Quy trình chụp X-quang cột sống cổ thẳng nghiêng
1. Khi nào bác sĩ chỉ định chụp x-quang cột sống cổ thẳng nghiêng
Chụp X-quang là kỹ thuật sử dụng tia X có bức xạ cao xuyên qua các mô mềm và thành phần dịch bên trong cơ thể, từ đó tạo hình ảnh để bác sĩ chẩn đoán bệnh. Chụp x-quang trở thành một công cụ hữu hiệu trong chẩn đoán bệnh tình, nhất là các bệnh liên quan đến xương khớp, hô hấp và tim mạch.
Chụp x-quang cột sống cổ là việc thực hiện chụp 7 đốt sống cổ trên cơ thể người, đây cũng là 7 đốt sống đầu tiên của cột sống. Thông thường bác sĩ yêu cầu chụp x-quang cột sống để chẩn đoán một số căn bệnh hoặc chấn thương ở cột sống cổ như sau:
- Thoái hóa đốt sống cổ
- Loãng xương
- Gãy xương cổ hoặc nghi ngờ gãy xương
- Biến dạng cột sống cổ
- Trật khớp
- Dị vật bám ở cổ họng hoặc đường thở
- Xương cổ bất thường
- Có khối u ở cổ
2. Quy trình chụp X-quang cột sống cổ thẳng nghiêng
2.1 Các bước chuẩn bị trước khi chụp
- Bệnh nhân nhận phiếu chỉ định chụp x-quang và di chuyển đến vị trí chụp
- Bác sĩ phụ trách sẽ giải thích cho người bệnh về quy trình chụp và những điều nên lưu ý trong thời gian chụp
- Bệnh nhân để lộ vùng cổ cần chụp, tháo bỏ đồ trang sức tại vùng chụp x-quang nếu có
2.2 Quy trình chụp x-quang cột sống cổ thẳng nghiêng
Sau đây là các bước thực hiện chụp X-quang cột sống cổ:
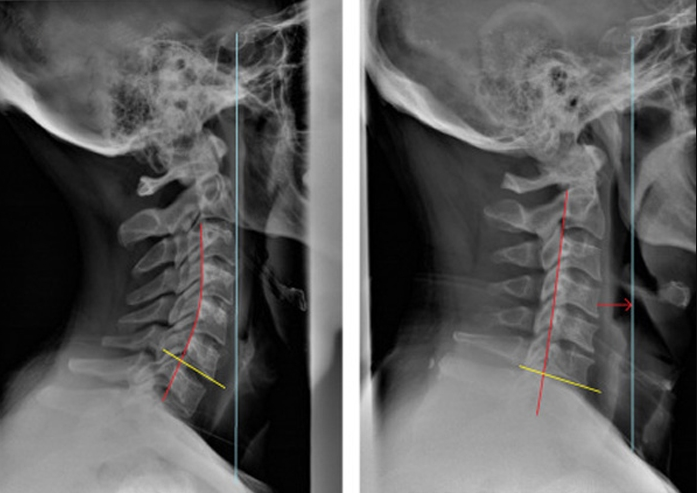
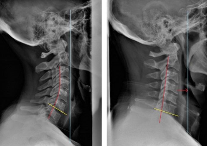
- Tư thế chụp thẳng: Hướng dẫn bệnh đứng hoặc ngồi trước giá phim bệnh nhân quay mặt về phía bóng, 2 tay xuôi dọc cơ thể. Chẩm gáy bệnh nhân sát phim cằm hơi ngửa, chỉnh mặt phẳng chính diện vuông góc với trục cột sống cổ và vào giữa phim theo chiều dọc, bóng tia X chiếu chếch lên đầu 1 góc 20 độ.
- Tư thế chụp nghiêng: Hướng dẫn bệnh đứng hoặc ngồi trước giá phim bệnh nhân chếch về phía bóng, 2 tay xuôi dọc cơ thể tay nọ nắm cổ tay kia. Gáy bệnh nhân sát phim cằm hơi ngửa, chỉnh mặt phẳng chính diện vuông góc với trục cột sống cổ và vào giữa phim theo chiều dọc.
