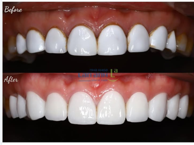
Răng sâu vỡ lớn được phục hình lại tại nha khoa Lan Anh đây ạ, nhìn không biết đâu là răng sứ luôn ạ
Xem thêm bọc răng sứ
Có thể khắc phục được tình trạng răng chen chúc xô lệch mà không cần nhổ răng không?
Tôi 23 tuổi và đang cân nhắc đến việc niềng răng để khắc phục tình trạng răng mọc khấp khểnh. Tôi đã đến gặp hai bác sĩ nha khoa thẩm mỹ và họ đều nói là cần phải nhổ răng nhưng tôi lại không muốn vậy. Hàm dưới của tôi gần như hoàn hảo nhưng tôi có tật nghiến răng vào ban đêm. Vậy tôi muốn hỏi là có thật sự cần phải nhổ răng hay không?
Niềng răng trong suốt Invisalign có khắc phục được khớp cắn sâu không?
Niềng răng trong suốt Invisalign có hiệu quả với khớp cắn sâu và răng hô không?
Niềng răng trong suốt invisalign có thể khắc phục được vấn đề khớp cắn chéo phía sau không?
Niềng invisalign có thể khắc phục được vấn đề khớp cắn chéo phía sau không?
Mài kẽ răng có khắc phục được khớp cắn sâu không?
Trước đây tôi đã từng niềng răng rồi nhưng vẫn chưa chữa được hết vấn đề khớp cắn sâu và hai răng cửa của tôi cũng to nữa. Liệu giờ mà mài bớt răng đi thì có khắc phục được vấn đề không?
Răng quá khấp khểnh có dán sứ veneer được không?
Liệu răng quá khấp khểnh thì có dán sứ veneer để răng đều và đẹp hơn không?
Khi già đi, cho dù là có sinh con hay không thì một số phụ nữ cũng sẽ phát triển da và mỡ thừa quanh vùng bụng.
Ngày nay, niềng trong suốt Invisalign là một giải pháp kín đáo, hiệu quả và tiết kiệm thời gian dành cho những người muốn có một hàm răng thẳng hơn, đặc biệt là người trưởng thành.
Khi nói đến việc niềng răng trong suốt Invisalign thì tuổi tác bao nhiêu cũng không thành vấn đề vì không có giới hạn tuổi đối với người dùng.
Nhiều người không biết rằng hàm răng khấp khểnh không chỉ ảnh hưởng đến vẻ ngoài của một người mà còn có những tác động tiêu cực đến sức khỏe nữa.
Bên cạnh một nụ cười đẹp, việc niềng răng cho trẻ nhỏ sẽ đem lại những lợi ích mà bạn chưa hề nghĩ đến ví dụ như kết quả ổn định hơn, cải thiện tình trạng sức khỏe tổng thể và tăngsự tự tin cho trẻ.










