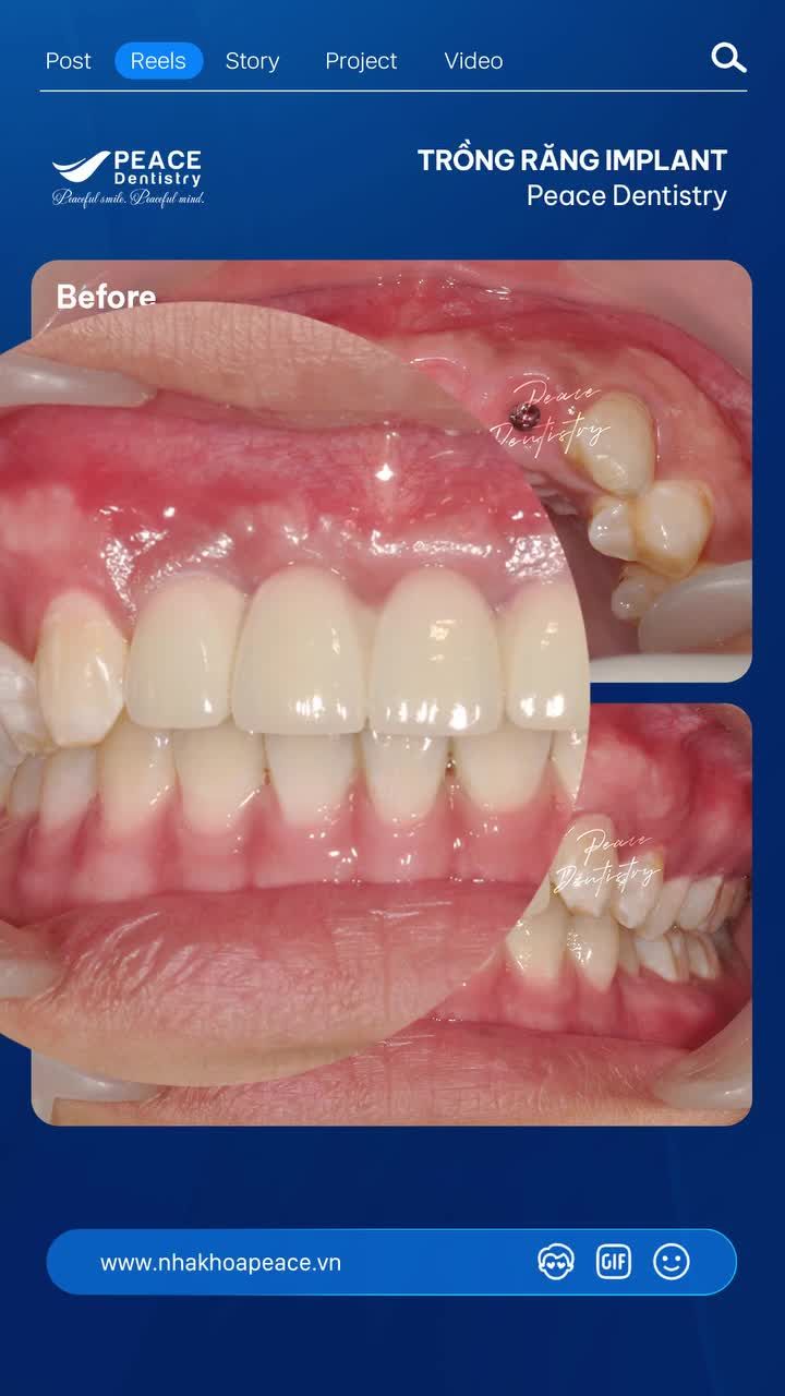
Khách hàng của Peace Dentistry luôn chia sẻ rằng ước gì mình “làm răng sớm hơn”.
6 Lượt xem - Danh mục: Trồng Răng Implant
Chất lượng cuộc sống sau khi trồng răng Implant được cải thiện rõ rệt:
Thoải mái ăn món yêu thích
Không cần che giấu nụ cười
Tự tin chụp ảnh mọi góc độ
Đặc biệt, khách hàng cảm thấy được là chính mình một lần nữa sau thời gian dài chịu đựng tình trạng mất răng ảnh hưởng đến thẩm mỹ & sức khỏe.
Bạn hoặc người thân cũng đang gặp phải tình trạng này, INBOX cho chúng tôi để được tư vấn chi tiết nhé!
HỆ THỐNG NHA KHOA PEACE DENTISTRY: Uy Tín | Tận Tâm | Chuẩn Mực
9 chi nhánh trên toàn quốc: TP.HCM - Đồng Nai - Đà Nẵng
TRỒNG RĂNG IMPLANT LÀ PHẢI CHỌN IMPLANT SIC THUỴ SỸ.
