Videos
Bs nha khoa Thùy Anh
6 năm trước
Chia sẻ
DÁN SỨ VENEER - CỨU CÁNH CHO HÀM RĂNG THƯA.
Ưu đãi Tết ngập tràn tại Nha Khoa Thuỳ Anh-------------------------------------Nha Khoa Thùy Anh có thể giúp bạn khắc phục hoàn toàn răng thưa chỉ sau 1 hoặc 2 buổi hẹn với chi phí phải chăng.❗Cam...
Bs nha khoa Thùy Anh
6 năm trước
Chia sẻ
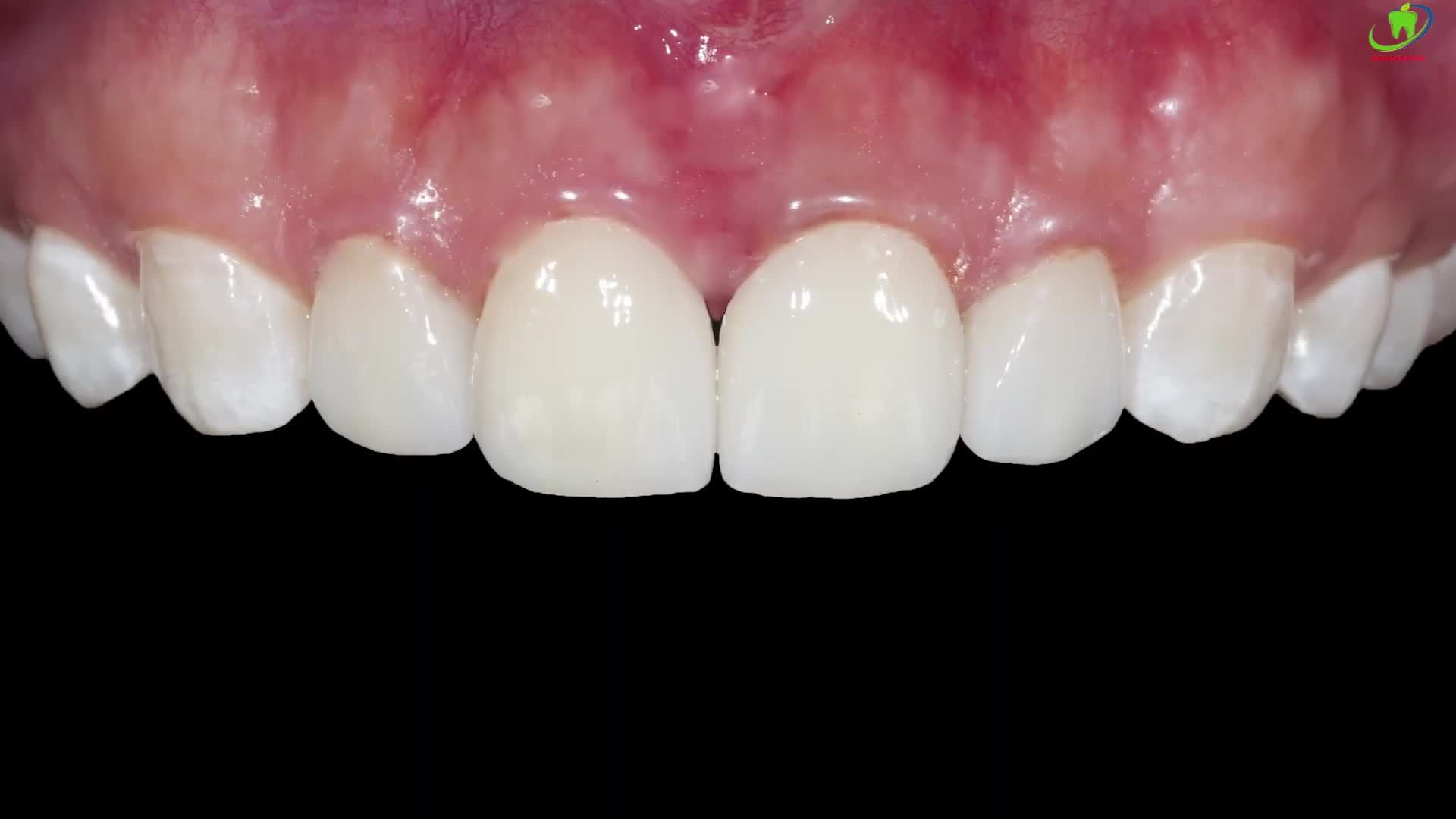
DÁN SỨ VENEER RẠNG RỠ DU XUÂN CÙNG NỤ CƯỜI ĐƯỢC THIẾT KẾ TẠI NHA KHOA THÙY ANH
Smile design: Dán 4 miếng sứ Veneer khắc phục khe thưa, hình thể răng xấu ? Mời quý bạn cùng xem nhé‼️Còn ngần ngại gì bạn không qua Nha Khoa Thùy Anh để trải nghiệm dịch vụ tại đây.Để...
