MỌC RĂNG KHÔN – NÊN NHỔ HAY ĐỂ?
39 Lượt xem - Danh mục: Nhổ Răng
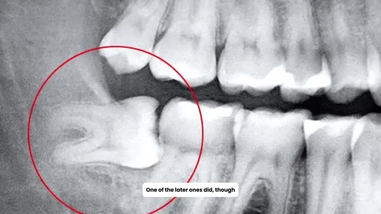
Không phải răng khôn nào cũng cần nhổ.
Nếu răng mọc thẳng, đủ chỗ và không gây đau, bạn có thể giữ lại.
Nhưng nếu răng mọc lệch, mọc ngầm, gây đau nhức hoặc làm hỏng răng bên cạnh, bác sĩ thường khuyên nên nhổ sớm để tránh biến chứng.
Cách tốt nhất là bạn nên đến nha khoa uy tín để chụp phim và thăm khám với bác sĩ để biết răng khôn của bạn nên giữ hay nhổ.
Đừng chủ quan khi răng khôn bắt đầu đau, hãy chủ động kiểm tra sớm để tránh những rắc rối về sau. Xem thêm nhổ răng
Nhổ răng khôn số 38 mọc lệch 45 độ đâm vào răng 7 cho bạn Hiền đang chỉnh nha tại Nha Khoa Thuỳ Anh
5 năm trước
·
3673 Lượt xem
MÔ PHỎNG QUÁ TRÌNH NHỔ RĂNG KHÔN MỌC LỆCH
5 năm trước
·
3574 Lượt xem
NHỔ RĂNG KHÔN CỰC KHÓ KẾT HỢP QUAY LY TÂM MÁU LẤY TẾ BÀO GỐC
5 năm trước
·
3420 Lượt xem
Nhổ R28 mọc lệch má, sâu đau cho chị khách hàng.
4 năm trước
·
2827 Lượt xem
ĐỪNG ĐỂ RĂNG KHÔN LÀM HỎNG RĂNG SỐ 7
5 năm trước
·
2483 Lượt xem
Nhổ răng khôn số 28 sâu viêm tuỷ gây đau cho bạn Tùng tại Nha Khoa Thuỳ Anh.
5 năm trước
·
2461 Lượt xem
Ca nhổ răng số 37, 38 mọc lệch 90 độ gây sâu hỏng răng 37
4 năm trước
·
2017 Lượt xem
Nhổ răng khôn mọc lệch gây dắt thức ăn khó chịu hằng ngày.
5 năm trước
·
1999 Lượt xem
Ca nhổ răng khôn số 38 mọc lợi trùm gây đau khó chịu cho khách hàng
4 năm trước
·
1989 Lượt xem
QUY TRÌNH NHỔ RĂNG SỐ 6 HỎNG CHỈ CÒN CHÂN RĂNG.
5 năm trước
·
1898 Lượt xem
Nhổ răng khôn số 38 mọc ngầm lệch 90 độ cho chị Ngọc tại nha khoa Thùy Anh.
5 năm trước
·
1877 Lượt xem
NHỔ 2 RĂNG KHÔN KHÓ LỆCH 75 ĐỘ R28, R38 BẰNG MÁY SIÊU ÂM
6 năm trước
·
1688 Lượt xem
NHỔ 2 RĂNG SỐ 8 KHÔNG ĐAU BẰNG MÁY SIÊU ÂM PIEZOTOME TẠI NHA KHOA PARIS HẢI PHÒNG
5 năm trước
·
1676 Lượt xem
CẬN CẢNH CA NHỔ 2 RĂNG KHÔN TẠI NHA KHOA QUỐC TẾ VIỆT PHÁP
4 năm trước
·
1634 Lượt xem
Nhổ răng khôn số 18 28 mọc trồi gây đau nhức cho chú Tâm
5 năm trước
·
1619 Lượt xem
Ca nhổ răng 48 lợi chùm, sưng đau nhiều lần cho bạn khách hàng tại Nha Khoa Thuỳ Anh.
3 năm trước
·
1606 Lượt xem
Nhổ răng 14 24 34 phục vụ chỉnh nha cho bạn Bích.
6 năm trước
·
1582 Lượt xem
Nhổ răng khôn 28 mọc kẹt, 38 mọc lệch 45 độ.
4 năm trước
·
1567 Lượt xem
NHỔ CẶP RĂNG 8 + CẤY TẾ BÀO GỐC
5 năm trước
·
1518 Lượt xem
Nhổ răng khôn 38, 48 mọc lệch 90 độ
5 năm trước
·
1494 Lượt xem
CẬN CẢNH QUY TRÌNH NHỔ RĂNG KHÔN AN TOÀN TẠI NHA KHOA QUỐC TẾ VIỆT MỸ
5 năm trước
·
1477 Lượt xem
Răng khôn mọc ngầm chèn vào dây thần kinh, nhiều nha khoa từ chối nhổ.... Khách hàng tìm đến Delia và cái kết
5 năm trước
·
1462 Lượt xem
Nhổ răng khôn số 48 mọc lệch 90 độ đâm vào răng 7 gây đau viêm tuỷ răng 7.
5 năm trước
·
1447 Lượt xem
NHỔ RĂNG SỐ 4 HOẶC 5 CÓ THẬT SỰ CẦN THIẾT KHI CHỈNH NHA ?
5 năm trước
·
1396 Lượt xem
MỌC RĂNG KHÔN – NÊN NHỔ HAY ĐỂ?
1 tháng trước
·
40 Lượt xem
NHỔ RĂNG KHÔN NHẸ NHƯ KHÔNG VỚI MÁY PIEZOTOME
2 tháng trước
·
56 Lượt xem
VIÊM RĂNG, Ê BUỐT – KHÔNG CÒN LÀ NỖI LO
9 tháng trước
·
104 Lượt xem
VIÊM RĂNG, Ê BUỐT – KHÔNG CÒN LÀ NỖI LO
9 tháng trước
·
81 Lượt xem
NHỔ RĂNG KHÔN NHANH HƠN MÌNH NGHĨ!
9 tháng trước
·
97 Lượt xem
NHỔ RĂNG KHÔN QUÁ DỄ ĐỐI VỚI DUY
10 tháng trước
·
116 Lượt xem
25 năm đồng hành cùng hàng triệu nụ cười
2 năm trước
·
273 Lượt xem
CHUYÊN GIA BẬT MÍ BÍ QUYẾT NHỔ RĂNG KHÔN KHÔNG ĐAU
3 năm trước
·
317 Lượt xem
KHI NÀO NÊN NHỔ RĂNG KHÔN
3 năm trước
·
386 Lượt xem



