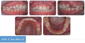
Phân tích case: Chỉnh nha thành công cho bệnh nhân có răng cửa khấp khểnh, độ cắn chìa lớn
Bệnh nhân nữ 9 tuổi có bộ răng hỗn hợp với sai khớp cắng hạng II tiểu loại I trên nền xương hạng II với tỉ lệ mặt theo chiều đứng trung bình. Cô bé lo ngại về vẻ ngoài các răng hàm trên. Sai khớp cắn phức tạp bởi độ cắn chìa tăng 9mm đối với R21.
Kế hoạch điều trị
- Khí cụ tháo lắp hàm trên để can thiệp giảm cắn chìa.
- Theo dõi sự phát triển của bộ răng sau này
Phân tích
Khí cụ tháo lắp làm giảm độ cắn chìa như thế nào?
Độ cắn chìa giảm đạt được nhờ kích hoạt cung môi hàm trên, những răng cửa hàm trên lùi lại do ngả sau sau. Do đó, cách điều trị này ngụy trang sai lệch xương bên dưới.
Việc giảm độ cắn chìa có khả năng ổn định nến các răng cửa hàm trên nằm trong sự kiểm soát của môi trên sau điều trị. Tuy nhiên, có thể cần điều trị trong thời gian lâu hơn để tinh chỉnh khớp cắn và tạo được torque răng cửa hàm trên tối ưu.




