Videos
Bs nha khoa Thùy Anh
6 năm trước
Chia sẻ
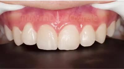
Kết quả sau khi khắc phục răng bị nứt dọc thân răng, xỉn màu, răng hô mất thẩm mỹ.
Điều gì khiến răng sứ thẩm mỹ tại Nha Khoa Thùy Anh lại ?HOT ? đến vậy:✔️ Thiết kế nụ cười biết trước kết quả bằng công nghệ SMILE DESIGN - Duy nhất tại Thái...
Bs nha khoa Thùy Anh
6 năm trước
Chia sẻ
SMILE DESIGN LÀ GÌ
Nó xem như là bản thiết kế nụ cười sao cho hài hòa với hình thể của môi, răng, nướu, với tổng thể khuôn mặt, màu da và mái tóc giúp chúng ta có thể xem trước được kết quả trên máy vi...
Bs nha khoa Thùy Anh
6 năm trước
Chia sẻ
RĂNG SỨ TRỒNG TRÊN CHÂN RĂNG IMPLANT CÓ GÌ KHÁC?
?? Bạn đã từng trồng răng sứ lên chưa và bạn đang có thắc mắc trồng răng sứ thường và trồng răng sứ trên chân răng nhân tạo có gì khác nhau?Sẽ có những khác biệt cơ bản mà chúng ta có thể nhận ra...
Bs nha khoa Thùy Anh
6 năm trước
Chia sẻ
Gắn cố định 6 chụp sứ khắc phục răng thưa, hình thể k đều cho bạn Huy đến từ Bắc Giang.
Răng thưa mang đến những nhược điểm gì?Răng thưa, hàm răng không đều làm cho bạn không tự tin, không thoải mái khi giao tiếp với mọi người. Gây khó khăn khi phát âm ảnh hưởng trực tiếp đến giao tiếp...
Bs nha khoa Thùy Anh
6 năm trước
Chia sẻ
TRỒNG RĂNG SỨ KHÔNG MÀI RĂNG - GIẢI PHÁP HOÀN HẢO PHỤC HỒI RĂNG MẤT.
? Không xâm lấn 2 răng bên cạnh.? Hạn chế tối đa tiêu xương hàm.? Ăn nhai như răng thật.? Thời gian sử dụng lâu dài.Inbox ngay để được tư vấn cụ thể hơn...
Bs nha khoa Thùy Anh
6 năm trước
Chia sẻ
NẾU RĂNG BẠN XẤU, LỆCH LẠC NHẸ, THƯA NHƯNG KHÔNG MUỐN NIỀNG RĂNG THÌ BỌC RĂNG SỨ ĐANG LÀ PHƯƠNG PHÁP CHỈNH SỬA TỐT NHẤT HIỆN NAY.
??Tại NHA KHOA THÙY ANH có xưởng chế tác răng sứ riêng, đội ngũ bác sỹ chính quy y HÀ NỘI, cùng trang thiết bị hiện đại cam kết sẽ mang đến cho quý bạn sự hài lòng tuyệt đối?RĂNG SỨ thiết kế form phù...
Bs nha khoa Thùy Anh
6 năm trước
Chia sẻ
RĂNG SỨ THẨM MỸ XUẤT XỨ NHẬT BẢN CHỈ TỪ 1,5 TRIỆU/RĂNG.
✔️ Thiết kế nụ cười biết trước kết quả bằng công nghệ SMILE DESIGN - Duy nhất tại Thái Nguyên.✔️ Mô phỏng chính xác chuyển động nhai - Ăn nhai như thật, không cần tập làm quen...
Bs nha khoa Thùy Anh
6 năm trước
Chia sẻ
NHA KHOA THÙY ANH - LỰA CHỌN HOÀN HẢO ĐỂ THAY ĐỔI.
Khi bạn có hình thể răng không đẹp, khấp khểnh nhẹ, răng có khe thưa hoặc màu răng xấu (Nhiễm màu kháng sinh, flour) thì bọc răng sứ thẩm mỹ là lựa chọn được ưu tiên để xử lý và cải thiện tình trạng...
Bs nha khoa Thùy Anh
6 năm trước
Chia sẻ
NHA KHOA THÙY ANH - TÌM LẠI NỤ CƯỜI VÀ SỨC KHỎE RĂNG MIỆNG CỦA BẠN TRONG TẦM TAY
Tình trạng răng trước đây của bạn Thơm bị thưa khiến bạn khá là tự ti , ngại giao tiếp & bạn đã quyết định bọc răng sứ tại một địa chỉ Nha Khoa trên địa bàn Huyện.Nhưng rất buồn, chỉ sau 1 năm lợi bạn...
