Blog chuyên gia
Các bài viết của bác sĩ và phòng khám thẩm mỹ
NÂNG MŨI CHUẨN Y KHOA - ĐẸP HÀI HOÀ MỌI GÓC ĐỘ
Với quy trình Nâng mũi sạch khuẩn tại Thu Cúc, KH sẽ được trải nghiệm môi trường làm đẹp an toàn - sạch khuẩn tối đa, đảm bảo tuân thủ theo đúng quy tắc 5K của...
HÔ, MÓM, RĂNG LỆCH LẠC HOẶC KẾT HỢP NHIỀU VẤN ĐỀ
... thì ???̛̀? ???? ???̂̀?? ??̆?? ??́ ???́? ???? ??? ???̂??? Trước hết, chúng ta cùng xem qua 4 ca lâm sàng chỉnh nha tại Peace Dentistry với các bạn có độ...
Khách hàng trên 50 tuổi đến Peace Dentistry
?? ??̂? ??̀??: ???? ??̂̀? ??̆?? ??̛́ ??̆̀?? ??????? → ???̂? ???̣? ???̣? ??̣? ??̛́? ???? & ??̉? ????̣̂? ???̂̉? ??̃ ??̣ ??̛?̛̀? (???????: ????????? ??? ??? -...
CÁC LOẠI MẮC CÀI NIỀNG RĂNG & CHỈNH NHA INVISALIGN TẠI PEACE DENTISTRY
(???? ?? ?????? ??? ?????????? ????????? ?? ????? ?????????) - English below Chỉnh nha niềng răng là một dịch vụ nha khoa ưu việt được chỉ định cho các...
CHỈ TỪ 899K - DỄ DÀNG TRIỆT SẠCH NÁM TÀN NHANG AN TOÀN CÙNG CÔNG NGHỆ HÀNG ĐẦU THẾ GIỚI
Tàn nhang chỉ cần 1 lần Nám mờ tới 95% sau buổi thứ 3 Hàng ngàn phụ nữ ngỡ ngàng trước gương khi các nốt hắc sắc tố bỗng chốc biến mất, da sáng mịn rõ...
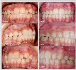
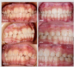
Ca lâm sàng: chỉnh nha mắc cài hoàn thành sau 20 tháng (Khách hàng nữ: 14 tuổi)
CHẨN ĐOÁN CHÍNH: ??̆?? ???? ???́? | ??̆́? ???̛?̛̣? ??? | ??̣̂?? đ?̛?̛̀?? ???̛̃?... CHỈ ĐỊNH ĐIỀU TRỊ CHÍNH: Chỉnh nha mắc cài kim loại Thời gian...
Feedback từ khách hàng nhà Xuân Hương sau khi Cắt Mí Mắt Mini Deep.
Chỉ trong 1 lần thực hiện - Nhận ngay hiệu quả 3IN1 với dịch vụ cắt mí tại BVTM Xuân Hương! ✦ Đường cắt siêu mảnh, sử dụng chỉ vi phẫu khâu thẩm mỹ, không để...
Cấy thêm 2 Implant hàm trên, R16, R26, phục hình sau 2 tháng.
Ca lâm sàng ???-??-? ??????? (??) ???̣? ??̀?? ??̛́? ???̀ ??̛́? ??̀? ??????, kết hợp cấy 2 Implant (HT) (???????: ????????? ??? ???, ???? ?? ???????????) ...
Ca lâm sàng: điều chỉnh hình thể và màu răng bằng mặt sứ Veneer, mài răng tối thiểu
(????? ???????? - ?????? ?????? - ??? ?.??? ?????) TRƯỚC ĐIỀU TRỊ: ??̆?? ???̆́? | ??̉ ??̀? ??̆́? | ????̂́? ?????̂́? ??̂̀ ??̣̆? ??? ??̆?? | ??̆?? ??̣̂?...
TĂNG SIZE VƯỢT TRỘI CHỈ SAU 60 PHÚT
Cọc Online để giữ ngay giá GIẢM SÂU chỉ còn 38.9 Triệu. Nâng ngực mềm mại siêu tự nhiên Đăng ký ngay! Khách hàng Tường Vi - 21 tuổi đã "lột xác"...
