Videos
Bs nha khoa Thùy Anh
6 năm trước
Chia sẻ
Điều trị cười hở lợi cho bạn Phương Thảo
Đừng để bất cứ điều gì cản trở nụ cười tự tin của bạn.???Chúng tôi có thể giúp bạn, hãy liên hệ với chúng tôi ngay hôm nay.-------------------------------NHA KHOA THÙY ANH – ĐẲNG CẤP HÀNG...
Bs nha khoa Thùy Anh
6 năm trước
Chia sẻ
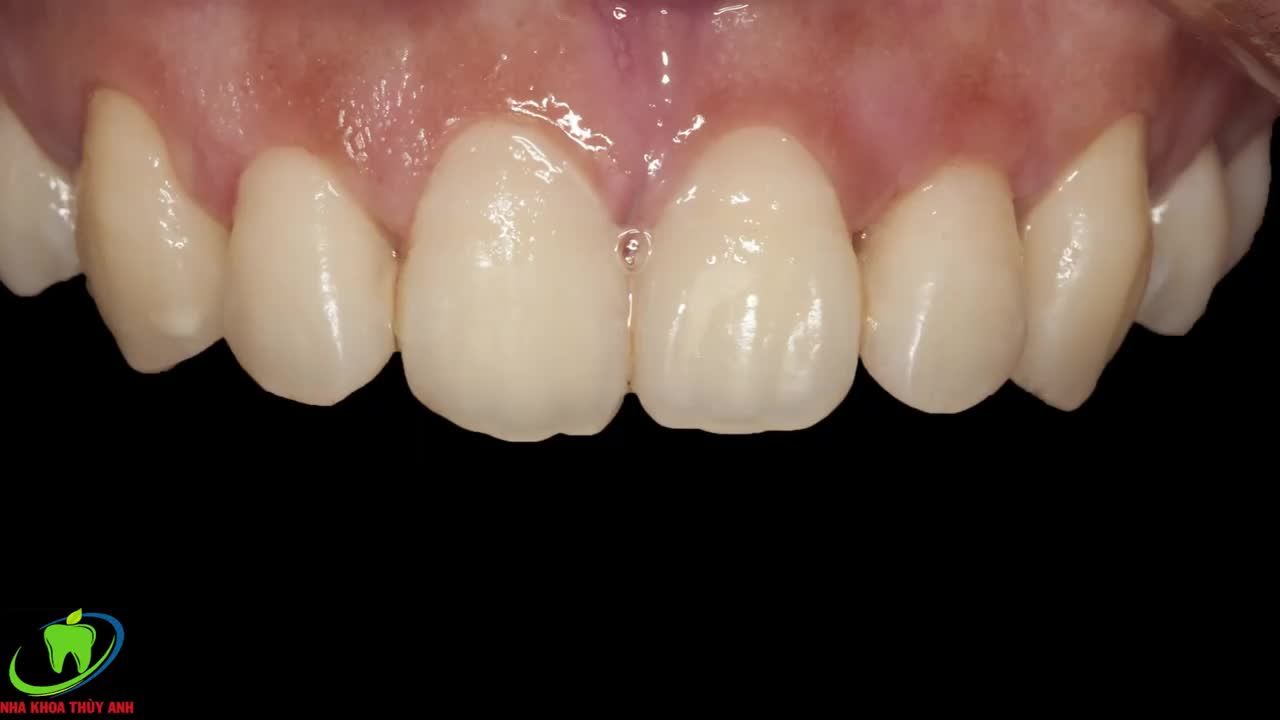
Điều trị cười hở lợi bằng phương pháp làm dài thân răng cho chị Thơm.
Điều trị cười hở lợi không phải điều trị bệnh lý mà là sửa khiếm khuyết của nụ cười.Làm một lần đẹp trọn đời không tái phát tại Nha Khoa Thùy Anh.✅ Phòng khám sạch sẽ, vô trùng tuyệt...
Bs nha khoa Thùy Anh
6 năm trước
Chia sẻ
Điều trị cười hở lợi cho chị Trang. Điều trị cười hở lợi không tái phát tại Nha Khoa Thùy Anh.
