Viêm tuyến tiền liệt do vi khuẩn - nam khoa penuma
1. ĐẠI CƯƠNG:
Viêm tuyến tiền liệt do vi khuẩn là một tình trạng đáp ứng viêm của tuyến tiền liệt kèm theo tình trạng nhiễm khuẩn đường tiết niệu.
Viêm tuyến tiền liệt là một chẩn đoán thường gặp trên lâm sàng ở đàn ông trẻ và trung niên nhưng < 10% số trường hợp là do nhiễm khuẩn
Phân loại viêm tuyến tiền liệt theo NIH:
Phân loại
- I : Viêm tuyến tiền liệt cấp do vi khuẩn
- II : Viêm tuyến tiền liệt mạn do vi khuẩn
- III : Viêm tuyến tiền liệt mạn không do vi khuẩn
- IIIA : Viêm tuyến tiền liện mạn không do vi khuẩn có phản ứng viêm
- IIIB : Viêm tuyến tiền liệt mạn không do vi khuẩn không có phản ứng viêm
- IV: Viêm tuyến tiền liệt không triệu chứng
Chi phí điều trị viêm tuyến tiền liệt tại Hoa Kỳ khoảng 84 triệu đô la ở năm 2000 và có xu hướng tăng dần theo thời gian
Tác nhân chính là Enterobacteriaceae, đặc biệt là E. coli trong viêm tuyến tiền liệt cấp. Viêm tuyến tiền liệt mạn tính có phổ vi khuẩn rộng hơn, bao gồm cả vi khuẩn không điển hình.
2. VIÊM TUYẾN TIỀN LIỆT CẤP DO VI KHUẨN:
Viêm tuyến tiền liệt cấp do vi khuẩn thường ở độ tuổi 20 – 40, đỉnh thứ 2 ở độ tuổi > 60. Nguyên nhân có thể do nhiễm khuẩn ngược dòng niệu đạo, nhiễm khuẩn trực tiếp thông qua việc can thiệp thủ thuật trên tuyến tiền liệt ( soi bàng quang hay sinh thiết tuyến tiền liệt) và nhiễm khuẩn trực tiếp từ đường máu (trong bối cảnh nhiễm khuẩn huyết hoặc lao). Một số yếu tố nguy cơ đã được ghi nhận bao gồm: quan hệ tình dục không an toàn (đặc biệt là quan hệ qua đường hậu môn), hẹp da quy đầu, đặt thông niệu đạo lưu, can thiệp thủ thuật qua đường niệu đạo và sinh thiết tuyến tiền liệt.
Tác nhân gây bệnh chủ yếu là E. coli (65-80%), các vi khuẩn gram âm khác: Pseudomonas aeruginosa, Proteus mirabilis, Klebsiella spp., Serratia spp., Enterococcus spp. chiếm khoảng 10%. Ở những bệnh nhân suy giảm miễn dịch có thể nhiễm các tác nhân như Staphylococcus aureus, Klebsiella pneumoniae, Salmonella typhi, Mycobacterium tuberculosis.
Có sự khác biệt về tác nhân gây bệnh ở các nhóm đối tượng
- Mắc phải ở cộng đồng so với bệnh viện: viêm tuyến tiền liệt do vi khuẩn ở bệnh viện tác nhân thường gặp vẫn là E.coli nhưng có sự tăng tần suất P. aeruginosa, S. aureus làm gia tăng tỷ lệ kháng thuốc và nguy cơ thất bại điều trị.
- Tự phát so với sau can thiệp thủ thuật đường tiết niệu dưới hay sinh thiết tuyến tiền liệt: sau can thiệp thủ thuật tăng tần suất nhiễm Pseudomonas spp., tăng nguy cơ abscess TTL; sau sinh thiết TTL nhiều khả năng nhiễm vi khuẩn sinh men ESBL
Bệnh nhân viêm tuyến tiền liệt cấp do vi khuẩn thường biểu hiện:
- Các triệu chứng của đường tiết niệu dưới như tiểu khó, tiểu gấp, tiểu nhiều lần
- Các triệu chứng tại chỗ: đau vùng tầng sinh môn, đau hậu môn
- Các triệu chứng toàn thân: sốt, lạnh run, vã mồ hôi, mệt mỏi, đau cơ, đau khớp
- Ngoài ra có thể kèm theo triệu chứng tiểu khó, bí tiểu do tuyến tiền liệt sưng to phù nề làm tắc nghẽn đường ra bàng quang.
- Khám hậu môn trực tràng có thể thấy tuyến tiền liệt to, ấn đau và ấm. Tuy nhiên việc massage tuyến tiền liệt không được khuyến cáo vì nguy cơ đẩy vi trùng vào máu gây nên tình trạng nhiễm khuẩn huyết.
