Đa u tủy xương (multiple myeloma, kahler)
1. Đa u tủy là gì?
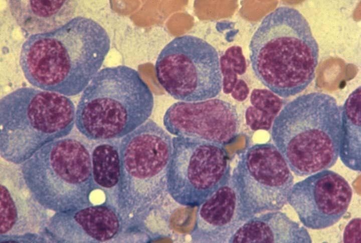
Ung thư bắt đầu khi các tế bào phát triển ngoài tầm kiểm soát. Các tế bào ở hầu như bất kỳ bộ phận nào của cơ thể có thể trở thành ung thư, và có thể lan sang các cơ quan khác. Đa u tủy là một ung thư của tương bào (tế bào plasma). Các tương bào bình thường được tìm thấy trong tủy xương và là một phần quan trọng của hệ thống miễn dịch.
Hệ thống miễn dịch được tạo thành từ một số loại tế bào phối hợp với nhau để chống lại nhiễm trùng và các bệnh khác. Tế bào lympho (tế bào bạch huyết) là một trong những loại tế bào bạch cầu chính trong hệ thống miễn dịch, bao gồm tế bào T và tế bào B. Tế bào lympho có ở nhiều nơi của cơ thể, chẳng hạn như hạch bạch huyết, tủy xương, ruột và máu.
Khi các tế bào B phản ứng với nhiễm trùng, chúng trưởng thành và thay đổi thành các tương bào. Các tương bào tạo ra các kháng thể (còn được gọi là immunoglobulin) giúp cơ thể tấn công và tiêu diệt mầm bệnh. Các tương bào, được tìm thấy chủ yếu trong tủy xương (tủy xương là mô mềm ở bên trong xương). Ngoài các tương bào, tủy xương bình thường cũng là ngôi nhà cho các tế bào máu khác như hồng cầu, bạch cầu và tiểu cầu.
Nói chung, khi các tương bào trở thành ung thư và phát triển ngoài tầm kiểm soát, đó được gọi là đa u tủy. Các tương bào tạo ra một loại protein bất thường (kháng thể) được biết đến bằng nhiều tên khác nhau, như immunoglobulin đơn dòng, protein đơn dòng (M-protein), M-spike, hoặc paraprotein.
Tuy nhiên, có những rối loạn khác cũng có các tương bào bất thường nhưng không đáp ứng các tiêu chí để được gọi là đa u tủy hoạt động. Những rối loạn tương bào khác bao gồm:
- Bệnh lý đơn dòng có ý nghĩa không xác định (monoclonal gammopathy of uncertain significance-MGUS)
- Đa u tủy tiềm tàng (smoldering multiple myeloma-SMM)
- U tương bào đơn độc (solitary plasmacytoma)
- Amyloidosis chuỗi nhẹ (light chain amyloidosis)
2. Những đặc điểm của đa u tủy
2.1 Lượng máu thấp
Trong đa u tủy, sự phát triển quá mức của các tương bào trong tủy xương có thể lấn át các tế bào tạo máu bình thường, dẫn đến lượng máu thấp.
- Điều này có thể gây thiếu máu (thiếu tế bào hồng cầu), cơ thể trở nên yếu và mệt mỏi.
- Đa u tủy cũng có thể làm cho tiểu cầu trong máu thấp (giảm tiểu cầu), có thể dẫn đến tăng nguy cơ chảy máu và bầm tím.
- Một tình trạng khác có thể xảy ra là giảm bạch cầu (thiếu tế bào bạch cầu bình thường), và có thể dẫn đến các vấn đề chống nhiễm trùng.
2.2 Các vấn đề về xương và canxi
Xương liên tục được tái tạo để giữ cho chúng chắc khỏe. Hai loại tế bào xương phối hợp với nhau để giữ cho xương chắc và khỏe:
- Tế bào hủy xương (Osteoclasts) phá vỡ xương cũ
- Tế bào tạo xương (Osteoblasts) tạo ra xương mới
Tế bào trong u tủy cũng can thiệp vào các tế bào này. Các tế bào u tạo ra một chất làm cho các tế bào hủy xương tăng tốc độ phá hủy xương. Vì vậy, xương cũ bị phá hủy nhiều mà không có xương mới để thay thế nó, làm cho xương yếu và dễ gãy. Gãy xương là một vấn đề lớn ở những người u tủy. Sự gia tăng phá vỡ xương này cũng có thể làm tăng lượng canxi trong máu.
