Videos
Bs nha khoa Thùy Anh
1 tháng trước
Chia sẻ
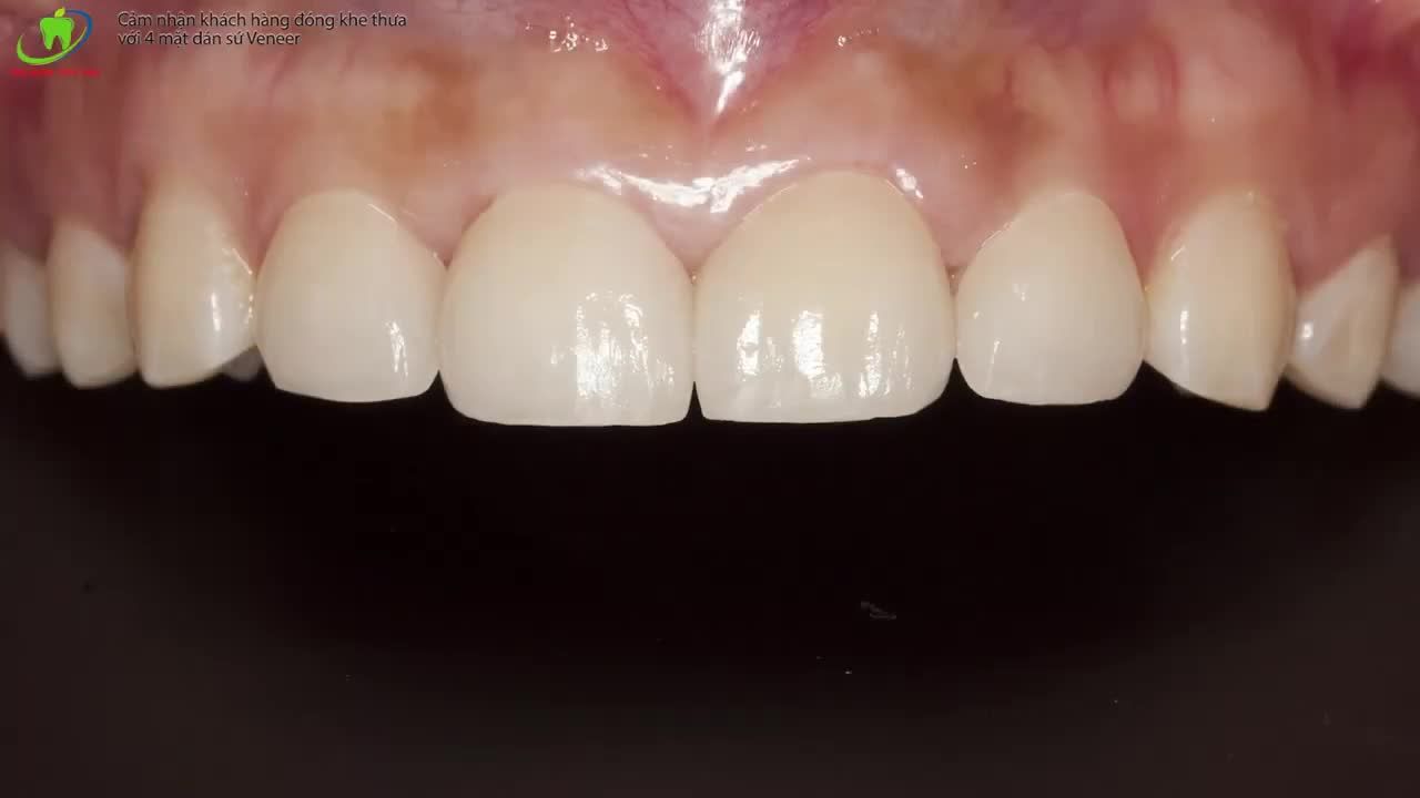
KHÉP KHE THƯA – NÂNG CẤP NỤ CƯỜI NAM TÍNH
Khe thưa răng cửa được xử lý gọn gàng bằng dán sứ veneer, giúp nụ cười trông liền mạch, tự nhiên và gọn gàng hơn.Không trắng giả, không lộ, hạn chế mài răng>> Chỉ đơn giản là nhìn sáng hơn, chỉnh chu...
Bs nha khoa Thùy Anh
8 tháng trước
Chia sẻ
DÁN SỨ VENEER - GIẢI PHÁP HOÀN HẢO CHO NỤ CƯỜI CỦA BẠN
Nụ cười là thứ ai cũng có, nhưng không phải ai cũng đủ tự tin để bộc lộ. Với chị Hoa, răng nhiễm màu đã trở thành rào cản khiến nụ cười vốn dĩ rất duyên của chị bị che giấu suốt nhiều năm.Với sự phát...