Các cận lâm sàng cần thực hiện:
- Công thức máu
- Tổng phân tích nước niểu
- Chức năng thận
- Siêu âm bụng
- Cấy nước tiểu giữa dòng
- Cấy máu khi sốt > 38.5oC
- PSA trong bối cảnh viêm tuyến tiền liệt cấp thường tăng nên không được khuyến cáo thực hiện
Điều trị: viêm tuyến tiền liệt cấp điều trị chủ yếu là nội khoa, mục tiêu bao gồm giải quyết tình trạng nhiễm khuẩn cấp tính và ngăn ngừa diễn tiến viêm tuyến tiền liệt mạn tính loại II hay II.
Theo khuyến cáo của hội Niệu khoa châu Âu, điều trị viêm tuyến tiền liệt cấp do vi khuẩn nên được điều trị như một nhiễm khuẩn đường tiết niệu phức tạp. Kháng sinh nên được sử dụng theo đường toàn thân và có thể chuyển kháng sinh uống khi tình trạng lâm sàng cải thiện, duy trì 2 – 4 tuần nhằm ngăn ngừa tình trạng diễn tiến viêm tuyến tiền liện mạn, cấy nước tiểu lại sau 1 tuần điều trị.
Kháng sinh được lựa chọn: penicillin phổ rộng, cephalosporin thế hệ 3 hay flouroquinolone kèm theo aminoglycoside. Trong trường hợp bệnh nhân viêm tuyến tiền liệt sau sinh thiết tuyến tiền liệt thì không nên sử dụng flouroquinolone, thay vào đó có thể cân nhắc dùng carbapenem vì tỷ lệ nhiễm vi khuẩn sinh men kháng betalactamase phổ rộng (ESBL) cao.
Khoảng 10% viêm tuyến tiền liệt cấp sẽ có biểu hiện triệu chứng bí tiểu cần chuyển lưu nước tiểu. Phương pháp có thể lựa chọn bào gồm mở bàng quang ra da hay đặt thông niệu đạo lưu. Trước đây, mở bàng quang ra da được cho rằng sẽ làm giảm kích thích tuyến tiền liệt và nguy cơ nhiễm khuẩn huyết. Hiện nay, trong trường hợp chăm sóc ngắn hạn, đặt thông niệu đạo trong một khoảng thời gian ngắn có thể được thực hiện. Không phải tất cả tác giả đều ủng hộ việc này nhưng cho mục đích chuyển lưu nước tiểu dài hạn, mở bàng quang ra da sẽ được lựa chọn.
Có thể sử dụng kháng viêm không steroid có thể giúp giảm đau và giảm hiện tượng viêm. Nếu bệnh nhân có triệu chứng đường tiết niệu dưới, alpha blocker có thể có lợi ích.
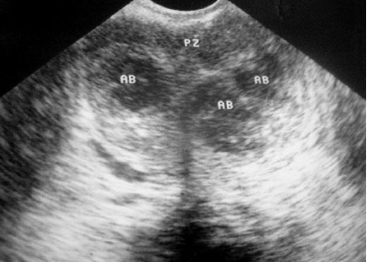
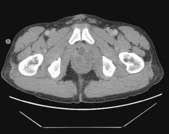
Abscess tuyến tiền liệt là một biến chứng của viêm tuyến tiền liệt cấp do vi khuẩn. Tỷ lệ abscess tuyến tiền liệt hiện nay rất thấp do việc sử dụng kháng sinh thích hợp. Cần nghĩ đến khi bệnh nhân có tiền căn đái tháo đường, HIV hay điều trị kháng sinh ban đầu không đáp ứng sau 48h. Để chẩn đoán xác định cần thực hiện các phương tiện chẩn đoán hình ảnh như siêu âm qua ngã trực tràng và CT scan. Dấu hiệu của abscess trên siêu âm là hình ảnh vùng echo kém. CT scan sẽ cung cấp chính xác vị trí, kích thước ổ abscess để hỗ trợ trong việc lên kế hoạch điều trị cũng như xác định có tổn thương lan rộng ra khỏi tuyến tiền liệt hay không.

