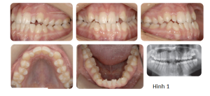
Phân tích case: Chỉnh nha tiền phẫu thuật cho bệnh nhân bị móm, hàm dưới đưa ra trước và lệch trái
Bệnh nhân có kiểu xương hạng III với thiểu sản xương hàm trên và xương hàm dưới đưa ra trước, lệch nhẹ sang bên trái. Bệnh nhân có tăng kích thước dọc, với độ lộ răng cửa tối thiểu ở tư thế nghỉ và lộ hoàn toàn khi cười. Đưa xương hàm trên ra trước sẽ giải quyết được tình trạng lõm mặt khi nhìn nghiêng và kết quả là tăng độ lộ răng cửa nhiều hơn, cho thấy có thể cần tác động vào phần trước xương hàm trên. Lực tác động vào phần sau xương hàm trên (lớn hơn lực tác động vào phần trước, nghĩa là đẩy không đồng nhất) được yêu cầu để giải quyết độ cắn trùm giảm và xu hướng cắn hở phía trước (móm). Lùi xương hàm dưới kết hợp xoay sang bên phải sẽ giải quyết được tình trạng xương hàm dưới đang nhô ra và bất cân xứng.
Qua thăm khám, bác sĩ chỉ định bệnh nhân cần chỉnh nha trước phẫu thuật hàm. Và các mục tiêu điều trị chỉnh nha bao gồm:
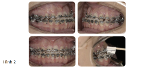
- Làm đều và làm phẳng các cung răng: Dàn đều răng bằng cách sử dụng dây cung đàn hồi ở thời điểm bắt đầu chỉnh nha tiền phẫu thuật. Làm phẳng cung răng thực hiện chủ yếu bằng dây cung SS (thép không gỉ).
- Phối hợp 2 cung răng: Đánh giá sự phối hợp 2 cung răng trong tương lai được thực hiện thông qua mẫu hàm nghiên cứu trước điều trị. Trong trường hợp này, phần nong rộng cần thiết ở cung răng trên có thể đạt được nhờ sử dụng dây cung bằng thép không gỉ hình chữ nhật.
- Làm mất bù trừ: Trong trường hợp này, cần làm mất bù trừ của cung hàm trên và hàm dưới để tạo ra độ cắn chìa âm phù hợp trước phẫu thuật và cho phép các dịch chuyển phẫu thuật mong muốn để hoàn toàn thúc đẩy sự thay đổi mong muốn trên gương mặt.
Việc làm mất bù trừ của cung hàm trên đòi hỏi phải dựng trục nhóm răng trước hàm trên. Điều này đạt được bằng cách nhổ các răng cửa bên hàm trên có kích thước nhỏ để tạo ra khoảng trống thích hợp. Ở cung hàm dưới, việc làm mất bù trừ đạt được bằng cách làm nghiêng ngoài các răng cửa hàm dưới.
- Duy trì đường giữa hàm dưới với đường giữa cằm: Trong trường hợp này, cung hàm dưới được điều trị không nhổ răng. Vì đường giữa hàm dưới trùng với cằm ở thời điểm bắt đầu chỉnh nha tiền phẫu thuật, nó được duy trì trong suốt giai đoạn làm phẳng và làm đều cung hàm dưới.
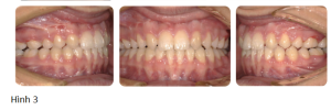
Kết quả cuối cùng được thể hiện ở hình 3.