Bs nha khoa Thùy Anh
6 năm trước
Chia sẻ
Gắn răng veneer cho chị Ngân tai Nha Khoa Thùy Anh.
Bác sĩ thực hiện: Hoàng Văn Hoan.------------Dán sứ veneer là một kỹ thuật trong phục hình răng sứ thẩm mỹ bảo tồn của nha khoa hiện đại. Phương pháp này không cần mài răng hoặc mài siêu mỏng chỉ từ...
Bs nha khoa Thùy Anh
6 năm trước
Chia sẻ
RĂNG XINH RỰC RỠ ĐÓN TẾT
Siêu khuyến mại - giảm đến 1triệu/mặt dán sứ+ Răng sứ không mài nhỏ răng+ Không lấy tủy răng+ Ăn nhai ngay không cần tập làm quen+ Màu sắc răng trắng sáng tự nhiênĐến với Nha...
Bs nha khoa Thùy Anh
6 năm trước
Chia sẻ
CẢI THIỆN RĂNG THƯA BẰNG PHƯƠNG PHÁP DÁN SỨ VENEER.
??? DÁN SỨ VENEER▪️ Răng đều đẹp, chắc khỏe, trắng bóng.▪️ Can thiệp vào mô răng là tối thiểu.▪️ Dán sứ siêu mỏng 0.3mm - 0.5mm.▪️ Mặt nạ hoàn hảo cho răng xấu.▪️ Đẹp tự...
Bs nha khoa Thùy Anh
6 năm trước
Chia sẻ
NHA KHOA THÙY ANH XÓA TAN KHE THƯA CHỈ SAU HAI BUỔI HẸN
Mặt dán sứ veneer đóng khe thưa tại Nha Khoa Thùy Anh, sự thay đổi khiến bạn hạnh phúc hơn.?Mặt dán sứ cải thiện thẩm mỹ hoàn hảo, bảo tồn tối đa mô răng thật, rút ngắn...
Bs nha khoa Thùy Anh
6 năm trước
Chia sẻ
XINH ĐẸP HƠN VỚI MIẾNG DÁN SỨ VENEER TẠI NHA KHOA THÙY ANH.
Chúng tôi đã hoàn thiện nụ cười mới cho Thu Thảo chỉ với những miếng dán sứ mỏng manh. Những sự khác biệt giúp bạn tự tin hơn, hạnh phúc hơn và rạng rỡ rất nhiều lần...Chúc bạn sẽ nhận được nhiều...
Bs nha khoa Thùy Anh
6 năm trước
Chia sẻ
DÁN SỨ VENEER - ƯU VIỆT, HIỆN ĐẠI - XINH ĐẸP.
??Hiện nay có nhiều phương án điều trị giúp bạn giảm thiểu các khuyết điểm trên nụ cười cũ. Trong số đó sử dụng mặt dán sứ veneer là một lựa chọn mang đến kết quả tương xứng hoàn hảo.?‼️ Mặt dán...
Bs nha khoa Thùy Anh
6 năm trước
Chia sẻ
Răng thưa, răng dị dạng sửa thế nào cho đẹp
???BẠN CÓ TỰ TIN VỀ NỤ CƯỜI CỦA MÌNH ??BẠN ĐÃ TÌM ĐƯỢC NHA KHOA ĐỂ GỬI NỤ CƯỜI CHƯA ???Bạn Thùy Linh trước đây:?Bạn luôn phải che khi cười?Không selfie vì mất tự tin? Luôn ý thức được nụ...
Bs nha khoa Thùy Anh
6 năm trước
Chia sẻ
DÁN SỨ VENEER AN TOÀN NGAY TẠI NHA KHOA THÙY ANH
Phương pháp dán sứ veneer là phương pháp phục hình thẩm mỹ răng bằng việc sử dụng một lớp sứ mỏng giống với răng thật dán trực tiếp lên bề mặt ngoài của răng của bạn✔️ Veneer - giải pháp khắc...
Bs nha khoa Thùy Anh
6 năm trước
Chia sẻ
DÁN SỨ VENEER - NÂNG TẦM NỤ CƯỜI THEO PHÒNG CÁCH MỚI
Chang My Phứ là một chàng trai đến từ mảnh đất Hà Giang xa xôi, đang theo đuổi đam mê tại trường Nhạc Viện ở Hòa Bình.Do mình đang sở hữu hàm răng thưa, hình thể răng không được đẹp nên khiến bạn rất...