NHA KHOA THÙY ANH – ĐẲNG CẤP HÀNG HIỆU☎ Hotline: 0869.800.318⏰ Thời gian làm việc: 8h00 am - 19h00 pm? Địa chỉ:??? CƠ SỞ HÀ NỘI:? TP Hà Nội: số 181 - Yên Lãng - Đống Đa -...
Bs nha khoa Thùy Anh
6 năm trước
Chia sẻ
Bs nha khoa Thùy Anh
6 năm trước
Chia sẻ
Điều trị cười hở lợi cho bạn Diệu Mỹ tại Nha Khoa Thùy Anh.
✔️ Cười hở lợi – là tình trạng mà khi cười, khoảng cách từ cổ răng đến vành môi trên vượt quá 3mm, gây kém duyên.✔️ Mặc dù không phải là một loại bệnh lý, song nhất là đối với phụ nữ, cười...
Bs nha khoa Thùy Anh
6 năm trước
Chia sẻ
SỞ HỮU NỤ CƯỜI HOÀN HẢO HƠN SAU 1 GIỜ
Nhiều người tìm đến biện pháp chữa cười hở lợi để có một nụ cười rạng rỡ, tự tin trước mọi ánh nhìn. Tại Nha Khoa Thùy Anh, bác sĩ chỉ thực hiện 1 lần duy nhất. Với biện pháp cắt nướu, điều chỉnh một...
Bs nha khoa Thùy Anh
6 năm trước
Chia sẻ
Bs nha khoa Thùy Anh
6 năm trước
Chia sẻ
DỨT ĐIỂM CƯỜI HỞ LỢI CHỈ SAU 1 GIỜ
Từ " phẫu thuật" có đáng sợ như bạn nghĩ không❓Mời các quý bạn nghe cảm nhận của bạn khách hàng đã sử dụng dịch vụ phẫu thuật cười hở lợi tại phòng khám...
Bs nha khoa Thùy Anh
6 năm trước
Chia sẻ
Hoa Đào rực rỡ - Nụ cười rạng ngời - Thêm tươi đón tết
Chương trình siêu khuyến mãi lên đến 50%--------------------Bạn có biết cười hở lợi hoàn toàn chữa khỏi triệt đểĐiều trị cười hở lợi là một chuyên khoa của nghành nha khoa hiện đạiĐiều trị cười hở lợi...
Bs nha khoa Thùy Anh
6 năm trước
Chia sẻ
Điều trị cười hở lợi tại nha khoa Thuỳ Anh cơ sở Hà Nội.
Bác sĩ thực hiện: Lê Sơn Tùng.-----------------?Thân răng ngắn khiến nụ cười của bạn bị hở lợi.?Bạn ngại ngùng không dám cười lớn.?Bạn thấy nụ cười của mình không đẹp.Đến với Nha Khoa Thùy Anh để nhận...
Bs nha khoa Thùy Anh
6 năm trước
Chia sẻ
Bs nha khoa Thùy Anh
6 năm trước
Chia sẻ
NÂNG TẦM NỤ CƯỜI CHỈ SAU MỘT GIỜ
Nhiều người tìm đến biện pháp chữa cười hở lợi để có một nụ cười rạng rỡ, tự tin trước mọi ánh nhìn. Tại Nha Khoa Thùy Anh, bác sĩ chỉ thực hiện 1 lần duy nhất. Với biện pháp cắt nướu, điều chỉnh một...
Bs nha khoa Thùy Anh
6 năm trước
Chia sẻ
ĐỪNG ĐỂ KHUYẾT ĐIỂM LẤY MẤT NỤ CƯỜI CỦA BẠN.
Điều trị cười hở lợi không phải là điều trị bệnh lý mà là sửa khiếm khuyết của nụ cười.Hãy cùng Nha Khoa Thùy Anh kiến tạo lại nụ cười nhé.Đây là dòng chia sẻ của chị Sim sau khi điều trị cười hở lợi...
Bs nha khoa Thùy Anh
6 năm trước
Chia sẻ
Điều trị cười hở lợi cho ban Hồng Minh đến từ Thanh Hoá.