Bs nha khoa Thùy Anh
6 năm trước
Chia sẻ
Bs nha khoa Thùy Anh
6 năm trước
Chia sẻ
Bs nha khoa Thùy Anh
6 năm trước
Chia sẻ
THẨM MỸ TOÀN HÀM - NỤ CƯỜI RẠNG NGỜI.
Sau khi làm răng xong chị cười suốt thôi. Đó là lời chia sẻ của chị Hiền Lương.Điều gì khiến răng sứ thẩm mỹ tại Nha Khoa Thùy Anh lại kỳ diệu đến vậy❓✔️ Màu sắc răng trắng sáng tự...
Bs nha khoa Thùy Anh
6 năm trước
Chia sẻ
BỌC RĂNG SỨ SỞ HỮU NỤ CƯỜI TỰ TIN ĐỂ NỤ CƯỜI THƯỜNG TRỰC TRÊN MÔI
Tại Nha khoa Thùy Anh bạn sẽ có bản thiết kế nụ cười xem trước, bạn ưng rồi thì mới thực hiện.Chúng tôi cũng tư vấn miễn phí cho bạn, lên kế hoạch thiết kế miễn phí.bạn sẽ chẳng dại gì bỏ một đống...
Bs nha khoa Thùy Anh
6 năm trước
Chia sẻ
Ca gắn 4 răng sứ thẩm mỹ chỉnh sửa tình trạng răng thưa cho khách hàng.
Răng thưa mang đến những nhược điểm gì?Răng thưa, hàm răng không đều làm cho bạn không tự tin, không thoải mái khi giao tiếp với mọi người. Gây khó khăn khi phát âm ảnh hưởng trực tiếp đến giao...
Bs nha khoa Thùy Anh
6 năm trước
Chia sẻ
BỌC RĂNG SỨ - HOÀN THIỆN NỤ CƯỜI KHÔNG PHÂN BIỆT TUỔI TÁC
Tình trạng trước đây của cô Vuông: Bị sâu kẽ răng, hô nhẹ,...Gây khó khăn cho cô trong ăn uống, gây đau & khó chịu...Vì sợ đau nên cô phải chịu đựng hơn 1 năm :"(Qua sự giới thiệu của chị Dâu thì cô...
Bs nha khoa Thùy Anh
6 năm trước
Chia sẻ
BỌC RĂNG SỨ ĐỂ SỞ HỮU NỤ CƯỜI HOÀN HẢO TẠI NHA KHOA THÙY ANH
Cô Thuộc bị đau tủy răng do ngày trước được điều trị tại trung tâm khác chưa hoàn thiện. Lần này đến với Nha Khoa Thùy Anh các bá sỹ đã giúp cô làm lại tủy và boc những chiếc răng sứ xinh đẹp khiến cô...
Bs nha khoa Thùy Anh
6 năm trước
Chia sẻ
BỌC RĂNG SỨ - BÍ MẬT LƯU GIỮ NỤ CƯỜI CỦA PHÁI ĐẸP
Tình trạng trước đây của bạn Thu là răng sâu kẽ, mọc lệch lạc, hô nhẹ,...Sau tìm hiểu & em gái giới thiệu thì chị đã quyết định qua Nha Khoa Thùy Anh để bọc răng sứ, chỉ sau vài ngày chị đã sở hữu nụ...
Bs nha khoa Thùy Anh
6 năm trước
Chia sẻ
HOÀN THIỆN NỤ CƯỜI MỚI - GÌN GIỮ NÉT DUYÊN XƯA
❤️ Một hàm răng đẹp không chỉ giúp bạn tự tin trong giao tiếp mà còn mang lại lợi ích hơn thế, đặc biệt trong các công việc cần giao tiếp nhiều với mọi người.Hãy để nha khoa Thùy Anh KIẾN TẠO NỤ...
Bs nha khoa Thùy Anh
6 năm trước
Chia sẻ
BỌC RĂNG SỨ - HOÀN THIỆN NỤ CƯỜI MỘT CÁCH CHÂN THỰC NHẤT
Tại NHA KHOA THÙY ANH với đội ngũ bác sỹ chính quy đại học y hà nội cùng nhiều trang thiết bị hiện đại, có xưởng chế tác răng sứ riêng cam kết sẽ đem đến cho quý bạn sự hài lòng tuyệt đối.Bạn còn thắc...
Bs nha khoa Thùy Anh
6 năm trước
Chia sẻ
ĐÁNH BAY MỌI NỖI SỢ KHI BỌC RĂNG SỨ TẠI NHA KHOA THÙY ANH
KH đến với NHA KHOA THÙY ANH với tình trạng răng thưa, hình thể xấu, còn 4 răng sữa không có mầm răng vĩnh viễn, viêm lợi nhẹ và chị đã quyết định bọc 8 răng sứ thẩm mỹ tại NHA KHOA THÙY...