Bs nha khoa Thùy Anh
6 năm trước
Chia sẻ
DÁN SỨ VENEER - BẬT MÍ SỞ HỮU NỤ CƯỜI HOÀN HẢO HƠN
Công nghệ mới Mặt dán sứ Veneer với độ mỏng 0.2 - 0.3 mm siêu mỏng, bảo tồn tối đa men răng và tủy răng.Thiết kế nụ cười bằng công nghệ Smile Design giúp bạn biết trước kết quả thay đổi hàm răng của...
Bs nha khoa Thùy Anh
6 năm trước
Chia sẻ
SỚM BIẾT LÀM RĂNG KHÔNG ĐAU VÀ ĐẸP NHƯ NÀY THÌ ĐÃ LÀM TỪ LÂU RỒI.
Đừng để hàm răng có khuyết điểm làm bạn mất tự tin, ngại giao tiếp, ngại bắt chuyện với người khác.DÁN SỨ VENEER ĐANG LÀ SỰ LỰA CHỌN HÀNG ĐẦU.-----------------▪️ Răng đều đẹp, chắc khỏe, trắng...
Bs nha khoa Thùy Anh
6 năm trước
Chia sẻ
NỤ CƯỜI THÊM XINH SAU KHI DÁN SỨ VENEER
? Theo quan niệm dân gian, hàm răng thưa ngoài việc gây ảnh hưởng xấu đến khả năng ăn nhai và tính thẩm mỹ của khuôn mặt, nó còn có liên quan rất lớn đến tính cách và cuộc đời của chủ sở...
Bs nha khoa Thùy Anh
6 năm trước
Chia sẻ
DÁN SỨ VENEER - BÍ KÍP SỞ HỮU NỤ CƯỜI RẠNG RỠ
Mặt dán sứ Veneer là phương pháp phục hình tiên tiến và hiện đại nhất hiện nay, đang dần dần thay thể các phương pháp phục hình truyền thống.Thực hiện đóng khe thưa giữa các răng, cải thiện hình dạng...
Bs nha khoa Thùy Anh
6 năm trước
Chia sẻ
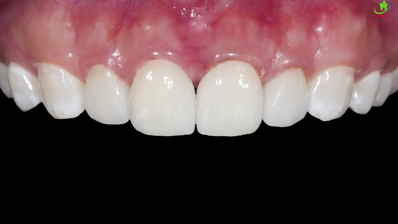
DÁN SỨ MỘT LẦN KẾT QUẢ VĨNH HẰNG
? Smile design: Dán 4 miếng sứ Veneer khắc phục khe thưa, hình thể răng xấu ? Mời quý bạn cùng xem nhé
Bs nha khoa Thùy Anh
6 năm trước
Chia sẻ
Khi một người xinh đẹp bỗng một hôm bị chê hơi xấu thì òa ra khóc nức nở.
Và có một người không được xinh đẹp lắm cũng khóc khi được khen xinh hơn trước đây.--------------------Chúng ta không thể tự chọn cho mình một hình hài từ khi mới sinh ra, nhưng chúng ta được quyền...
Bs nha khoa Thùy Anh
6 năm trước
Chia sẻ
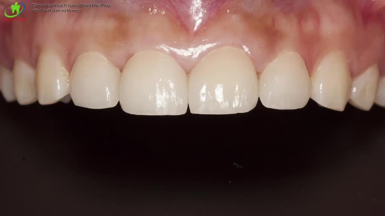
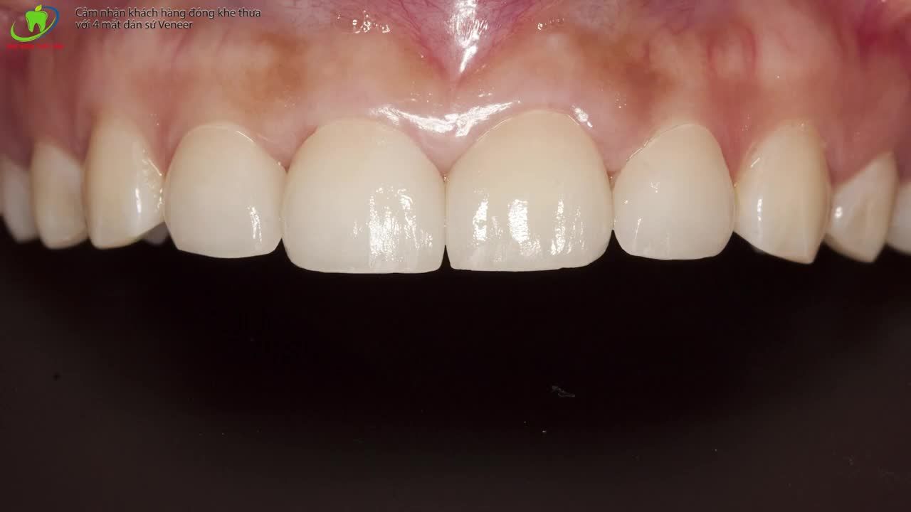
CHỈ VỚI 4 MẶT DÁN SỨ VENEER TẠO RA NỤ CƯỜI HOÀN HẢO HƠN
?Theo quan niệm dân gian, hàm răng thưa ngoài việc gây ảnh hưởng xấu đến khả năng ăn nhai và tính thẩm mỹ của khuôn mặt, nó còn có liên quan rất lớn đến tính cách và cuộc đời của chủ sở hữu.? Với...
