Phân tích case: Niềng răng thành công cho bệnh nhân bị hô 2 hàm, có nhổ 4 răng hàm nhỏ
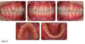
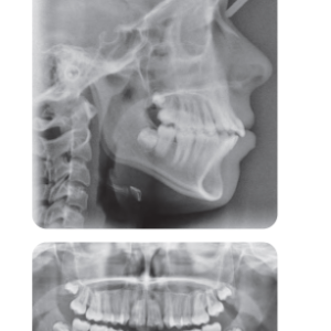
Bệnh nhân nữ 16 tuổi có sai khớp cắn hạng III trên nền xương hạng II nhẹ với tăng kích thước dọc phức tạp bởi chen chúc nhẹ và hô 2 hàm (Hình 1, Hình 2)
Kế hoạch điều trị (hình 3)
Mục tiêu điều trị là giải phóng chen chúc và giảm hô 2 hàm.
Tất cả 4 răng hàm nhỏ thứ nhất đều được nhổ để tạo khoảng trống và khí cụ edgewise có sẵn thông số được gắn vào. Sau giai đoạn làm đều đầu tiên bằng dây cung Niti tròn, dây thép không gỉ hình chữ nhật được đặt vào và nhóm răng trước được kéo lui bằng cách sử dụng chun nội hàm được hỗ trợ bởi thun kéo liên hàng hạng II ngắn.
Điều trị như thế nào?
Mục tiêu điều trị trong trường hợp này là kéo lui các răng cửa và thu gọn môi. Hình thể môi một phần được định hình bởi vị trí của răng bên dưới và vì thế, bằng cách dịch chuyển răng, hình ảnh của môi khi nhìn nghiêng có thể thay đổi. Tuy nhiên, điều này không đơn giản, tỷ lệ tương quan với đáp ứng mô mềm rõ ràng là khó dự đoán và phụ thuộc lớn vào từng cá thể và sự khác biệt lớn về chủng tộc. Thực sự là, khi môi đã khép kín từ đầu trước khi điều trị thì việc dịch chuyển của các răng cửa sẽ ít ảnh hưởng đến mô mềm. Tuy nhiên, trong trường hợp hô 2 hàm, có thể dự đoán được sự cải thiện nét mặt nhìn nghiêng khi nhổ 4 răng tiền hàm thứ nhất và sử dụng khí cụ cố định.
Để kéo lui các răng cửa, cần phải tạo ra khoảng trống. Quyết định sẽ nhổ răng cũng như đòi hỏi neo chặn phụ thuộc vào mức độ dịch chuyển của nhóm răng cửa. Nhìn chung, nếu sức khỏe răng miệng tốt thì sẽ nhổ các răng hàm nhỏ thứ nhất hoặc thứ 2 và gắn khí cụ cố định để kéo lui nhóm răng cửa. Nếu cần neo chặn tối đa, bác sĩ có thể cho bệnh nhân đeo Headgear, mặc dù vậy, neo chặn xương gồm khí cụ neo chặn tạm thời (TAD) hoặc mini-plates, hiện nay là một lựa chọn thay thế hấp dẫn. Thun kéo liên hàm cũng có thể được sử dụng.
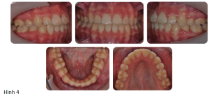
Kết quả điều trị được thể hiện ở Hình 4.