Bs nha khoa Thùy Anh
9 tháng trước
Chia sẻ
SỢ ĐAU, SỢ MÀI RĂNG VÀ GIẢI PHÁP DÁN SỨ VENEER XÂM LẤN TỐI THIỂU CHO NỤ CƯỜI TỎA SÁNG
Làm việc trong ngành bất động sản, chị Hoa luôn cần xuất hiện với nụ cười chuyên nghiệp, tự tin khi gặp gỡ khách hàng. Thế nhưng, hàm răng xỉn màu, ố vàng lâu năm đã khiến chị e ngại, ảnh hưởng không...
Bs nha khoa Thùy Anh
10 tháng trước
Chia sẻ
RĂNG SỨ VÀ DÁN SỨ VENEER – CHỌN SAO CHO ĐÚNG?
Xu hướng nha khoa hiện đại là bảo tồn răng thật tối đa, và dán sứ Veneer đang nổi lên như một giải pháp thẩm mỹ được ưa chuộng nhờ xâm lấn cực ít – thậm chí có thể không cần mài răng.Tuy nhiên, không...
Bs nha khoa Thùy Anh
1 năm trước
Chia sẻ
RĂNG SỨ VENEER - THỜI ĐẠI THỜI THƯỢNG
Xu hướng thẩm mỹ nụ cười bằng răng sứ không mài nhỏ răng của người hiện đại. Xem thêm mặt dán sứ veneer Tạo nên nụ cười thời thượng: Đều đẹp, trắng trong tự nhiên, sang trọng.Độc quyền tại nha khoa...
Bs nha khoa Thùy Anh
3 năm trước
Chia sẻ
RĂNG SỨ THẾ HỆ MỚI - KHÔNG MÀI NHỎ RĂNG
BẢO HÀNH 19 NĂMCÙNG BÁC SĨ THẨM MỸ NỤ CƯỜI TOP I Không mài nhỏ - Không đau - Không điều trị tủy. Tái tạo khớp cắn một cách chuẩn xác, giúp ăn nhai chắc khỏe và vệ sinh răng miệng dễ dàng hơn. Thiết kế...
Bs nha khoa Thùy Anh
3 năm trước
Chia sẻ
DÁN 20 RĂNG SỨ VENEER XỬ LÝ RĂNG NHIỄM MÀU, HÌNH THỂ KHÔNG ĐỀU
>> Răng trắng sáng - đẹp tự nhiên sau 2 buổi hẹn Giảm tới 30% Giảm thêm 1.420k cho các cặp đôi Giảm thêm 10% cho khách hàng đơn lẻ Tặng gói thiết kế nụ cười AI DSD Bảo hành tới 19 năm>> Inbox tình...
Bs nha khoa Thùy Anh
3 năm trước
Chia sẻ
LÀM RĂNG SỨ KHÔNG MÀI NHỎ RĂNG
Răng đẹp đón tết sau 2 buổi hẹn OFF 50% phí làm răng sứ, răng toàn sứ chỉ từ 1.5TR Trợ giá thêm 5% trong dịp tết Tặng gói thiết kế nụ cười AI DSD Hỗ trợ trả góp 0 lãi suất Công nghệ AI DSD - Thiết kế...
Bs nha khoa Thùy Anh
3 năm trước
Chia sẻ
DÁN SỨ VENEER 18 RĂNG - GIẢI CỨU HÀM RĂNG NHIỄM MÀU NẶNG
Một nụ cười tươi, rạng rỡ nở trên môi sẽ đem lại nhiều niềm vui, hạnh phúc, lan toả năng lượng tích cực tới cho bạn và cả những người xung quanh. Với 18 mặt dán sứ veneer cao cấp, màu sắc trắng trong...
Bs nha khoa Thùy Anh
3 năm trước
Chia sẻ
HẾT KHE THƯA - TỰ TIN HƠN TRONG CUỘC SỐNG
Chỉ với 2 lần hẹn, bạn khách hàng của chúng tôi đã khắc phục hoàn toàn tình trạng thưa răng cửa bằng phương pháp dán sứ Veneer, giúp bạn trở nên tự tin hơn trong việc giao tiếp với mọi người xung...
Bs nha khoa Thùy Anh
3 năm trước
Chia sẻ
Bs nha khoa Thùy Anh
4 năm trước
Chia sẻ
ĐỘ RĂNG VỚI MẶT DÁN SỨ VENEER CAO CẤP
Khe thưa răng cửa Hình thể răng thiếu hài hoà Men răng có những bợt trắng làm màu sắc răng mất thẩm mỹNhững khuyết điểm tưởng như nhỏ nhặt này lại góp phần tạo nên một nụ cười không hoàn hảo, làm giảm...