2.3 Nhiễm trùng
Các tương bào bất thường không thể bảo vệ cơ thể khỏi bị nhiễm trùng. Như đã đề cập, các tương bào bình thường tạo ra các kháng thể tấn công vi trùng. Trong đa u tủy, các tế bào u lấn át các tương bào bình thường, do đó không tạo ra được các kháng thể chống nhiễm trùng.
2.4 Vấn đề về thận
Tế bào u tạo ra một kháng thể có thể gây hại cho thận, dẫn đến tổn thương thận và thậm chí là suy thận.
3. Nguyên nhân, yếu tố nguy cơ và cách phòng ngừa
Tìm hiểu về các yếu tố nguy cơ bệnh đa u tủy và những điều có thể làm giúp giảm nguy cơ.
3.1 Các yếu tố nguy cơ
Một yếu tố nguy cơ là bất cứ điều gì ảnh hưởng đến khả năng mắc bệnh như ung thư. Những bệnh ung thư khác nhau có các nguy cơ khác nhau. Ví dụ, để da tiếp xúc với ánh nắng mặt trời mạnh là một yếu tố nguy cơ gây ung thư da.
Hút thuốc là một yếu tố nguy cơ ung thư phổi và nhiều bệnh ung thư khác. Nhưng yếu tố nguy cơ không cho chúng ta biết mọi thứ. Những người không có yếu tố nguy cơ vẫn có thể mắc bệnh. Ngược lại, có một yếu tố nguy cơ, hoặc thậm chí một số, không có nghĩa là sẽ mắc bệnh.
Dưới đây là một vài yếu tố nguy cơ có thể ảnh hưởng đến khả năng bị đa u tủy.
- Tuổi: nguy cơ bị đa u tủy tăng lên theo tuổi. Ít hơn 1% trường hợp được chẩn đoán ở những người dưới 35 tuổi. Hầu hết những người được chẩn đoán mắc ung thư này đều ít nhất 65 tuổi.
- Giới tính: đàn ông hay gặp đa u tủy hơn phụ nữ.
- Tiền sử gia đình: người có anh chị em ruột hoặc cha mẹ bị u tủy có nhiều khả năng mắc bệnh hơn người không có tiền sử gia đình này. Tuy nhiên, hầu hết bệnh nhân không có người thân mắc bệnh, vì vậy tiền sử gia đình chỉ chiếm một số ít trường hợp.
- Béo phì: thừa cân hoặc béo phì làm tăng nguy cơ mắc đa u tủy.
- Có bệnh lý về tương bào khác: những người mắc bệnh lý đơn dòng có ý nghĩa không xác định (MGUS) hoặc u tương bào đơn độc có nguy cơ mắc đa u tủy cao hơn so với người không mắc các bệnh này.
3.2 Những nguyên nhân đa u tủy?
Các nhà khoa học vẫn chưa biết chính xác nguyên nhân gây ra hầu hết các trường hợp đa u tủy. Tuy nhiên, họ đã đạt được tiến bộ để hiểu làm thế nào một số thay đổi trong DNA có thể làm cho các tương bào trở thành ung thư.
- Một số gen (một phần của DNA) có nhiệm vụ kiểm soát khi các tế bào của chúng phát triển và phân chia. Những gen thúc đẩy tế bào tăng trưởng được gọi là gen sinh ung (oncogenes).
- Những gen khác làm chậm sự phát triển của tế bào hoặc làm cho các tế bào chết đúng thời điểm được gọi là gen đè nén u (tumor suppressor genes).
Ung thư có thể được gây ra bởi những sai lầm, hoặc khiếm khuyết, trong DNA được gọi là đột biến trên gen sinh ung hoặc gen đè nén u.
