiện trên phim khác nhau.
- Suy tim: Trường hợp suy tim thường kèm theo hình ảnh bóng tim to.
4. Lớn nhĩ phải
Tình trạng lớn nhĩ phải thường gặp các nguyên nhân như: Bệnh tim bẩm sinh, bệnh van 2 lá và van 3 lá, bệnh tâm phế mạn...
Lớn nhĩ phải trên phim chụp X-quang được xác định nhờ độ lớn của nhĩ phải, nếu độ lớn của nhĩ phải lớn hơn 5,5 cm thì nghĩ tới nhĩ phải lớn.
5. Thất phải lớn
Hình ảnh thất phải lớn có thể thấy rốn phổi giãn to; trên phim nghiêng có thể thấy hình ảnh mất khoảng sáng trước tim.
Nguyên nhân gây ra tình trạng thất phải lớn gồm:
- Hẹp hở van động mạch phổi: Tình trạng này làm cho lượng máu bị ứ lại tại tâm thất phải dẫn tới giãn thất phải, gây ra hiện tượng thất phải lớn.
- Hẹp van hai lá: Trường hợp hẹp van hai lá, sẽ thấy dấu hiệu kèm theo trên phim chụp là nhĩ trái to.
- Bệnh lý tại phổi: Một số bệnh lý tại phổi làm tăng áp lực mạch máu tại phổi, dẫn tới tăng áp lực lên tâm thất phải. Dẫn tới tình trạng thất phải lớn.
Kỹ thuật chụp phim X-quang tim phổi là kỹ thuật đơn giản, giúp khảo sát bất thường của các cơ quan tại ngực như cơ, xương, phổi, tim. Trên phim có thể thấy những hình ảnh bất thường của bóng tim, từ hình ảnh đó có thể giúp định hướng chẩn đoán, chẩn đoán và theo dõi điều trị bệnh.
Ho rát họng có đờm là một vấn đề phổ biến có thể gặp ở bất kỳ ai. Nguyên nhân của tình trạng này có thể là viêm amidan, cảm cúm, viêm họng, thậm chí là ung thư vòm họng.
Viêm phế quản là một bệnh lý phổ biến trong xã hội ngày nay mà nhiều người có thể mắc phải. Tuy viêm phế quản không gây nguy hiểm đến tính mạng nhưng có thể ảnh hưởng đáng kể đến sức khỏe của người bệnh.
Ho, sốt đau họng là những triệu chứng thường gặp cùng lúc và có thể ảnh hưởng đến cuộc sống hàng ngày. Bài viết dưới đây sẽ làm rõ nguyên nhân, cách nhận biết và những phương pháp hiệu quả để giảm nhẹ và xua tan những triệu chứng này.
Là một phần quan trọng của hệ hô hấp, họng thường mắc phải nhiều bệnh lý khác nhau. Các bệnh về họng có thể đơn giản chỉ là viêm họng hoặc có thể nghiêm trọng hơn như viêm amidan, viêm thanh quản và thậm chí ung thư họng.
Thời điểm giao mùa, các trung tâm Y tế đang ghi nhận nhiều trường hợp bệnh nhi mắc viêm phổi do vi khuẩn Mycoplasma. Đây là một bệnh thường xuất hiện trong mùa giao mùa, đặc biệt làm lây lan nhanh chóng.
Nếp gấp màu trắng trên mí mắt sau 6 tháng cắt mí
Dạ em có cắt mí được 6 tháng rồi ạ. Thì sau khi cắt mí 6 tháng, ở mắt phải (mắt khoanh tròn) em thấy có nếp gấp màu trắng ở đó còn mắt trái không có. Em không biết sau này có hết không ạ? Ảnh em nhắm mắt là sau 4 tháng thì cả hai mắt có đường màu trắng nhưng sau thì mắt trái hết rồi ạ. Và có một thắc mắc khác là lúc em cắt chỉ sau 7 ngày thì thấy mắt phải (mắt khoanh tròn), đường mí không vào đầu mắt ạ, còn mắt trái thì vào đầu mắt nên tự nhiên hơn, em không biết sau này nếu sửa lại thì có sửa cho mí mắt phải vào đầu mắt được không ạ?
- 0 trả lời
- 886 lượt xem
Sắt là một khoáng chất cần thiết trong cơ thể con người. Sắt tham gia vào quá trình hình thành hồng cầu – các tế bào máu có nhiệm vụ vận chuyển oxy đi khắp cơ thể. Nồng độ sắt thấp hay thiếu sắt sẽ gây mệt mỏi và làm giảm khả năng chống lại nhiễm trùng của cơ thể. Nhưng điều gì sẽ xảy ra khi nồng độ sắt quá cao?
Thời tiết chuyển mùa khiến chúng ta dễ bị cảm cúm kèm theo các triệu chứng sổ mũi, đau đầu. Có nhiều loại thuốc tây có thể hỗ trợ điều trị và giảm triệu chứng nhanh chóng nhưng đây không phải sự lựa chọn của nhiều người vì sợ ảnh hưởng đến sức khỏe lâu dài. Do đó, ngày càng có nhiều người lựa chọn thảo dược trị cảm cúm và giảm các triệu chứng khó chịu mà không gây nguy hại cho sức khỏe.