Bác sĩ thực hiện: lê Sơn Tùng.---------------? Điều trị cười hở lợi chỉ trong 1 buổi hẹn.? Bảo hành trọn đời.? Không nghĩ dưỡng dài sau điều trị.----------------NHA...
Bs nha khoa Thùy Anh
6 năm trước
Chia sẻ
PHẪU THUẬT CƯỜI HỞ LỢI - TÌM RA NỤ CƯỜI HOÀN HẢO CỦA BẠN CÙNG NHA KHOA THÙY ANH
? Điều trị cười hở lợi chỉ trong 1 buổi hẹn.? Bảo hành trọn đời.? Không nghĩ dưỡng dài sau điều trị.Chị Loan đến từ Yên Bái xa xôi nay xuống Nha Khoa Thùy Anh để sử...
Bs nha khoa Thùy Anh
6 năm trước
Chia sẻ
Chấm dứt hở lợi nụ cười của bạn sẽ như thế nào
?Tại NHA KHOA THÙY ANH áp dụng smile design digital giúp quý bạn có thể xem được kết quả trước khi quyết định làm hay không❓??Và đương nhiên là sẽ không mất một chi phí gì cả nếu...
Bs nha khoa Thùy Anh
6 năm trước
Chia sẻ
PHẪU THUẬT CƯỜI HỞ LỢI KHÔNG TÁI PHÁT.
THAY ĐỔI NỤ CƯỜI - THAY ĐỔI CUỘC SỐNG.Giảm sâu chi phí phẫu thuật nhận dịp khai trương cơ sở Hà Nội.-------------------------------------?Thân răng ngắn khiến nụ cười của bạn bị hở lợi.?Bạn ngại ngùng...
Bs nha khoa Thùy Anh
6 năm trước
Chia sẻ
Phẫu thuật cười hở lợi cho chị Lý đến từ Nghệ An.
Phẫu thuật cười hở lợi không phải là điều trị bệnh lý mà là sửa khiếm khuyết của nụ cười.Khi cười lợi hở >3mm sẽ được tính là cười hở lợi.-----------------------Quý bạn cùng theo dõi live của nha khoa...
Bs nha khoa Thùy Anh
6 năm trước
Chia sẻ
Bs nha khoa Thùy Anh
6 năm trước
Chia sẻ
PHẪU THUẬT CƯỜI HỞ LỢI BIẾT TRƯỚC KẾT QUẢ HOÀN THIỆN NỤ CƯỜI MỘT CÁCH CHÂN THỰC NHẤT
Khái niệm Digital smile design (DSD) được tác giả Christian Coachman phát triển, dựa trên những hiểu biết tổng hợp về thẩm mỹ nụ cười và các ứng dụng số hóa nhằm lên kế hoạch điều trị, đưa đến cho...
Bs nha khoa Thùy Anh
6 năm trước
Chia sẻ
THỬ PHẪU THUẬT CƯỜI HỞ LỢI MỘT LẦN VÀ NHẬN CÁI KẾT TRÊN CẢ TUYỆT VỜI
Bạn muốn tạm biệt nụ cười hở lợi hãy nhanh chân đến với Nha Khoa Thùy Anh để thực hiện nhé.? Phẫu thuật nhanh chóng sau 2h.? Không mất thời gian đi lại với chỉ 2 buổi...
Bs nha khoa Thùy Anh
6 năm trước
Chia sẻ
HOÀN THIỆN NỤ CƯỜI CHẠM TỚI ƯỚC MƠ BẰNG PHƯƠNG PHÁP PHẪU THUẬT CƯỜI HỞ LỢI
Phẫu thuật thẩm mỹ cười hở lợi là giải pháp giúp bạn có ngay một khuôn mặt tự tin, rạng ngời, tỏa nắng và không còn những mặc cảm về tình trạng cười hở lợi nữa.Hãy chia sẻ tình trạng của bạn với chúng...
