1

Phân tích case: Chỉnh nha phẫu thuật cho bệnh nhân 17 tuổi đã từng nhổ bỏ răng khi điều trị trước kia

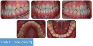
Bệnh nhân nữ 17 tuổi có sai lệch khớp cắn hạng III trên nền xương hạng III nhẹ với kích thước dọc tăng, phức tạp bởi cắn chìa đảo ngược và cắn chéo phía sau 2 bên. TRước đây bệnh nhân từng điều trị với việc nhổ bỏ 2 răng hàm nhỏ thứ nhất hàm trên.

Kế hoạch điều trị

  • Khí cụ edgewise sẵn thông số hàm trên và hàm trưới, không nhổ răng
  • Đưa hàm trên ra trước với phẫu thuật đánh lún không đồng bộ và đưa hàm dưới ra sau về hạng I
  • Duy trì lâu dài,

Tại sao các răng hàm nhỏ thứ nhất hàm trên lại bị nhổ bỏ trong gđ điều trị đầu tiên?

Các răng hàm nhỏ thứ nhất được nhổ để đem lại những khoảng trống phù hợp cho phép dàn thẳng các răng cửa hàm trên. Bác sĩ chỉnh trước đây rõ ràng đã cảm thấy việc lệch lạc khớp cắn của bệnh nhân đã nằm ngoài kế hoạch chỉnh nha đơn thuần. Do đó, các răng cửa hàm trên ngả ra ngoài quá nhiều là không mong muốn cho dù nó là sự ngụy trang cho những sai lệch xương ẩn bên dưới. Điều này sẽ giới hạn tầm ảnh hưởng của phẫu thuật và khả năng thay đổi gương mặt.

Dr Duy Thành

 

Bạn đã không sử dụng Site, Bấm vào đây để duy trì trạng thái đăng nhập. Thời gian chờ: 60 giây