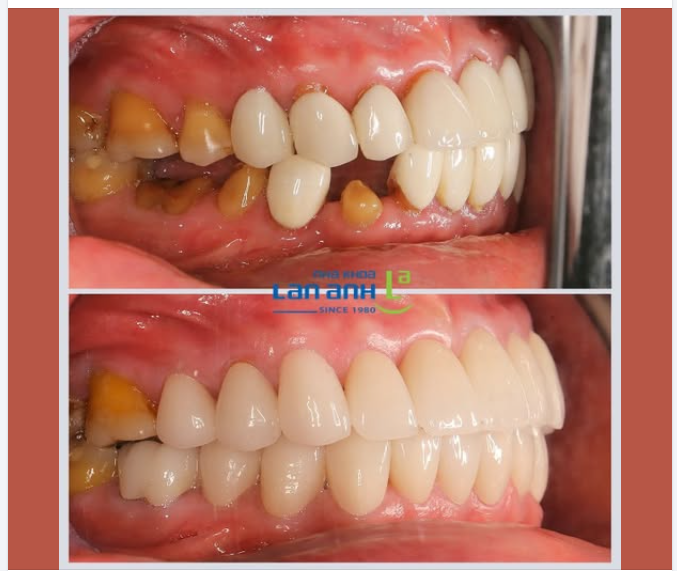
Răng sứ làm kỹ thuật cũ, dễ bị bể mẻ mà hay nhồi nhét thức ăn lắm ạ, nhìn hình so sánh răng sứ làm tại nha khoa Lan Anh là thấy khác biệt ạ
Xem thêm bọc răng sứ
Làm trắng răng tại nhà và tẩy trắng răng tại phòng khám nha khoa
Phương pháp nào có hiệu quả tẩy trắng răng cao hơn?
Tại sao phải đến phòng khám nha khoa để tẩy trắng răng?
Theo như tổ chức CCTW - Council for Cosmetic Teeth Whitening thì: - Khách hàng sẽ không gặp phải bất kì rủi ro nào khi tự tiến hanh tẩy trắng răng - Các phương pháp tẩy trắng răng tại nhà không cần đến sự hỗ trợ của bác sĩ - Khách hàng có quyền tẩy trắng răng theo cách mà họ muốn Hơn nữa, hiện nay nhiều người không có khả năng chi trả cho các phương pháp tẩy trắng răng được thực hiện bởi bác sĩ hoặc không muốn phải dành ra một thời gian quá dài để tẩy trắng răng tại phòng khám. Vậy thì tại sao lại phải tìm đến các phòng khám nha khoa để tẩy trắng răng?
Liệu điều trị sâu răng/nhiễm trùng nha khoa có thể gây nhiễm trùng cho goretex nâng mũi không?
Bị sâu răng cần điều trị tủy răng nhưng lại không điều trị trước mà thực hiện nâng mũi bằng goretex trước sau đó mới điều trị tủy răng thì có nguy cơ răng bị sâu/nhiễm trùng ảnh hưởng đến vật liệu nâng mũi không?
Nhét tất cuộn tròn vào áo ngực giúp định hình bầu ngực và tạo khe ngực?
Chào bác sĩ, sau khi phẫu thuật nâng ngực bác sĩ của tôi khuyên nên nhét tất cuộn tròn vào bên dưới áo ngực để giúp định hình bầu ngực. Ngực của tôi rất nhỏ, da và cơ bây giờ rất chặt. Bác sĩ bảo làm như thế sẽ giúp các khối cơ giãn lỏng ra, định hình bầu ngực và tạo khe ngực như tôi mong muốn.
Một trong những câu hỏi được rất nhiều người đưa ra là: Nha sĩ bình thường có thể tiến hành niềng răng trong suốt Invisalign không, hay phải cần bác sĩ chỉnh nha?
Liệu có khi nào bị suy giãn tĩnh mạch mà không nhìn thấy những mạch máu này hay không?
Làm đẹp với nha đam! Khám phá cách chăm sóc da hiệu quả với nha đam - nguồn dưỡng chất tự nhiên giàu vitamin và khoáng chất. Tận hưởng làn da mềm mại, sáng bóng và khỏe mạnh với các phương pháp chăm sóc da đơn giản
Những người quan tâm đến cấy tóc và đang tìm kiếm thông tin có thể biết rằng có hai loại cấy tóc, cấy tóc FUE và cấy tóc FUT, và bạn có thể tự hỏi sự khác biệt giữa cấy tóc FUE và FUT là gì? Cấy tóc loại nào tốt hơn? Và tiêu chí để lựa chọn là gì?
Nhờ những tiến bộ về công nghệ như hình ảnh 3D, toàn bộ quá trình chẩn đoán và nắn chỉnh răng sẽ trở nên thoải mái, nhanh chóng và chính xác hơn bao giờ hết.






