Phân tích case: Niềng răng thành công cho bệnh nhân có răng chen chúc, không thích hình dáng răng nanh của mình
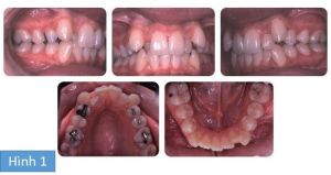
Bệnh nhân nữ 13 tuổi tới phòng khám với than phiền răng chen chúc và không hài lòng với hình dáng răng nanh của mình. Không có tiền sử bệnh lý liên quan. Cô bé có sai khớp cắn hạng I trên nền xương hạng I và kích thước dọc trung bình, phức tạp bởi chen chúc và lệch đường giữa răng.
Kế hoạch điều trị
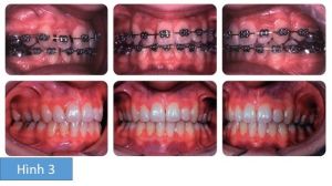
Vì diện mạo khuôn mặt khá hài hòa nên mục đích của điều trị là không thay đổi vị trí của phần răng phía trước đáng kể, nhưng tạo ra đủ khoảng trong cung răng để giải phóng chen chúc và chỉnh sửa sai lệch đường giữa, cắn chéo răng trước và tương quan răng hàm. Ở cung hàm trên cần nhổ 2 răng tiền hàm thứ nhất và ở cung hàm dưới nhổ 2 răng tiền hàm thứ 2. Khí cụ cố định edgewise sẵn thông số hàm trên và hàm dưới được gắn và các dây Niti tròn làm thẳng ban đầu được sử dụng lèm theo laceback ở cung hàm dưới và cung hàm bên trái hàm trên.
Sau gđ làm thẳng ban đầu, một dây cung bằng thép không gỉ được đặt trong cung hàm trên và khoảng trống được tạo lại cho R12 chen chúc bằng cách sử dụng lò xo đẩy NiTi. Khi khoảng được tạo ra, bác sĩ sẽ sử dụng dây cung Niti phụ hoặc piggy-back để làm thẳng răng này.
Khi đã thẳng hàng, dây cung bằng thép không gỉ thiết diện chữ nhật được đặt vào để kiểm soát độ cắn trùm và đóng khoảng trước khi tháo mắc cài.




