Viêm hạch mạc treo là gì?
1. Viêm hạch mạc treo là gì?
Mạc treo có vai trò trong việc giúp nhu động của ruột theo phạm vi nhất định trong ổ bụng. Nó nằm ở vị trí nằm giữa ruột với khoang bụng. Nếu không cho mạc treo, ruột có khả năng sẽ thường xuyên xoay xoắn vặn trên chính nó gây tắc nghẽn.
Viêm hạch mạc treo (Mesenteric lymphadenitis) là tình trạng các hạch bạch huyết trong mạc treo đính ruột với thành bụng bị viêm. Một trong những nguyên nhân chính gây viêm hạch mạc treo thường do nhiễm trùng đường ruột. Do vậy, viêm hạch mạc treo tràng thường có các dấu hiệu của viêm ruột thừa. Bệnh thường phổ biến ở trẻ em với triệu chứng thường gặp là đau bụng. Tuy nhiên, viêm hạch mạc treo hiếm khi trở thành nghiêm trọng và khỏi không để lại di chứng.
2. Triệu chứng viêm hạch mạc treo
Tùy theo tình trạng của bệnh mà người bệnh có các triệu chứng khác nhau. Thông thường các triệu chứng phổ biến của bệnh viêm hạch mạc treo như:
- Đau bụng: Thường tập trung vào phía dưới bên phải, nhưng đau đôi khi có thể sẽ lan rộng hơn
- Sốt cao gây thêm các triệu chứng tiêu chảy, mệt mỏi
- Ăn mất ngon
- Thiếu năng lượng
- Tăng bạch cầu
- Buồn nôn, nôn
Tuy nhiên, trước khi các triệu chứng này xuất hiện, người bệnh sẽ gặp các triệu chứng của tình trạng nhiễm trùng đường hô hấp trên như đau họng.
3. Nguyên nhân gây bệnh viêm hạch mạc treo
Nhiễm trùng là nguyên nhân phổ biến nhất gây ra bệnh viêm hạch mạc treo. Nhiễm trùng có thể xảy ra ở một khu vực hoặc khắp cơ thể. Nhiễm trùng có thể do:
- Vi khuẩn: Như vi khuẩn Yersinia, có thể đến từ việc ăn thịt heo nấu chưa chín hoặc uống sữa chưa được tiệt trùng hoặc nước bị ô nhiễm.
- Virus: Như viêm dạ dày ruột - thường được gọi là cúm dạ dày
- Ký sinh trùng
Các bệnh nhiễm trùng thường gặp gây viêm hạch mạc treo gồm:
- Viêm dạ dày ruột: Có thể do virus (rotavirus hoặc norovirus) hay vi khuẩn (salmonella, staphylococcus hoặc streptococcus). Viêm dạ dày ruột còn được gọi là cúm dạ dày (stomach flu).
- Nhiễm Yersinia enterocolitica. Đây là nguyên nhân phổ biến nhất gây viêm hạch mạc treo ở trẻ em. Vi khuẩn này có thể gây viêm dạ dày ruột và các vấn đề khác. Bệnh có thể giống bệnh Crohn hoặc viêm ruột thừa cấp tính.
Các bệnh nhiễm trùng khác gây viêm hạch mạc mô bao gồm:
- Nhiễm trùng trực tiếp hoặc gián tiếp liên quan đến HIV. Đây là loại virus có thể dẫn đến AIDS.
- Bệnh lao: Đây là nhiễm khuẩn thường tấn công phổi, nhưng cũng có thể tấn công các phần khác của cơ thể.
- Viêm ruột cấp tính: Đây là tình trạng viêm ở phần cuối ruột non, có thể là do vi khuẩn hoặc bệnh Crohn.
Ngoài ra, ung thư cũng là nguyên nhân gây bệnh, nhưng ít phổ biến hơn như: Lymphoma; Ung thư vú; Ung thư phổi; Ung thư tuyến tụy; Ung thư đường tiêu hóa....