Bs nha khoa Thùy Anh
6 năm trước
Chia sẻ
DÁN SỨ VENEER CHO NỤ CƯỜI TẠO NÊN VẺ ĐẸP KHÔNG TUỔI
??? DÁN SỨ VENEER▪️ Răng đều đẹp, chắc khỏe, trắng bóng.▪️ Dán sứ siêu mỏng 0.03-0.05mm.▪️ Can thiệp vào mô răng là tối thiểu▪️ Mặt nạ hoàn hảo cho răng xấu.▪️ Đẹp tự...
Bs nha khoa Thùy Anh
6 năm trước
Chia sẻ
TỰ TIN TỎA SÁNG VỚI NỤ CƯỜI ĐƯỢC CHẾ TÁC TẠI NHA KHOA THÙY ANH
Sứ Veneer mặt nạ hoàn hảo cho răng:▪️ Răng đều đẹp, chắc khỏe, trắng bóng.▪️ Dán sứ siêu mỏng 0.3mm - 0.5mm.▪️ Mặt nạ hoàn hảo cho răng xấu.▪️ Đẹp tự nhiên, đảm bảo ăn...
Bs nha khoa Thùy Anh
6 năm trước
Chia sẻ
Trực tiếp gắn cố định 2 mặt dán sứ veneer cho chị khách hàng tại Nha Khoa Thuỳ Anh.
Sứ Veneer mặt nạ hoàn hảo cho răng:▪️ Răng đều đẹp, chắc khỏe, trắng bóng.▪️ Dán sứ siêu mỏng 0.3mm - 0.5mm.▪️ Mặt nạ hoàn hảo cho răng xấu.▪️ Đẹp tự nhiên, đảm bảo ăn...
Bs nha khoa Thùy Anh
6 năm trước
Chia sẻ
Cười tự tin sau khi làm răng tại Nha Khoa Thùy Anh.
Thực hiện dán sứ veneer cải thiện răng thưa và hình thể không cân đối.Thông tin đầy đủ về dán sứ veneer: https://nhakhoathuyanh.com/dan-su-veneer-phuong-phap-tham-…/????????? DÁN SỨ...
Bs nha khoa Thùy Anh
6 năm trước
Chia sẻ
Dán sứ veneer luôn đem đến sự hài lòng cho người sử dụng.
Vì sao veneer lại hoàn hảo đến vậy?Hãy ghé qua bài viết này nhé:https://nhakhoathuyanh.com/dan-su-veneer-phuong-phap-tham-…/-----------------------------Tại Nha Khoa Thùy Anh làm răng sứ thẩm mỹ bạn...
Bs nha khoa Thùy Anh
6 năm trước
Chia sẻ
Răng thưa khắc phục bằng mặt dán sứ veneer.
Bạn Hạnh có tình trạng bị thưa răng cửa và bạn đã quyết định Dán sứ veneer để khắc phục khiếm khuyết đấy.??? DÁN SỨ VENEER▪️ Răng đều đẹp, chắc khỏe, trắng bóng.▪️ Dán sứ siêu mỏng...
Bs nha khoa Thùy Anh
6 năm trước
Chia sẻ
Tuyệt vời với phương pháp dán sứ KHÔNG MÀI RĂNG khắc phục khe thưa chỉ trong 3 ngày
Nguồn: Nha khoa Thùy Anh
Bs nha khoa Thùy Anh
6 năm trước
Chia sẻ
Hỏi nhanh đáp gọn - Nên bọc răng sứ hay mặt dán sứ Veneer?
Nguồn: Nha khoa Thùy Anh
Bs nha khoa Thùy Anh
6 năm trước
Chia sẻ
Phân tích ca lâm sàng - Khắc phục khe thưa cho bạn Lê Nga tại Thái Nguyên
Nguồn: Nha khoa Thùy Anh
Bs nha khoa Thùy Anh
6 năm trước
Chia sẻ
DÁN SỨ VENEER KHẮC PHỤC RĂNG THƯA HÌNH THỂ XẤU TẠI NHA KHOA THÙY ANH
Nguồn: Nha khoa Thùy Anh
Bs nha khoa Thùy Anh
6 năm trước
Chia sẻ
Procedure Show - Quy trình gắn mặt dán sứ Veneer sửa răng thưa
Nguồn: Nha khoa Thùy Anh




