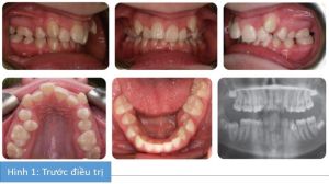
Phân tích case: Niềng răng thành công cho bệnh nhân nữ 14 tuổi bị hô
Bệnh nhân nữ 14 tuổi bị sai khớp cắn hạng II tiểu loại I trên nền xương hạng II trung bình với tỉ lệ theo chiều đứng giảm. Có tăng độ cắn chìa, cắn trùm tăng và hoàn toàn, và chen chúc nghiêm trọng ở cả 2 cung hàm. Tương quan răng hàm hạng II 2 bên và bị lệch đường giữa.
Mô tả khớp cắn
- Chen chúc nặng ở cung hàm dưới, R35 mọc 1 phần, R47 chưa mọc
- Các răng cửa dưới nghiêng trong và cả 2 răng nanh nghiêng xa
- Chen chúc nặng ở cung hàm trên. R15 mọc ra ở phía khẩu cái và cả 2 răng nanh hàm trên chen chúc phía ngoài.
- Độ cắn chìa tăng 9 mm (R11) nhưng R21 nghiêng trong.
- 2 răng nanh hàm trên nghiêng gần.
- Tương quan răng cửa là hạng II tiểu loại I với độ cắn chìa lớn ở R11.
- Tương quan răng hàm là hạng II 2 bên
- Đường giữa hàm dưới lệch trái và đường giữa hàm trên lệch phải do chen chúc răng.
Các lựa chọn điều trị chính là gì?
Với bất kỳ trường hợp bị sai lệch xương loại II và độ cắn chìa lớn, các lựa chọn điều trị chính là giữa:
- Chỉnh nha ngụy trang
- Chỉnh sửa tăng trưởng
- Kết hợp chỉnh nha và phẫu thuật chỉnh hàm
Nếu bệnh nhân đồng ý đeo khí cụ chức năng và từ chối phẫu thuật hàm, làm thế nào để bác sĩ điều trị chỉnh nha ngụy trang thành công?
Chỉnh nha ngụy trang có thể đạt được bằng cách sử dụng khí cụ chỉnh nha.
Mặc dù cung hàm dưới chen chúc nghiêm trọng, điều này chỉ ảnh hưởng tới R35 đã mọc 1 phần. Lưu ý rằng độ cắn trùm lớn và các răng cửa hàm dưới hơi nghiêng trong, một lựa chọn để điều trị cung hàm dưới mà không nhổ răng, tạo khoảng cách bằng cách nong cung hàm để nắn thẳng R35.
Một yếu tố nữa cần quan tâm đến là ổn định vị trí cho R47 chưa mọc. Răng này đòi hỏi cần được bộc lộ và làm trồi để đưa vào khớp cắn. Tuy nhiên, làm như vậy sẽ mất nhiều thời gian, kỹ thuật khó và phức tạp bởi thiếu khoảng, đặc biệt nếu thực hiện phương pháp không nhổ răng ở cung hàm dưới.
Một lựa chọn khác là nhổ răng hàm nhỏ thứ 2 hàm dưới. Ưu điểm của cách này là cung cấp khoảng trống ở phía sau cho R47 và thêm neo chặn tạo thuận lợi cho việc giảm cắn chìa thông qua việc sử dụng thun kéo liên hàm hạng II.
Ở cung hàm trên, cần đòi hỏi neo chặn chắc chắn. Có chen chúc nặng, độ cắn chìa tăng và tương quan răng hàm hạng II. Việc chỉ nhổ những răng hàm nhỏ thứ nhất sẽ không cung cấp đủ khoảng trống. Để tạo thêm khoảng trống, có thể cần sử dụng headgear; tuy nhiên, cần có sự hợp tác tốt của bệnh nhân để di xa thành công các răng hàm lớn thứ nhất, đặc biệt khi tăng trưởng mặt gần như sẽ hoàn thành ở 14 tuổi ở nữ.
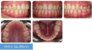
Kết quả được thể hiện ở hình 2.