Hình 1: hình ảnh các vùng echo kém của abscess tuyến tiền liệt

Hình 2: hình ảnh abscess tuyến tiền liệt trên CT scan
Abscess tuyến tiền liệt có thể điều trị nội khoa nếu như kích thước ổ abscess < 1 – 2cm. Tuy nhiên việc điều trị nội khoa bằng kháng sinh ổ abscess < 2 cm cần thời gian điều trị kháng sinh dài hơn. Những ổ abscess lớn hơn thì cần dẫn lưu ổ abscess. Các phương pháp dẫn lưu hiện có bao gồm:
- Chọc hút/dẫn lưu qua ngã trực tràng dưới hướng dẫn siêu âm
- Nội soi xẻ ổ abscess (Transurethral incision over abcess - TUI)
- Nội soi phá ổ abscess(Transurethral deroofing of abscess cavity – TUD)
- Cắt đốt nội soi tuyến tiền liệt

Hình 3: chọc hút ổ abcess dưới hướng dẫn siêu âm qua ngã trực tràng

Hình 4: nội soi phá ổ abcess
Hiện tại vẫn chưa có bằng chứng hay khuyến cáo nào cho việc lựa chọn phương pháp dẫn lưu ổ abscess, quyết định thường dựa trên kinh nghiệm và sự ưa thích của phẫu thuật viên. Chọc hút/đặt dẫn lưu qua ngã trực tràng dưới hướng dẫn siêu âm là thủ thuật nhẹ nhàng tuy nhiên tỷ lệ tái phát 15 – 33%. Những tổn thương quá lớn hay chọc hút/dẫn lưu không hiệu quả cần được nội soi để dẫn lưu ổ abcess. Các phương pháp TUI và TUD có lợi điểm là can thiệp tối thiểu nên hạn chế được các biến chứng liên quan đến cắt đốt nội soi tuyến tiền liệt như chảy máu, xuất tinh ngược và tiểu không kiểm soát. Bất lợi lớn nhất của 2 phương pháp trên là nguy cơ dẫn lưu không hoàn toàn ổ abscess.
3. VIÊM TUYẾN TIỀN LIỆT MẠN DO VI KHUẨN:
Viêm tuyến tiền liệt mạn tính là tình trạng nhiễm khuẩn đường tiết niệu tái nhiễm được đặc trưng bởi tình trạng tuyến tiền liệt viêm nhiễm mạn tính của cùng một loại vi khuẩn. Chiếm 5-10% trong viêm tuyến tiền liệt nói chung.
Hầu hết các chủng vi khuẩn gây viêm tuyến tiền liệt cấp như: E. coli, Pseudomonas, Proteus, Klebsiella, and Enterobacter spp.
Một số tác nhân hiếm gặp như: Enterococcus (E. faecalis chiếm 44%), Staphylococci và Streptococci, Coccidioides immitis, Blastomyces dermatitidis và Histoplasma capsulatum.
Các tác nhân đang còn tranh cãi như: Corynebacterium, Ureaplasma urealyticum, Mycoplasma hominis, Mycoplasma tuberculosis, Candida spp, C. trachomatis.
Chẩn đoán:
Tiêu chuẩn lâm sàng
Các triệu chứng của viêm tuyến tiền liệt mạn tính tồn tại ít nhất 3 tháng bao gồm:
- Đau vùng trên xương mu, bẹn bìu, đáy chậu, mặt trong đùi và dương vật.
- Các triệu chứng tống xuất nước tiểu: Tiểu khó, tiểu buốt.
- Rối loạn chức năng khi giao hợp như: Đau khi xuất tinh, rối loạn cương dương.
- Thăm trực tràng: Vùng tuyến tiền liệt có nhạy cảm đau, mềm nhẵn, đôi khi có cảm giác rắn chắc và có từng cục
Tiêu chuẩn cận lâm sàng
- PSA thường tang trong 20% trường hợp.
- Nghiệm pháp Stamey và Mearen để tìm vi khuẩn và kháng sinh đồ.
- X quang hệ niệu không chuẩn bị sẽ thấy các hình ảnh đậm ở vùng trên và sau xương mu, hoặc những hình vôi hóa ở tuyến tiền liệt.
- Hình ảnh học hệ niệu nên được sử dụng với trường hợp nam giới có nhiễm khuẩn niệu, đái tháo đường, bệnh thận mạn, sỏi tiết niệu, bàng quang thần kinh, đáp ứng kém với kháng sinh hoặc tiểu máu kéo dài hơn 1 tháng khi phát hiện nhiễm khuẩn niệu.
- Soi niệu đạo – bàng quang khi nghi ngờ có bướu, sỏi, hẹp niệu đạo, hẹp cổ bàng quang.
Tiến triển: Đặc điểm của viêm tuyến tiền liệt mạn tính do vi khuẩn là kéo dài kèm theo các cơn đau từng đợt cách quãng không liên tục, đôi khi từng đợt xuất hiện biến chứng nhiễm khuẩn tiết niệu, viêm mào tinh hoàn cấp.
Biến chứng của viêm tuyến tiền liệt mạn do vi khuẩn sẽ tùy thuộc vào vị trí khu trú của thương tổn viêm:
- Nếu ổ viêm khu trú ở vùng chỏm tuyến tiền liệt sẽ phát triển thành những tổ chức xơ gây ra tiểu khó vì xư cứng cổ bàng quang.
