POLYP ĐẠI TRỰC TRÀNG, AI NÊN NỘI SOI ĐỂ PHÁT HIỆN SỚM??
Đa số các polyp đại tràng là vô hại nhưng qua thời gian, một số polyp đại tràng có thể phát triển thành ung thư đại tràng. Tuy nhiên, bằng công nghệ NBI (ánh sáng dải tần hẹp) cho phép phát hiện chính xác hơn các tổn thương ung thư sớm khi các tổn thương này mới ở giai đoạn biến đổi bề mặt niêm mạc.
Với sự hỗ trợ của NBI, các bác sĩ nội soi sẽ đánh giá chính xác hơn tính chất, hình thái của các tổn thương, giảm tỷ lệ bỏ sót tổn thương. Từ đó nâng cao chất lượng chẩn đoán và điều trị phục vụ sức khỏe của người dân.
Định kỳ bác Đ. V. L, 66 tuổi, ở Hà Nội đều đi khám sức khỏe, nhưng lần này bệnh nhân đến BVĐK MEDLATEC khám do 2-3 ngày gần đây có triệu chứng cảm giác đại tiện không hết phân.
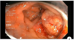
Sử dụng công nghệ NBI để nội soi, bác L đã phát hiện đại tràng trái có 01 polyp kích thước 2.5 cm, cuống dài. Ngay lúc đó, ê-kíp nội soi tiến hành thủ thuật thắt chân polyp và cắt polyp qua nội soi. Đồng thời, lấy polyp đã cắt làm giải phẫu bệnh. Trực tràng có 01 polyp kích thước 3 mm đã được bấm trọn bằng kìm sinh thiết.
.================
![]()
CƠ HỘI ƯU ĐÃI CUỐI CÙNG (ÁP DỤNG ĐẾN HẾT NGÀY 1/5/2021)
Giảm 30% phí nội soi công nghệ NBI;
.Giảm thêm 20% phí phẫu thuật trĩ bằng phương pháp Longo (theo chỉ định của bác sĩ);
- Địa điểm áp dụng: Khách hàng đến thăm khám tại các cơ sở khám chữa bệnh của MEDLATEC tại Hà Nội.
..Gọi điện đặt lịch qua tổng đài 1900 56 56 56 / App Med-On.
================
Hệ thống Bệnh viện/Phòng khám Đa khoa MEDLATEC
• Cơ sở 1: 42 Nghĩa Dũng, Ba Đình, Hà Nội
• Cơ sở 2: 99 Trích Sài, Tây Hồ, Hà Nội
• Cơ sở 3: 03 Khuất Duy Tiến, Thanh Xuân, Hà Nội
• Cơ sở 4: 119 Nguyễn Tất Thành, Vĩnh Yên, Vĩnh Phúc
Tổng đài: 1900 56 56 56.
Ung thư bắt đầu ở đại tràng được gọi là ung thư đại tràng và ung thư bắt đầu ở trực tràng được gọi là ung thư trực tràng. Ung thư ảnh hưởng đến một trong những cơ quan này cũng có thể được gọi là ung thư đại trực tràng.