6 năm trước
·
3143 Lượt xem
MẤT RĂNG SỐ 6 NGUY HIỂM HƠN TA NGHĨ
6 năm trước
·
2986 Lượt xem
Nhổ và cấy implant tức thì răng 14 - Nha khoa Lạc Việt
6 năm trước
·
2884 Lượt xem
Nhổ răng và đặt implant kết hợp với ghép xương - Nha khoa Lạc Việt
6 năm trước
·
2388 Lượt xem
CÔNG NGHỆ TRỒNG RĂNG IMPLANT SAFE TECH – HIỆU QUẢ VƯỢT TRỘI, BỀN VỮNG LÂU DÀI
3 năm trước
·
2316 Lượt xem
GIỮA PHỤC HÌNH TRÊN IMPLANT DẠNG BẮT VÍT VÀ DẠNG GẮN XI MĂNG CÓ GÌ KHÁC BIỆT?
5 năm trước
·
2189 Lượt xem
Xử lý ca gẫy răng sứ và trồng răng implant - Nha khoa Lạc Việt
6 năm trước
·
2149 Lượt xem
Quy trình cắt chỉ sau khi trồng 4 TRỤ IMPLANT cho KH Bình Dương
5 năm trước
·
2112 Lượt xem
MÔ PHỎNG QUÁ TRÌNH CẮM CHÂN RĂNG NHÂN TẠO KHI MẤT RĂNG CỬA ( IMPLANT)
6 năm trước
·
2076 Lượt xem
Trồng răng Implant - Thẩm mỹ Kangnam - Ca 01
6 năm trước
·
2022 Lượt xem
80 TUỔI, MẤT RĂNG TOÀN HÀM TRÊN CÓ TRỒNG RĂNG IMPLANT ĐƯỢC KHÔNG?
6 năm trước
·
1982 Lượt xem
PHẦN MỀM GIẢ ĐỊNH TRONG CẤY GHÉP IMPLANT - ỨNG DỤNG ĐỘC QUYỀN TIÊU CHUẨN PHÁP TẠI NHA KHOA PARIS
6 năm trước
·
1972 Lượt xem
SỰ THẬT GIẬT MÌNH VỀ TRỒNG RĂNG IMPLANT GIÁ RẺ?
5 năm trước
·
1932 Lượt xem
Procedure Show - Quy Trình Cấy Chân Răng Nhân Tạo Implant tại Thái Nguyên
6 năm trước
·
1827 Lượt xem
Cắm implant tại nha Khoa Thùy Anh Thái Nguyên
6 năm trước
·
1796 Lượt xem
REVIEW SAU 3 THÁNG CẤY GHÉP IMPLANT TẠI NHA KHOA LẠC VIỆT INTECH
5 năm trước
·
1792 Lượt xem
Kĩ thuật trồng răng implant phục hồi răng 11 đã mất - Nha khoa Lạc Việt
6 năm trước
·
1775 Lượt xem
"LÀM IMPLANT TỐT NHẤT Ở SÀI GÒN CHỈ CÓ NHA KHOA NHÂN TÂM"
6 năm trước
·
1766 Lượt xem
MỐI NGUY HIỂM HÀM THÁO LẮP
6 năm trước
·
1746 Lượt xem
MÔ PHỎNG CẤY GHÉP IMPLANT TẠI NHA KHOA GIA ĐÌNH
6 năm trước
·
1736 Lượt xem
Procedure Show - Nâng xoang kín và cấy chân răng nhân tạo Implant trong 1 lần hẹn
6 năm trước
·
1687 Lượt xem
Nam khách hàng U60 đến Peace Dentistry với mong muốn cải thiện toàn diện nụ cười:
4 giờ trước
·
5 Lượt xem
Khách hàng của Peace Dentistry luôn chia sẻ rằng ước gì mình “làm răng sớm hơn”.
4 giờ trước
·
7 Lượt xem
Lưu giữ nụ cười trọn vẹn Tết này vẫn giống Tết xưa
3 tuần trước
·
30 Lượt xem
Bỏ chục triệu trồng răng Implant liệu có xứng đáng?
2 tháng trước
·
64 Lượt xem
Đây là một sai lầm phổ biến về trồng implant.
2 tháng trước
·
65 Lượt xem
Nhiều người lo lắng khi thấy quy trình trồng Implant phải “khoan vào nướu và xương” để đặt trụ.
3 tháng trước
·
69 Lượt xem
ThS. BS CKII Nguyễn Văn Khoa – Giám đốc Chuyên môn tại Peace Dentistry
3 tháng trước
·
66 Lượt xem



