Phân tích case: Niềng răng thành công cho cậu bé 14 tuổi có nhiều răng không mọc
Nha khoa Bauman Clinic
5 năm trước
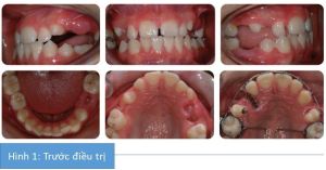
Bệnh nhân nam 14 tuổi có tương quan răng cửa hạng III trên nền xương hạng III nhẹ, phức tạp bởi:
- R13, R15, R25, R35 không mọc
- Nhóm răng phía trước hàm dưới chen chúc nhẹ
- R14 xoay.
Nhận xét về phim X-quang
Phim Xquang cho thấy R13 mọc ngầm phía khẩu cái với tiên lượng làm đều thuận lợi bằng chỉnh nha. Có sự mở rộng bao răng của răng này nhưng không có tiêu chân R12. R25, R15 và R35 thiếu bẩm sinh. Tất cả các răng hàm lớn thứ 3 đang phát triển.
Kế hoạch điều trị
- Phẫu thuật bộc lộ và gắn mắc cài lên R13
- Khí cụ cố định edgewise sẵn thông số hàm trên và hàm dưới với loại bỏ R35 và R75
- Duy trì dài hạn
Kết quả cuối cùng được thể hiện ở hình 3