Bs nha khoa Thùy Anh
4 năm trước
Chia sẻ
Gắn Veneer cố định khắc phục tình trạng răng thưa cho chị khách hàng tại Nha Khoa Thuỳ Anh.
Răng thưa khiến bạn mất tự tin Không dám nói cười, ngại giao tiếpDán sứ Veneer - phương án giúp bạn xoá sổ toàn bộ khe thưa với ưu điểm: Mặt sứ siêu mỏng chỉ 0.3 - 0.5mm, chỉ cần mài rất ít hoặc không...
Bs nha khoa Thùy Anh
4 năm trước
Chia sẻ
DÁN SỨ VENEER CÓ GIÁ BAO NHIÊU
Dán sứ veneer là phương pháp phục hình thẩm mỹ răng bằng việc sử dụng một lớp sứ mỏng giống với răng thật dán trực tiếp lên bề mặt ngoài của răng của bạn. Giúp bạn cải thiện tình trạng răng:- Răng...
Bs nha khoa Thùy Anh
5 năm trước
Chia sẻ
ĐÁNH BAY RĂNG THƯA - TÌM LẠI NỤ CƯỜI TỰ TIN VỚI DÁN SỨ VENEER
Anh H. V. C bị khe thưa 2 răng cửa hàm trên. Nhờ tìm hiểu và bạn bè giới thiệu, anh quyết định thực hiện dán sứ veneer tại Nha Khoa Thùy Anh.Với sự tận tâm, nhiệt tình, đội ngũ Nha Khoa Thùy Anh đã...
Bs nha khoa Thùy Anh
5 năm trước
Chia sẻ
TẠM BIỆT HÀM RĂNG XỈN MÀU CHỈ SAU 72H VỚI DÁN SỨ VENEER
Giải pháp làm răng sứ không mài răng toàn diện- Mặt sứ siêu mỏng chỉ 0.3 - 0.5mm.- Sứ veneer được chế tạo bằng công nghệ CAD/CAM Sirona của Đức với khả năng chịu lực gấp 4 lần răng thật.- Độ chân thật...
Bs nha khoa Thùy Anh
5 năm trước
Chia sẻ
THAY ĐỔI NỤ CƯỜI, TỰ TIN GIAO TIẾP
Bạn muốn thẩm mỹ răng sứ nhưng không muốn mài nhỏ răng, giải pháp dán sứ Veneer sẽ đem lại sự hài lòng cho bạn: Bảo tồn tối đa răng gốc, không lấy tuỷ răng Đẹp tự nhiên, không gây viêm lợi, hôi...
Bs nha khoa Thùy Anh
5 năm trước
Chia sẻ
Ca gắn 2 mặt dán sứ veneer khắc phục tình trạng răng thưa cho khách hàng.
DÁN SỨ VENEER Màu sắc như răng thật Can thiệp vào mô răng là tối thiểu Độ mỏng miếng dán 0.3 mm Bảo hành 10 năm Răng đều đẹp, chắc khỏe, trắng bóng. Dán sứ siêu mỏng 0.3mm - 0.5mm. Mặt nạ hoàn hảo cho...
Bs nha khoa Thùy Anh
5 năm trước
Chia sẻ
Bs nha khoa Thùy Anh
5 năm trước
Chia sẻ
ĐỪNG NGẠI THAY ĐỔI NẾU ĐIỀU ĐÓ GIÚP BẠN TRỞ NÊN TỐT HƠN
Hoàn thiện nụ cười, khép kín khe thưa cho Hoàng Anh chỉ với 2 lần hẹn, giúp cô trở nên tự tin hơn trong giao tiếp, công việc cũng thuận lợi hơn khi Hoàng Anh đi gặp gỡ đối tác, khách hàng. Đừng ngại...
Bs nha khoa Thùy Anh
5 năm trước
Chia sẻ
DÁN SỨ VENEER - THẨM MỸ RĂNG KHÔNG MÀI NHỎ RĂNG
Tự tin - An toàn - Hiệu quảSứt mẻ việc răng cửa khiến việc ăn nhai trở nên khó khăn hơn, không chỉ vậy điều đó còn khiến bạn mất tự tin, ngại giao tiếp và cản trở tới những mối quan hệ xung quanh của...
Bs nha khoa Thùy Anh
5 năm trước
Chia sẻ
Dán sứ veneer cho bạn khách hàng tại Nha Khoa Thuỳ Anh.
