Phân tích case: Niềng răng, phẫu thuật hàm và phẫu thuật làm nhỏ cằm cho khách hàng nữ 42 tuổi
Bệnh nhân nữ 42 tuổi có khớp cắn hạng II trên nền xương hạng II trung bình với tỷ lệ theo chiều đứng trung bình. Đỉnh cằm hơi lệch trái. Mút môi, môi dưới nằm dưới các răng cửa trên ở tư thế nghỉ. Góc mũi môi bình thường nhưng hàm dưới lùi và đỉnh cằm nhô dẫn đến kết quả là môi ở tư thế nghỉ nằm lùi phía sau đáng kể so với đường E và do đó, kiểu mặt nghiêng xấu.
Lựa chọn cho điều trị phẫu thuật chỉnh nha là gì?
Cuối cùng thì điều trị lệch lạc khớp cắn sẽ bao gồm làm mất bù trừ bằng chỉnh nha và phẫu thuật để chỉnh sửa sai lệch xương hàm sẵn có.
Các răng cửa hàm trên đã có độ ngả theo chiều trước – sau tốt và vị trí theo chiều đứng tốt, và không có quá mức xương hàm trên theo chiều đứng hay sự tăng tỷ lệ theo chiều đứng – phẫu thuật gần như chắc chắn đưa hàm dưới ra trước. Tuy nhiên, do cằm nhô nên phẫu thuật gọt cằm có thể được yêu cầu bổ sung thêm cho phẫu thuật đưa hàm ra trước. Thêm vào đó, đường giữa hàm dưới lệch trái, cùng với điểm giữa cằm. Do đó cũng cần lên kế hoạch đưa hàm dưới ra trước và di chuyển sang phải để đồng thời chỉnh sửa đường giữa răng và đỉnh cằm.
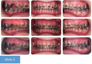
Điều gì đã xảy ra với R22?
Mắc cài được gắn lên mão sứ, bị bog ra và thất lạc trước phẫu thuật! Thay vì gắn nó lại, bác sĩ quyết định để mặc nó tới sau khi phẫu thuật xong và thay thế nó trước khi tinh chỉnh khớp cắn cuối cùng.
Nhận xét kết quả cuối cùng
Có sự cải thiện gương mặt nhìn nghiêng, mặc dù có dư 1 chút da cùng nhọng-cằm do kết quả của việc đưa hàm dưới ra trước và phẫu thuật thu nhỏ cằm. Độ cắn chìa và đường giữa đã được sửa lại.




