Tụ dịch màng nuôi mức độ nào là nguy hiểm?
1. Đánh giá mức độ nguy hiểm khi bị tụ dịch màng nuôi
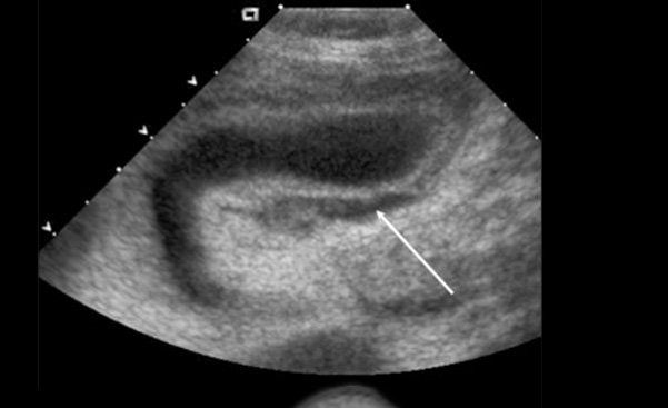
Nhiều nghiên cứu đánh giá kích thước khối máu tụ dịch màng nuôi để tiên lượng mức độ nguy hiểm, khối máu tụ càng to thì tiên lượng càng kém, người ta có nhiều phương pháp đánh giá khối máu tụ như đo kích thước khối máu tụ hoặc tỷ lệ khối máu tụ so với kích thước túi thai hoặc chu vi túi thai...
Nếu đo kích thước khối máu tụ để đánh giá thường không chính xác vì cùng một kích thước khối máu tụ ở tuổi thai khác nhau thì tiên lượng khác nhau. Ví dụ: Tụ máu dưới màng nuôi 20mm ở tuổi thai 6 tuần thì khác hẳn tụ máu dưới màng nuôi thai 11 tuần.
Do đó người ta thường tiên lượng dựa trên tỷ lệ kích thước khối máu tụ và túi thai. Tỷ lệ này càng tăng thì càng tăng tỷ lệ sảy thai
- Kích thước < 10%: Nguy cơ sảy thai 5,8%.
- Kích thước 10 -25%: Nguy cơ sảy thai 8.9%.
- Kích thước 25-50%: Nguy cơ sảy thai 10,8%.
- Kích thước > 50%: Nguy cơ sảy thai 23,3%.
Không có sự khác biệt về nguy cơ sảy thai giữa các thai phụ có triệu chứng ra máu và triệu chứng không ra máu của các thai phụ có tụ máu dưới màng nuôi.
2. Cần làm gì khi bị tụ dịch màng nuôi?
Không có điều trị đặc hiệu tụ máu dưới màng đệm, tuy nhiên một số biện pháp hỗ trợ được đưa ra: Bà bầu nên nghỉ ngơi, cần vận động và chế độ ăn uống hợp lý nhiều vitamin chất xơ, uống đủ nước, tránh táo bón, thoải mái tâm lý.
Dùng thuốc giảm co, đánh giá nguy cơ nhiễm khuẩn. Thuốc Progesterone rất hữu ích trong việc làm tăng khả năng làm tổ của phôi và làm mềm cơ tử cung. Bà bầu cần được theo dõi sát đến khi khối máu tụ biến mất.
Bà bầu tuần thứ 19 sẽ nhận thấy những thay đổi rõ rệt của cơ thể với các triệu chứng như đau lưng, chuột rút, chóng mặt, táo bón... Chúng có thể gây cho mẹ bầu cảm giác khó chịu và ảnh hưởng nhất định đến sinh hoạt hàng ngày. Cùng tìm hiểu những thay đổi của cơ thể khi mang thai tuần 19 và những việc mẹ bầu cần làm trong thời gian này.
Tắc ống dẫn trứng là một trong những nguyên nhân gây vô sinh nữ khá thường gặp. Tình trạng này khiến cho trứng và tinh trùng không gặp được nhau, chiếm khoảng 25-30% trong tất cả các trường hợp vô sinh. Bản chất của tình trạng tắc ống dẫn trứng là bị tắc hoàn toàn hoặc có khi chỉ có một ống bị ngăn chặn hoặc có sẹo làm hẹp lòng ống.
Tiêm trưởng thành phổi được thực hiện lần đầu tiên trên thế giới năm 1972. Từ đó đến nay, phương pháp tiêm trưởng thành phổi đã trở nên phổ biến, góp phần quan trọng làm giảm nguy cơ suy hô hấp cấp, tử vong và các bệnh tật khác ở trẻ sinh non.
Bệnh trùng roi âm đạo Trichomoniasis là bệnh lây qua đường tình dục khá phổ biến hiện nay. Bệnh thường gặp ở nữ hơn nam, đặc biệt là phụ nữ trưởng thành, lớn tuổi; hiện vẫn chưa có vắc-xin phòng bệnh trùng roi âm đạo.
Hình thái tinh trùng hay kích thước cũng như hình dạng của tinh trùng là yếu tố quan trọng quyết định chất lượng sức khỏe sinh sản ở nam giới. Hình thái tinh trùng sẽ được quan sát dưới sự phóng đại của kính hiển vi, đồng thời trong quá trình quan sát có thể phát hiện tinh trùng bất thường một cách rõ ràng.
Mặc dù chưa có nhiều nghiên cứu về việc sử dụng tinh dầu, bao gồm cả tinh dầu khuynh diệp trong thời gian mang thai nhưng khuynh diệp là một loại thảo dược tương đối an toàn với phụ nữ mang thai nếu sử dụng đúng cách.





