Phân tích case: Niềng răng thành công cho bệnh nhân bị hô nhẹ có phanh môi bám thấp và khe thưa đường giữa
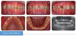
Bệnh nhân nữ 13 tuổi có tương quan răng cửa hạng II tiểu loại 1 với kiểu xương hạng II nhẹ, phức tạp bởi độ cắn chìa lớn và khe thưa đường giữa hàm trên, phanh môi bám thấp.
Kế hoạch điều trị
- Khí cụ Twin Block cải tiến
- Khí cụ edgewise điều chỉnh sẵn hàm trên và hàm dưới
- Duy trì trong thời gian dài
Khe thưa ở đường giữa là khoảng trống giữa các 2 răng cửa giữa. Khe thưa đường giữa hàm trên thường là đặc điểm của bộ răng hỗn hợp và được cho là sinh lý (không phải bệnh lý). Khe thưa này thường được đóng một cách tự nhiên khi các răng nanh hàm trên mọc. Do đó nó không được chỉ định điều trị cho đến khi sử dụng các khí cụ chỉnh nha cố định.
Liệu phẫu thuật phanh môi có được chỉ định sau khi đóng khe thưa không?
Thông thường, các phanh môi bám thấp và dày, thường sẽ tái định hình về phía chóp răng sau khi đóng khoảng. Do đó, phẫu thuật phanh môi thường không được chỉ định sau điều trị. Tuy nhiên, vẫn có một vài nhà thực hành uorng hộ phẫu thuật phanh môi. Nếu được thực hiện, phẫu thuật phanh môi có thể được tiến hành trước (giúp tiếp cận dễ hơn) hoặc sau khi chỉnh nha đóng khoảng. Có ý kiến cho rằng, nếu phẫu thuật phanh môi sau khi đóng khoảng, sự co rút của sẹo ở quá trình lành thương có thể làm đầy chắc khoảng muốn đóng. Các khí cụ duy trì dán dính phía trong được khuyên sử dụng sau khi đóng khe thưa.
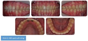
Kết quả cuối cùng được thể hiện ở hình 2