4. Biến chứng viêm hạch mạc treo
Nhiễm trùng huyết là một trong những biến chứng nguy hiểm nhất của bệnh viêm hạch mạc treo. Mặc dù bệnh này hiếm khi có biến chứng, nhưng khi bệnh do nhiễm trùng bởi vi khuẩn nguy hiểm mà không được điều trị kịp thời thì vi khuẩn có thể lây lan vào máu, gây ra tình trạng nhiễm trùng nặng và đe dọa tính mạng.
5. Chẩn đoán bệnh viêm hạch mạc treo
Thông thường, bệnh viêm hạch mạc treo chỉ được phát hiện khi làm xét nghiệm hình ảnh cho một vấn đề khác, do bệnh không có các triệu chứng cụ thể.
Để chẩn đoán bệnh, bác sĩ sẽ thực hiện một số xét nghiệm sau:
- Xét nghiệm máu giúp phát hiện nhiễm trùng
- Xét nghiệm nước tiểu giúp loại trừ nhiễm trùng đường tiết niệu
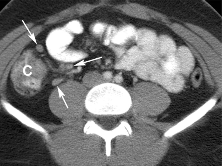
- Siêu âm bụng hoặc chụp CT giúp loại trừ các nguyên nhân khác gây ra triệu chứng.
6. Các biện pháp phòng bệnh viêm hạch mạc treo
Bệnh viêm hạch mạc treo cần được điều trị bằng các loại thuốc kháng sinh, thuốc giảm đau. Tuyệt đối tránh dùng aspirin vì điều này làm tăng nguy cơ gây hội chứng Reye ở trẻ em.
Ngoài việc điều trị bệnh bằng thuốc kháng sinh, bệnh viêm hạch mạc treo có thể được điều trị tại nhà bằng chế độ nghỉ ngơi, ăn uống hợp lý.
Đối với trẻ nhỏ, cần có chế độ chăm sóc tại nhà đặc biệt hơn như:
- Cho trẻ ăn các loại thức ăn lỏng và dễ tiêu hóa như: Bột gạo xay, cháo xay... Tránh cho trẻ ăn đồ ăn nhiều gia vị chua cay, mặn,... và các loại thực phẩm gây viêm.
- Bổ sung nhiều nước để ngăn ngừa tình trạng mất nước từ sốt, nôn mửa và tiêu chảy, các loại vitamin, khoáng chất, rau xanh cho trẻ.
- Cho trẻ nghỉ ngơi nhiều để phục hồi sức khỏe
- Sử dụng một số biện pháp làm giảm đau cho trẻ như dùng chiếc khăn ẩm ấm áp dụng cho vùng bụng.
Ho rát họng có đờm là một vấn đề phổ biến có thể gặp ở bất kỳ ai. Nguyên nhân của tình trạng này có thể là viêm amidan, cảm cúm, viêm họng, thậm chí là ung thư vòm họng.
Viêm phế quản là một bệnh lý phổ biến trong xã hội ngày nay mà nhiều người có thể mắc phải. Tuy viêm phế quản không gây nguy hiểm đến tính mạng nhưng có thể ảnh hưởng đáng kể đến sức khỏe của người bệnh.
Ho, sốt đau họng là những triệu chứng thường gặp cùng lúc và có thể ảnh hưởng đến cuộc sống hàng ngày. Bài viết dưới đây sẽ làm rõ nguyên nhân, cách nhận biết và những phương pháp hiệu quả để giảm nhẹ và xua tan những triệu chứng này.
Là một phần quan trọng của hệ hô hấp, họng thường mắc phải nhiều bệnh lý khác nhau. Các bệnh về họng có thể đơn giản chỉ là viêm họng hoặc có thể nghiêm trọng hơn như viêm amidan, viêm thanh quản và thậm chí ung thư họng.
Thời điểm giao mùa, các trung tâm Y tế đang ghi nhận nhiều trường hợp bệnh nhi mắc viêm phổi do vi khuẩn Mycoplasma. Đây là một bệnh thường xuất hiện trong mùa giao mùa, đặc biệt làm lây lan nhanh chóng.