- Bóng tia X chiếu ngang so với phim.
- Căn dặn bệnh nhân giữ nguyên tư thế.
- Khoảng cách bóng phim 1m, khu trú chùm tia X.
- Kiểm tra các nút bấm trên tủ điều khiển, quan sát bệnh nhân qua kính và ấn nút phát tia x.
- Mời bệnh nhân ra ngoài phòng đợi.
2.3 Đánh giá kết quả
Sau khi nhận kết quả, phim chụp x-quang phải đạt được những yêu cầu như sau:
- Lấy được toàn bộ đốt sống cổ.
- Thấy rõ đốt sống cổ và các khe khớp.
- Phim có độ nét tương phản. phim sạch không bị xước.
- Có họ tên bệnh nhân, dấu P và T, ngày tháng năm chụp.
Ho rát họng có đờm là một vấn đề phổ biến có thể gặp ở bất kỳ ai. Nguyên nhân của tình trạng này có thể là viêm amidan, cảm cúm, viêm họng, thậm chí là ung thư vòm họng.
Viêm phế quản là một bệnh lý phổ biến trong xã hội ngày nay mà nhiều người có thể mắc phải. Tuy viêm phế quản không gây nguy hiểm đến tính mạng nhưng có thể ảnh hưởng đáng kể đến sức khỏe của người bệnh.
Ho, sốt đau họng là những triệu chứng thường gặp cùng lúc và có thể ảnh hưởng đến cuộc sống hàng ngày. Bài viết dưới đây sẽ làm rõ nguyên nhân, cách nhận biết và những phương pháp hiệu quả để giảm nhẹ và xua tan những triệu chứng này.
Là một phần quan trọng của hệ hô hấp, họng thường mắc phải nhiều bệnh lý khác nhau. Các bệnh về họng có thể đơn giản chỉ là viêm họng hoặc có thể nghiêm trọng hơn như viêm amidan, viêm thanh quản và thậm chí ung thư họng.
Thời điểm giao mùa, các trung tâm Y tế đang ghi nhận nhiều trường hợp bệnh nhi mắc viêm phổi do vi khuẩn Mycoplasma. Đây là một bệnh thường xuất hiện trong mùa giao mùa, đặc biệt làm lây lan nhanh chóng.
Nếp gấp màu trắng trên mí mắt sau 6 tháng cắt mí
Dạ em có cắt mí được 6 tháng rồi ạ. Thì sau khi cắt mí 6 tháng, ở mắt phải (mắt khoanh tròn) em thấy có nếp gấp màu trắng ở đó còn mắt trái không có. Em không biết sau này có hết không ạ? Ảnh em nhắm mắt là sau 4 tháng thì cả hai mắt có đường màu trắng nhưng sau thì mắt trái hết rồi ạ. Và có một thắc mắc khác là lúc em cắt chỉ sau 7 ngày thì thấy mắt phải (mắt khoanh tròn), đường mí không vào đầu mắt ạ, còn mắt trái thì vào đầu mắt nên tự nhiên hơn, em không biết sau này nếu sửa lại thì có sửa cho mí mắt phải vào đầu mắt được không ạ?
- 0 trả lời
- 887 lượt xem
Bạn có biết tại sao tim lại đập nhanh hơn hay tại sao lòng bàn tay bị đổ mồ hôi khi phải đối mặt với một tình huống căng thẳng không? Đó là do phản ứng tự nhiên của cơ thể khi gặp lo âu, căng thẳng.
Sắt là một khoáng chất cần thiết trong cơ thể con người. Sắt tham gia vào quá trình hình thành hồng cầu – các tế bào máu có nhiệm vụ vận chuyển oxy đi khắp cơ thể. Nồng độ sắt thấp hay thiếu sắt sẽ gây mệt mỏi và làm giảm khả năng chống lại nhiễm trùng của cơ thể. Nhưng điều gì sẽ xảy ra khi nồng độ sắt quá cao?