Bs nha khoa Thùy Anh
6 năm trước
Chia sẻ
HOÀN THIỆN NỤ CƯỜI TỰ MÌNH TRẢI NGHIỆM PHẪU THUẬT CƯỜI HỞ LỢI TẠI NHA KHOA THÙY ANH
Chị Loan đến từ Yên Bái xa xôi nay xuống Nha Khoa Thùy Anh để sử dụng dịch vụ Phẫu thuật cắt nướu lợi để sở hữu nụ cười mới xinh tươi hơn & tự tin hơn trong giao tiếp.Vậy trong quá trình phẫu thuật sẽ...
Bs nha khoa Thùy Anh
6 năm trước
Chia sẻ
HOÀN THIỆN NỤ CƯỜI MỚI - CHẠM TỚI MỌI ƯỚC MƠ
Giải pháp chữa cười hở lợi tại NHA KHOA THÙY ANH là giải pháp giúp bạn cười thật duyên - nhìn thật xinh.1️⃣ Không mất thời gian nghỉ dưỡng.2️⃣ Không hề đau cũng như không khó chịu trong suốt...
Bs nha khoa Thùy Anh
6 năm trước
Chia sẻ
DỨT ĐIỂM HỞ LỢI - THAY ĐỔI CUỘC SỐNG SAU PHẪU THUẬT CƯỜI HỞ LỢI
?Bạn Đạt đã chia tay hẳn với nụ cười hở lợi xấu xí chỉ sau 1 buổi phẫu thuật tại NHA KHOA THÙY ANH????Từ " phẫu thuật" có đáng sợ như bạn nghĩ không❓?Mời các quý bạn nghe cảm nhận của bạn ấy...
Bs nha khoa Thùy Anh
6 năm trước
Chia sẻ
PHẪU THUẬT CƯỜI HỞ LỢI AN TOÀN NHANH CHÓNG HIỆU QUẢ
Sau 2 tuần phẫu thuật khách hàng đã tạm biệt nụ cười hở lợi siêu lớn để rạng rỡ hơn.Bạn Yến đã rất hạnh phúc khi nhận được kết quả hoàn thiện sau 2 tuần phẫu thuật điều trị cười hở lợi tại Nha Khoa...
Bs nha khoa Thùy Anh
6 năm trước
Chia sẻ
CUỘC ĐỜI NỞ HOA NHỜ NỤ CƯỜI HOÀN HẢO HƠN
Nhiều người tìm đến biện pháp chữa cười hở lợi để có một nụ cười rạng rỡ, tự tin trước mọi ánh nhìn. Tại Nha Khoa Thùy Anh, bác sĩ chỉ thực hiện 1 lần duy nhất. Với biện pháp cắt nướu, điều chỉnh một...
Bs nha khoa Thùy Anh
6 năm trước
Chia sẻ
Phẫu thuật cười hở lợi cho chị Phượng đến từ Đại Từ Thái Nguyên.
Phẫu thuật cười hở lợi không phải là điều trị bệnh lý mà sửa khiếm khuyết của nụ cười.Quý bạn cùng theo dõi live của nha khoa nhé.NHA KHOA THÙY ANH – ĐẲNG CẤP HÀNG HIỆU☎ Hotline:...
Bs nha khoa Thùy Anh
6 năm trước
Chia sẻ
NÂNG TẦM NHAN SẮC BẰNG PHƯƠNG PHÁP PHẪU THUẬT CƯỜI HỞ LỢI
--------------? Phẫu thuật nhanh chóng chỉ sau 2h.? Kết quả vĩnh viễn sau chỉ 1 lần phẫu thuật.? Bình phục nhanh không ảnh hưởng ăn uống.? Không cần nghỉ dưỡng...
Bs nha khoa Thùy Anh
6 năm trước
Chia sẻ
ca cắt chỉ , hoàn thiện quá trình phẫu thuật điều trị cười hở lợi cho bạn Vũ Trần Bảo Yến đến từ Sông Công
NHA KHOA THÙY ANH – ĐẲNG CẤP HÀNG HIỆU☎ Hotline: 0869.800.318? Website: rangthuyanh.com? link youtube: http://bit.ly/nhakhoathuyanh.⏰ Thời gian làm việc: 8h00 am - 19h00...