Các nghiên cứu gần đây đã phát hiện ra rằng sự bất thường của một số gen sinh ung (như MYC) phát triển sớm trong u tương bào. Những thay đổi trong các gen sinh ung khác (như gen RAS) thường được tìm thấy ở các tế bào tủy trong tủy xương sau khi điều trị và thay đổi gen đè nén u (như gen p53) có liên quan đến sự lây lan sang các cơ quan khác.
Tế bào trong u tủy cũng chỉ ra những bất thường trong nhiễm sắc thể của chúng. Trong tế bào người, DNA được kết hợp tạo thành nhiễm sắc thể. Mặc dù các tế bào người bình thường chứa 46 nhiễm sắc thể, một số tế bào ung thư có thể có thêm nhiễm sắc thể (được gọi là lặp đoạn nhiễm sắc thể) hoặc thiếu toàn bộ hoặc một phần nhiễm sắc thể (gọi là mất đoạn nhiễm sắc thể). Một phát hiện phổ biến trong các tế bào u tủy là các phần của nhiễm sắc thể số 17 bị mất. Sự mất đoạn này làm cho u tủy tiến triển hơn và kháng lại điều trị.
Khoảng một nửa số người bị u tủy, một phần của một nhiễm sắc thể đã chuyển sang một phần của nhiễm sắc thể khác trong tế bào u, nó được gọi là chuyển đoạn nhiễm sắc thể. Khi chuyển đoạn xảy ra ở vùng cạnh một gen sinh ung, nó có thể gây đột biến gen sinh ung.
Các nhà nghiên cứu đã phát hiện ra rằng những bệnh nhân bị u tương bào có những bất thường quan trọng trong các tế bào tủy xương khác và những bất thường này cũng có thể gây ra sự tăng trưởng tương bào quá mức.
Một số tế bào trong tủy xương (gọi là tế bào võng- dendritic cells) giải phóng một loại hormone gọi là interleukin-6 (IL-6), kích thích các tương bào bình thường phát triển. Việc sản xuất quá mức IL-6 bởi các tế bào này dường như là một yếu tố quan trọng trong việc phát triển các khối u tương bào.
3.3 Phòng ngừa
Đối với một số loại ung thư, các yếu tố nguy cơ được biết đến trong phần lớn các trường hợp. Ví dụ, hút thuốc gây ra hầu hết các ung thư phổi, do đó có cơ hội để phòng ngừa.
Với đa u tủy, một vài trường hợp có liên quan đến các yếu tố nguy cơ có thể tránh được, còn lại hầu như không có cách nào để ngăn ngừa chúng phát triển.
Ho rát họng có đờm là một vấn đề phổ biến có thể gặp ở bất kỳ ai. Nguyên nhân của tình trạng này có thể là viêm amidan, cảm cúm, viêm họng, thậm chí là ung thư vòm họng.
Viêm phế quản là một bệnh lý phổ biến trong xã hội ngày nay mà nhiều người có thể mắc phải. Tuy viêm phế quản không gây nguy hiểm đến tính mạng nhưng có thể ảnh hưởng đáng kể đến sức khỏe của người bệnh.
Ho, sốt đau họng là những triệu chứng thường gặp cùng lúc và có thể ảnh hưởng đến cuộc sống hàng ngày. Bài viết dưới đây sẽ làm rõ nguyên nhân, cách nhận biết và những phương pháp hiệu quả để giảm nhẹ và xua tan những triệu chứng này.
Là một phần quan trọng của hệ hô hấp, họng thường mắc phải nhiều bệnh lý khác nhau. Các bệnh về họng có thể đơn giản chỉ là viêm họng hoặc có thể nghiêm trọng hơn như viêm amidan, viêm thanh quản và thậm chí ung thư họng.
Thời điểm giao mùa, các trung tâm Y tế đang ghi nhận nhiều trường hợp bệnh nhi mắc viêm phổi do vi khuẩn Mycoplasma. Đây là một bệnh thường xuất hiện trong mùa giao mùa, đặc biệt làm lây lan nhanh chóng.





