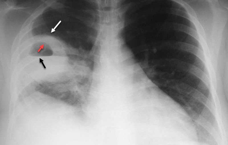
Chụp X quang phổi tư thế đỉnh phổi ưỡn giúp phát hiện tổn thương vùng đỉnh phổi
1. Chụp X - quang phổi là gì?
Kỹ thuật chụp X quang phổi sử dụng máy chụp X quang tại phòng đặc biệt với bóng phát tia X có thể di chuyển được, gắn vào cần kim loại lớn, người bệnh sẽ được kỹ thuật viên hướng dẫn đứng trước một tấm chứa phim X quang hoặc một đầu thu đặc biệt có thể ghi lại hình ảnh của tim, phổi, đường thở, mạch máu và hạch bạch huyết.
Khi chụp Xquang phổi, máy chụp Xquang sẽ chiếu tia X qua ngực của người bệnh và cho ra các hình ảnh cụ thể, khi tia X xuyên qua các mô mềm, dịch của cơ thể gặp phim và sẽ cho ra hình ảnh phổi, tim, mạch máu và các cấu trúc của thành ngực như xương sườn...Dựa vào các hình ảnh này, bác sĩ có thể kiểm tra, xác định một số điều như:
- Có dịch hay khí bên trong khoang màng phổi của người bệnh hoặc không gian quanh phổi hay không
- Xác định xem người bệnh có gặp các bệnh lý như viêm phổi, xẹp phổi, ung thư phổi không...
- Xác định xem tình trạng xương sườn bị gãy hoặc bị tổn thương hay không
2. Mục đích chụp X - quang phổi
Kỹ thuật chụp Xquang phổi là kỹ thuật chẩn đoán hình ảnh thường sử dụng nhất trong thực hành lâm sàng với mục đích đánh giá và theo dõi tình trạng của phổi. Chụp X quang phổi sẽ giúp các bác sĩ nhanh chóng phát hiện các bất thường về phổi, cũng như theo dõi tình trạng hồi phục của phổi nếu đang trong thời gian điều trị bệnh.
Kỹ thuật chụp X quang phổi mặc dù không gây hại sức khỏe nhưng tia X lại rất độc, chính vì thế, người bệnh chỉ được chụp X quang phổi khi đảm bảo các điều kiện an toàn về mặt kỹ thuật cũng như trang thiết bị, phòng chụp.
3. Chỉ định, chống chỉ định chụp X quang phổi tư thế đỉnh phổi ưỡn
- Chỉ định:
Khảo sát tổn thương vùng thùy giữa và đỉnh phổi
- Chống chỉ định
Không có chống chỉ định tuyệt đối, chống chỉ định tương đối với phụ nữ đang có thai.
4. Quy trình chụp X quang phổi tư thế đỉnh phổi ưỡn
- Bước 1: Kỹ thuật viên chuẩn bị vật tư, người bệnh tháo bỏ vòng cổ, cặp tóc nếu có, cởi bỏ áo nửa trên người và búi tóc lên cao đầu nếu tóc dài.
- Bước 2: Người bệnh đứng thẳng, lưng dựa vào cát-xét, ưỡn ngực. Tia X trung tâm chếch lên < 30 độ vào góc giữa cán - thân xương ức. Độ chếch tùy thuộc độ ưỡn của người bệnh. Người bệnh phải hít vào sâu (tăng thể tích phổi thăm khám), nín thở. Nếu chụp tư thế sau – trước, người bệnh áp ngực vào cát-xét, tia X trung tâm chếch từ sau ra trước, xuống dưới 30 độ vào mấu gai C7.
- Bước 3: Kết thúc chụp X quang phổi, chờ kết quả.
Kỹ thuật chụp X quang phổi tư thế đỉnh phổi ưỡn là kỹ thuật không có tai biến, tuy nhiên người bệnh có thể mắc phải một số sai sót khiến kết quả sai lệch và phải chụp lại như: Không giữ bất động trong quá trình chụp nên không bộc lộ rõ nét hình ảnh hai đỉnh phổi.
5. Cần lưu ý gì khi chụp X - quang phổi?
Kỹ thuật chụp X-quang phổi là kỹ thuật không xâm lấn nên không gây đau, để đảm bảo kết quả chuẩn xác nhất thì người bệnh cần lưu ý:
- Khi đi chụp nên mang theo các tóm tắt bệnh án, phiếu xét nghiệm, kết quả chụp X-quang trước đó (nếu có).
- Nên mặc áo của bệnh viện và tuyệt đối tuân thủ hướng dẫn của bác sĩ, kỹ thuật viên.
- Nếu người bệnh là nữ và đang có thai thì nên thông báo cho bác sĩ để tránh tia X làm ảnh hưởng thai nhi.
- Tháo bỏ các vật dụng có thể gây ảnh hưởng đến phim chụp
- Chụp X quang phổi tại cơ sở y tế đạt chuẩn đáp ứng các tiêu chuẩn an toàn khám chữa bệnh để đảm bảo sức khỏe cho bạn và người thân của mình.
Ho rát họng có đờm là một vấn đề phổ biến có thể gặp ở bất kỳ ai. Nguyên nhân của tình trạng này có thể là viêm amidan, cảm cúm, viêm họng, thậm chí là ung thư vòm họng.
Viêm phế quản là một bệnh lý phổ biến trong xã hội ngày nay mà nhiều người có thể mắc phải. Tuy viêm phế quản không gây nguy hiểm đến tính mạng nhưng có thể ảnh hưởng đáng kể đến sức khỏe của người bệnh.
Ho, sốt đau họng là những triệu chứng thường gặp cùng lúc và có thể ảnh hưởng đến cuộc sống hàng ngày. Bài viết dưới đây sẽ làm rõ nguyên nhân, cách nhận biết và những phương pháp hiệu quả để giảm nhẹ và xua tan những triệu chứng này.
Là một phần quan trọng của hệ hô hấp, họng thường mắc phải nhiều bệnh lý khác nhau. Các bệnh về họng có thể đơn giản chỉ là viêm họng hoặc có thể nghiêm trọng hơn như viêm amidan, viêm thanh quản và thậm chí ung thư họng.
Thời điểm giao mùa, các trung tâm Y tế đang ghi nhận nhiều trường hợp bệnh nhi mắc viêm phổi do vi khuẩn Mycoplasma. Đây là một bệnh thường xuất hiện trong mùa giao mùa, đặc biệt làm lây lan nhanh chóng.
Ferritin là một loại protein dự trữ sắt và giải phóng sắt khi cơ thể cần. Ferritin tập trung chủ yếu trong các tế bào và chỉ có một lượng rất nhỏ lưu thông trong máu.
Bạn có biết tại sao tim lại đập nhanh hơn hay tại sao lòng bàn tay bị đổ mồ hôi khi phải đối mặt với một tình huống căng thẳng không? Đó là do phản ứng tự nhiên của cơ thể khi gặp lo âu, căng thẳng.
Nếu bị rụng tóc nhiều bất thường dù đã điều chỉnh chế độ ăn uống và thói quen sinh hoạt thì có thể nguyên nhân là do một vấn đề sức khỏe tiềm ẩn. Một trong những nguyên nhân đó là mức ferritin thấp.
Thèm nhai đá có thể là do nhiều nguyên nhân nhưng hai nguyên nhân phổ biến nhất là thiếu máu do thiếu sắt và hội chứng pica.