- Nếu ổ viêm khu trú ở vùng đáy sẽ gây ra những đợt viêm kịch phát nguồn gốc của những đợt đau và chảy mủ không liên tục.
- Đôi khi hiện tượng bị hoại tử kèm theo các biểu hiện viêm kể trên.
- Vôi hóa vùng tuyến tiền liệt ở chỗ có những tổ chức viêm nhiễm, dần dần hình thành sỏi.
Điều trị nội
- Trong trường hợp các chất dịch của tuyến tiền liệt bị kiềm hóa cần sử dụng các loại kháng sinh có thể thâm nhập sâu được vào mô tuyến tiền liệt như: Quinolones, Tetracyclines, TMP – SMX.
- Fluoroquinolones: 4-6 tuần
- Doxycycline 100mg, 2 lần/ngày, 10 ngày, (Chỉ dùng cho nhiễm C. trachomatis và Mycoplasma).
- Azithromycin 500mg, 3 tuần. (Chỉ dùng cho C. trachomatis)
- Metronidazol 500mg, 3 lần/ngày, 14 ngày. (Chỉ dùng cho T. vaginalis)
- Lựa chọn thay thế: Netilmicin, Cefoxitin, Piperacillin/Tazobactam, Fosmycin cho những trường hợp nhiễm ESBL.
Trường hợp sử dụng kháng sinh ở mức tối đa mà vẫn không đạt kết quả trong khi đó ở trong các ổ tuyến tiền liệt có nhiều sỏi, rất cần thiết phải loại bỏ sỏi và tổ chức viêm bằng TURP đáp ứng 52 - 67%.
TÀI LIỆU THAM KHẢO:
Campell-Walsh Urology, 12th Edition
Smith and Tanagho General Urology, 19th Edition
Nguyễn Bửu Triều (2007), Bệnh học tiết niệu. Hội tiết niệu – Thận học Việt nam chủ biên, Nhà xuất bản Y Học
Nếu nam giới sở hữu dương vật nhỏ, ngắn hay có dị tật lún vùi… thì có thể tìm đến các kỹ thuật y khoa như độn dương vật, đặt bi vĩnh viễn, đặt tấm silicon, bơm mỡ tự thân… để tăng kích thước dương vật. Tuy nhiên, nếu thực hiện tiêm silicon lỏng, mà lại ở những cơ sở thẩm mỹ kém uy tín thì sẽ phải gánh hậu quả khôn lường.
Thực ra thì kích thước dương vật chỉ là một trong nhiều yếu tố làm nên "chất lượng" của cuộc yêu. Thế nhưng, bất kể nam giới nào cũng luôn mong muốn mình sở hữu dương vật có kích thước "siêu to khổng lồ".
Giống như quy luật của tạo hóa, con người rồi cũng sẽ già đi, và khi già các bộ phận cũng sẽ già theo, đánh dấu sự lớn dần của tuổi tác như tóc bạc trắng, răng lung lay rồi rụng, da nhăn nheo… Vậy "cậu bé" của nam giới trông sẽ như thế nào khi… có tuổi?
Nhắc đến căn bệnh nhiễm trùng nấm bộ phận sinh dục, mọi người thường nghĩ ngay đến chị em phụ nữ. Tuy nhiên, ngay cả nam giới cũng có thể bị nhiễm trùng nấm tại dương vật. Vậy đâu là dấu hiệu nhận biết và cách điều trị?
Chuỗi hạt ngọc dương vật thực chất là một loại bệnh lành tính và nó không hề ảnh hưởng gì đến sức khỏe cũng như chức năng sinh lý của nam giới, do đó, nếu không cần thiết, không phải can thiệp vào chúng kẻo tiền mất tật mang.
Penuma là một tấm độn silicone y tế giúp tăng kích thước dương vật. Nhiều nam giới chọn đặt tấm độn penuma do kết quả và cảm giác cũng như vẻ ngoài tự nhiên mà nó mang lại có thể giữ được suốt đời.
Cách chăm sóc sau đặt tấm độn Penuma nâng cấp cậu nhỏ.
Kỹ thuật nút chặn Penuma mới nhất từ Hàn Quốc giúp điều trị xuất tinh sớm, kéo dài thời gian quan hệ
Chi phí dịch vụ làm to, làm dài dương vật, điều trị xuất tinh sớm, đặt thể hang nhân tạo tai Hàn Quốc
Theo một nghiên cứu, những nam giới dùng thuốc ức chế PDE5 không chỉ sống lâu hơn mà còn có nguy cơ tái phát nhồi máu cơ tim, suy tim, nguy cơ phải nong mạch vành bằng bóng và phẫu thuật bắc cầu động mạch vành thấp hơn.





