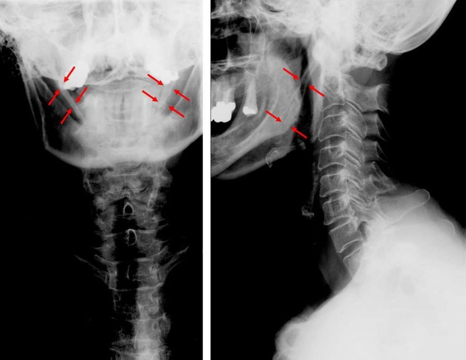
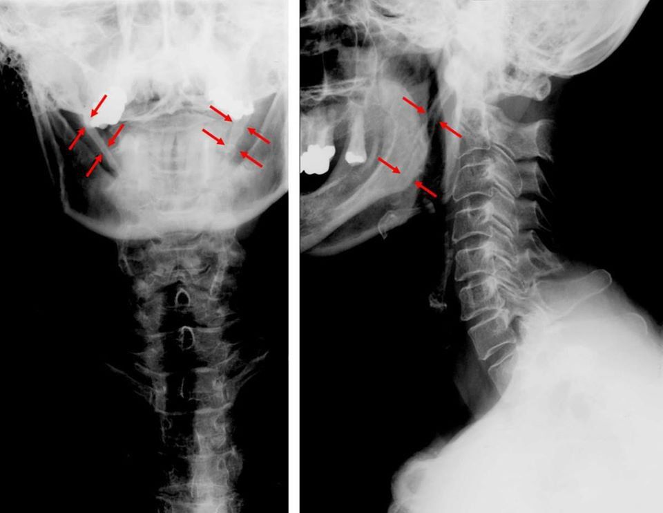
Kỹ thuật chụp Xquang mỏm trâm
1. Dài mỏm trâm là gì?
Ở cơ thể người, mỏm trâm chính là mỏm xương một đầu gắn vào xương thái dương, mỏm trâm bình thường sẽ có chiều dài dưới 2,5cm, trường hợp dài trên 3cm thì bị coi là dài mỏm trâm.
Dài mỏm trâm là hiện tượng mỏm trâm bị dài ra quá mức cho phép và gây ra những sự khó chịu nhất định cho người bệnh tại vùng họng và tai. Bệnh dài mỏm trâm được mô tả lần đầu vào năm 1937 bởi bác sĩ Watt Eagle, dấu hiệu dài mỏm trâm thường thấy ở người bệnh chính là nuốt vướng, nuốt đau, sờ hố Amidan thấy đầu mỏm trâm.
2. Chỉ định và chống chỉ định chụp X quang mỏm trâm
Chụp X quang mỏm trâm là phương pháp được sử dụng khá phổ biến:
- Chỉ định chụp X quang mỏm trâm: Người bệnh có dấu hiệu nuốt vướng, nuốt đau, sờ hố Amidan thấy đầu mỏm trâm
- Chống chỉ định chụp X quang mỏm trâm: Không có chống chỉ định tuyệt đối, chống chỉ định tương đối với phụ nữ có thai
3. Quy trình chụp X quang mỏm trâm
Bước 1: Kỹ thuật viên chuẩn bị vật tư, người bệnh tháo bỏ trang sức như vòng cổ, khuyên tai, cặp tóc (nếu có)
Bước 2: Người bệnh nằm tư thế ngửa trên bàn chụp X quang sao cho mặt phẳng chính diện vuông góc với phim và 2 tay duỗi thẳng thật thoải mái. Đường nhân trung và lỗ tai vuông góc với phim, người bệnh há miệng. Trong trường hợp nằm sấp thì 2 tay phải gập và chống lên mặt bàn.
Bước 3: Đặt cát- xét
Bước 4: Chỉnh bóng X quang
Bước 5: Đặt hằng số chụp
Bước 6: Tiến hành chụp
Bước 7: Hướng dẫn người bệnh ra khỏi phòng chụp. đưa phim đi tráng rửa hoặc in phim đối với hệ thống máy CR/DR.
Kỹ thuật chụp X quang mỏm trâm khá đơn giản và không có tai biến, tuy nhiên, nếu người bệnh gặp phải sai sót như không giữ bất động được trong quá trình chụp phim thì sẽ khiến cho hình ảnh không được bộc lộ rõ nét và phải chụp lại.
Ho rát họng có đờm là một vấn đề phổ biến có thể gặp ở bất kỳ ai. Nguyên nhân của tình trạng này có thể là viêm amidan, cảm cúm, viêm họng, thậm chí là ung thư vòm họng.
Viêm phế quản là một bệnh lý phổ biến trong xã hội ngày nay mà nhiều người có thể mắc phải. Tuy viêm phế quản không gây nguy hiểm đến tính mạng nhưng có thể ảnh hưởng đáng kể đến sức khỏe của người bệnh.
Ho, sốt đau họng là những triệu chứng thường gặp cùng lúc và có thể ảnh hưởng đến cuộc sống hàng ngày. Bài viết dưới đây sẽ làm rõ nguyên nhân, cách nhận biết và những phương pháp hiệu quả để giảm nhẹ và xua tan những triệu chứng này.
Là một phần quan trọng của hệ hô hấp, họng thường mắc phải nhiều bệnh lý khác nhau. Các bệnh về họng có thể đơn giản chỉ là viêm họng hoặc có thể nghiêm trọng hơn như viêm amidan, viêm thanh quản và thậm chí ung thư họng.
Thời điểm giao mùa, các trung tâm Y tế đang ghi nhận nhiều trường hợp bệnh nhi mắc viêm phổi do vi khuẩn Mycoplasma. Đây là một bệnh thường xuất hiện trong mùa giao mùa, đặc biệt làm lây lan nhanh chóng.