Bs nha khoa Thùy Anh
6 năm trước
Chia sẻ
TẤT CẢ KHÔNG CÒN NỖI LO SỢ KHI ĐẾN VỚI NHA KHOA THÙY ANH
?Chúng tôi vừa mới " Thức tỉnh" nụ cười của bạn Lệ bằng 6 chiếc răng sứ thẩm mỹ, lột xác nụ cười hoàn hảo, che lấp hẳn nụ cười kém xinh trước đây của bạn?? Giờ đây bạn có thể tự tin cười toe tua...
Bs nha khoa Thùy Anh
6 năm trước
Chia sẻ
gắn cố định răng sứ cho chị Hiền.
Với công nghệ bọc răng sứ mới hiện nay Nha Khoa Thùy Anh sẽ không làm bạn thất vọng.✔️ Thiết kế nụ cười biết trước kết quả bằng công nghệ SMILE #DESIGN - Duy nhất tại Thái...
Bs nha khoa Thùy Anh
6 năm trước
Chia sẻ
TỰ TIN HƠN VỚI HÀM RĂNG MỚI
Chị Huyền tâm sự rằng trước đây mình ít cười hở răng vì răng mình không đẹp, có đốm đen như người hút thuốc lá, hình thể răng không đều nhau...???Sau khi tìm hiểu qua facebook, google chị đã quyết...
Bs nha khoa Thùy Anh
6 năm trước
Chia sẻ
BỌC RĂNG SỨ THẨM MỸ - LẤY LẠI SỰ TỰ TIN CHO PHÁI MẠNH
Những trường hợp nên bọc sứ:? Răng bị nứt gãy, vỡ gây khó cho việc ăn nhai và làm mất thẩm mỹ nếu là răng cửa.? Răng bị suy yếu do sâu răng quá nặng.? Răng có bề mặt men bong tróc, bị...
Bs nha khoa Thùy Anh
6 năm trước
Chia sẻ
KHÔNG ĐAU KHÔNG MÀI NHỎ HÃY ĐẾN NHA KHOA THÙY ANH
Chỉ với 20 chiếc răng sứ & qua 2 lần hẹn của bác sỹ tại NHA KHOA THÙY ANH , khách hàng đã có được 1 nụ cười quá là tuyệt vờiBọc răng sứ thẩm mỹ khắc phục tình trạng răng:- Răng thưa.- Răng sứt mẻ,...
Bs nha khoa Thùy Anh
6 năm trước
Chia sẻ
NHA KHOA THÙY ANH - NƠI NỤ CƯỜI ĐƯỢC TỎA SÁNG
Tại Nha Khoa Thùy Anh làm răng sứ thẩm mỹ bạn được:➡️ Hưởng ưu đãi khuyến mại lớn➡️ Biết trước kết quả bằng công nghệ smile design➡️ Không mài nhỏ răng➡️ Không điều trị...
Bs nha khoa Thùy Anh
6 năm trước
Chia sẻ
gắn 4 răng sứ thẩm mỹ, thay đổi nụ cười cho bạn Lan - Phổ Yên
bọc_răng_sứ_không_diệt_tủylàm_răng_biết_trước_kết_quảbảo_hành_dài_bảo_dưỡng_tận_tìnhNhanh tay comment, inbox ,sđt để tư vấn miễn phí !!------------NHA KHOA THÙY ANH – ĐẲNG CẤP HÀNG...
Bs nha khoa Thùy Anh
6 năm trước
Chia sẻ
NHA KHOA THÙY ANH - NƠI NÍU GIỮ THANH XUÂN
16 răng sứ thẩm mỹ cải thiện:? Thiểu sản men răng.? Hình thể không đều.? Màu sắc đốm vàng mất thẩm mỹ.? Hô nhẹ vùng răng cửa.Điều trị răng sứ tại Nha Khoa...
Bs nha khoa Thùy Anh
6 năm trước
Chia sẻ
NẾU BẠN MUỐN CÓ NỤ CƯỜI HOÀN HẢO HƠN HÃY CHỌN NHA KHOA THÙY ANH
?Điều gì khiến răng sứ thẩm mỹ tại Nha Khoa Thùy Anh lại ?HOT ? đến vậy:✔️ Thiết kế nụ cười biết trước kết quả bằng công nghệ SMILE DESIGN - Duy nhất tại Thái...
Bs nha khoa Thùy Anh
6 năm trước
Chia sẻ
BỌC RĂNG SỨ - THÊM TỰ TIN
CHẤT LƯỢNG AN TOÀN - ĐỘ BỀN ĐẢM BẢO
?Nụ cười của bạn Hà đã thay đổi hoàn toàn sau khi bọc răng sứ thẩm mỹ tại Nha Khoa Thùy Anh?--------------------?Điều gì khiến răng sứ thẩm mỹ tại Nha Khoa Thùy Anh lại ?HOT ?đến...




