Hình ảnh dán sứ Veneer – Nha khoa Peace Dentistry – Ca 23
Bs nha khoa Peace Dentistry
5 năm trước
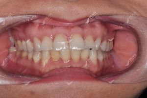
Tình trạng: răng ố vàng, hình thể răng chưa đẹp hoàn hảo
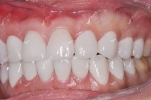
Giải pháp: dán sứ Veneer 20 răng.
Hình thể răng tròn, mềm mại tự nhiên.




