Phân tích case: Hình ảnh niềng răng thành công cho bệnh nhân 9 tuổi bị móm có bộ răng phức tạp
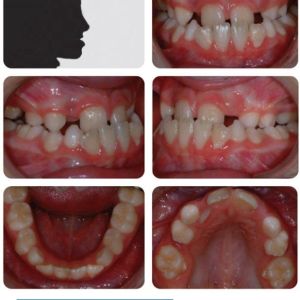
Bệnh nhân nữ 9 tuổi có sai khớp cắn hạng III trên nền xương hạng III từ nhẹ đến trung bình trên bộ răng hỗn hợp, phức tạp bởi:
- Độ cắn chìa âm (-3 mm)
- Chen chúc ở cả 2 cung hàm (nhưng hàm trên chen chúc nặng hơn vì mất sớm các răng hàm sữa thứ 2)
- Các răng cửa bên hàm trên chen chúc và lệch vòm miệng
- Mất khoảng ở vùng răng hàm nhỏ thứ 2 hàm trên
Điều trị nào được cân nhắc trong trường hợp này?
Việc điều trị nên hướng đến 2 vấn đề nổi bật nhất: độ cắn chìa âm và mất khoảng trống ở vùng răng hàm nhỏ thứ 2 hàm trên. Do đó, sử dụng khí cụ edgewise sẵn thông số phân đoạn ở hàm trên để phân bố lại khoảng ở cung răng trên, cho phép các răng hàm nhỏ thứ 2 hàm trên mọc lên và các răng cửa hàm trên thẳng hàng. Thêm vào đó, headgear kéo ra trước nên được sử dụng cùng với khí cụ chức năng để dễ dàng chỉnh sửa tương quan răng cửa. Headgear kéo trước cần được đeo ít nhất 14 tiếng mỗi ngày để tạo ra sự thay đổi đáng kể.
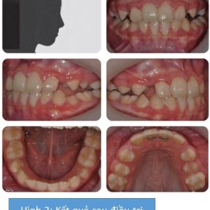
Kết quả được thể hiện ở hình 2.
Nha khoa Bauman Clinic




