Hình ảnh trồng răng implant và thẩm mỹ răng sứ nguyên hàm – Nha khoa Peace Dentistry - Ca 12
Bs nha khoa Peace Dentistry
5 năm trước
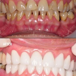
Ca lâm sàng: thẩm mỹ răng sứ nguyên hàm (Ceramill Zolid) và cấy ghép Implant (Hiossen – made in USA)
Khách hàng nam trên 40 tuổi đến nha khoa với những than phiền chính yếu: răng tối màu, hở kẻ nhiều răng, mòn cổ chân răng và mẻ một số răng. Ngoài ra, còn mất 2 răng hàm dưới nhiều năm.
Tình trạng trước điều trị:
- Răng tối màu do bệnh lý về men răng (tẩy trắng không hiệu quả)
- Mòn cổ chân răng nhiều răng
- Răng hở kẻ nhiều răng
- Một số răng bị mẻ
- Mất 2 răng hàm dưới: R34, R46 và tiêu xương nhiều
Mong muốn chính của KH:
- Thẩm mỹ răng sứ để thay đổi hoàn toàn diện mạo hàm răng với form răng nam tính, màu trắng sáng, đặc biệt là nhìn phải tự nhiên, ăn uống thoải mài và đặc biệt phải sử dụng lâu dài.
- Khôi phục 2 răng đã mất bằng phương pháp tối ưu nhất (cấy ghép Implant)
Chỉ định của bác sĩ:
- Thẩm mỹ răng sứ với 18 răng sứ (9 răng hàm trên + 9 răng hàm dưới)
- Sứ Zirconia Ceramill Zolid CAD/CAM (made in Germany), bảo hành IDPI 10 năm
- Ghép xương và cấy ghép 2 đơn vị Implant vùng răng R34, R46. Phục hình trên Implant sau 4 tháng.
- Implant: Hiossen (made in USA), bảo hành trọn đời