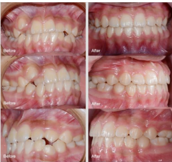
Ca lâm sàng - niềng răng chỉnh hô, tháo mắc cài sau hơn 18 tháng
TRƯỚC ĐIỀU TRỊ: Khách hàng 14 tuổi đến nha khoa với tình trạng hô từ đó làm cho khuôn mặt thiếu cân đối, răng 2 hàm nhô ra phía trước, gặp một số khó khăn trong...
PHẦN CẦN GẦY THÌ LẠI THỪA MỠ - PHẦN CẦN LÀM ĐẦY THÌ LẠI THIẾU MỠ Vậy Vì sao cấy mỡ tự thân được các bác sĩ khuyên dùng?
Trước tiên chúng ta cần hiểu rõ cấy mỡ tự thân là việc sử dụng mô mỡ của chính khách hàng, mỡ sau khi được hút ra phải trải qua quá trình chiết tách ly tâm để...
Khôi phục trọn vẹn chức năng ăn nhai và thẩm mỹ cho khách hàng lớn tuổi
Ca lâm sàng: ???-??-? ??????? (??) + ? ??????? ??̀ ??̂̀? ??̆?? ??̛́ (??) → VẤN ĐỀ CHÍNH YẾU: Khách hàng đến Peace Dentistry với tình trạng: ✓ Hàm trên:...
Ca lâm sàng chỉnh nha mắc cài hoàn thành sau hơn 20 tháng
Chẩn đoán chính: | ??̆? ???́? | ??̆?? ??̣? ??̣̂?? | ???? ???́?...làm ảnh hưởng rõ đến thẩm mỹ nụ cười, chức năng ăn nhai và phát âm. Chỉ định điều trị...
NÂNG MŨI XONG ĐEO KHẨU TRANG CÓ ĐƯỢC KHÔNG?
Trong thời điểm dịch bệnh nhạy cảm, nhiều khách hàng muốn tuân thủ nguyên tắc đeo khẩu trang nhưng lại lo sợ việc này có thể ảnh hưởng đến dáng mũi sau nâng...
Mỡ đùi nhiều làm cho đùi trở nên quá thô và to bè vừa gây ảnh hưởng tới yếu tố thẩm mỹ, vừa khiến chị em mất tự tin không dám diện những bộ váy ngắn, quần short.
>> Công nghệ Hút mỡ S Shape Body Jet đột phá giúp bạn loại bỏ mỡ thừa tại hầu hết các vùng trên cơ thể trong đó có vùng đùi, bắp chân. Giảm mỡ nhanh tức thì,...
SỰ HÀI LÒNG CỦA KHÁCH HÀNG LÀ THƯỚC ĐO GIÁ TRỊ NHẤT CHO CHẤT LƯỢNG DỊCH VỤ
Điều trị chuẩn mực, làm những gì tốt nhất mang lại sự hài lòng cho khách hàng. Và không ai khác, chính khách hàng là người đưa thương hiệu Peace Dentistry đến...
BẢO TỒN RĂNG TỰ NHIÊN TỐI ƯU
????̂́? ??̂́ ??̣ ??̛?̛̀? ??̛́? ?? ??̣̆? ??̛́ ?????? & ??̀? ??̆?? ??̂́? ????̂̉? (????? ???????? – ?????? ??????? – ??? ?.??? ????? ?????) ??̂́? ?̛? ??̂̀...
NGỰC ĐẸP CHỒNG CHÁN, CHỒNG, CHÊ. NÂNG NGỰC MỘT CÁI CHỒNG MÊ NGAY LIỀN
60p - Hết "Lép" - Căng tròn quyến rũ. Xem thêm nâng ngực Ưu đãi kép GIẢM SÂU chỉ còn 38.9 Triệu | TRẢ GÓP 0% lãi suất. Đăng ký giữ ưu đãi ngay hôm...
TRỒNG RĂNG 1 LẦN, ĂN NHAI TRỌN ĐỜI
Khi bị mất răng, chúng ta hoàn toàn có thể khôi phục lại 1 chiếc răng mới với cấu tạo hoàn chỉnh từ chân tới thân răng nhờ phương pháp cấy ghép Implant Siêu...