DÁN SỨ VENER: Răng đều đẹp, chắc khỏe, trắng bóng. Can thiệp vào mô răng là tối thiểu. Dán sứ siêu mỏng 0.3mm - 0.5mm. Mặt nạ hoàn hảo cho răng xấu. Đẹp tự nhiên,...
Bs nha khoa Thùy Anh
5 năm trước
Chia sẻ
DÁN SỨ VENEER ƯU ĐÃI ĐẾN 2 TRIỆU/RĂNG CHỈ ĐẾN HẾT 31/3
Mặt dán sứ veneer: Răng đều đẹp, chắc khỏe, trắng bóng. Can thiệp vào mô răng là tối thiểu. Dán sứ siêu mỏng 0.3mm - 0.5mm. Mặt nạ hoàn hảo cho răng xấu. Đẹp tự nhiên, đảm bảo ăn nhai tốt.Điều gì...
Bs nha khoa Thùy Anh
5 năm trước
Chia sẻ
SỞ HỮU NỤ CƯỜI ĐẸP, ĐỀU ĐẶN, TỰ TIN ĐÓN TẾT VỀ
Tết đến xuân sang, sở hữu nụ cười chuẩn mực thẩm mỹ, đậm nét phú quý. Bạn đã sẵn sàng thay đổi nụ cười cùng với Nha Khoa Thuỳ Anh chưa? Giảm 40% + 500k phí làm răng sứ thẩm mỹ Bảo hành lên tới 15 năm...
Bs nha khoa Thùy Anh
5 năm trước
Chia sẻ
ĐÓN TẾT TÂN SỬU RƯỚC LỘC VỀ NHÀ
Giải pháp dán sứ veneer khắc phục hoàn toàn tình trạng: Răng thưa, sứt mẻ Hình thể răng không đều Màu sắc răng xỉn màu, ố vàng.Dưới đây là cảm nhận của chị Hường sau khi thực hiện dán sứ veneer tại...
Bs nha khoa Thùy Anh
5 năm trước
Chia sẻ
TẾT RỒI LÀM RĂNG MỚI ĐÓN TẾT THÔI
Tết đến xuân về là dịp để chúng ta sum họp, vui chơi sự tự tin thoải mái giúp mọi người sát lại gần nhau hơn.Nếu bạn có khiếm khuyết trên hàm răng chúng tôi có thể giúp bạnĐóng lại toàn bộ khe...
Bs nha khoa Thùy Anh
5 năm trước
Chia sẻ
THÁO MẮC CÀI DÁN SỨ THẨM MỸ NỤ CƯỜI HOÀN HẢO ĐÓN TẾT TÂN SỬU
Chị H.T.Hiền hoàn thành quá trình hơn 2 năm niềng răng móm và thực hiện dán sứ 17 răng thay đổi toàn bộ nụ cười.Cùng theo dõi kết quả sau cùng của chị qua video dưới đây nhé.Dán sứ veneer được coi là...
Bs nha khoa Thùy Anh
5 năm trước
Chia sẻ
DÁN SỨ VENEER THAY ĐỔI NỤ CƯỜI CHÀO ĐÓN NĂM MỚI
Hoàn tất quá trình điều trị chỉ sau 2 buổi hẹn với bác sĩ tại Nha Khoa Thuỳ Anh, nụ cười của chị Hường đã trở nên rạng rỡ hơn bao giờ hết.Hãy thay đổi nụ cười để năm mới của bạn được trọn vẹn hơn nhé!...
Bs nha khoa Thùy Anh
5 năm trước
Chia sẻ
HÃY THAY ĐỔI NỤ CƯỜI CỦA BẠN ĐỂ ĐÓN MỘT NĂM MỚI RẠNG RỠ HƠN
Giảm tới 30% +500k phí làm răng sứ thẩm mỹ 50 suất thăm khám và thiết kế nụ cười MIỄN PHÍDù chỉ là một khiếm khuyết nhỏ của hàm răng thôi nhưng lại khiến nụ cười của bạn trở nên kém phần quyến rũ và...
Bs nha khoa Thùy Anh
5 năm trước
Chia sẻ
ĐÓN XUÂN RỘN RÀNG VỚI NGÀN ƯU ĐÃI
Bạn mất niềm tin, lo sợ làm răng sứ xong bị viêm lợi, hôi miệng, ăn nhai kênh cộm...? Thẩm mỹ dán sứ Veneer tại Nha Khoa Thuỳ Anh, chúng tôi đảm bảo:- Nguồn vật liệu đầu vào đảm bảo chất lượng,...




