Hình ảnh dán sứ Veneer kết hợp thay cầu răng sứ, tẩy trắng răng - Nha khoa Peace Dentistry - Ca 10
Bs nha khoa Peace Dentistry
5 năm trước
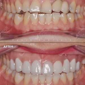
Khách hàng nữ 32 tuổi đến khám với những than phiền chủ yếu: cầu răng sứ cũ đã kém thẩm mỹ và gây viêm nướu, một số răng bị đau nhức, các răng còn lại tối màu, hình thể chưa đẹp ảnh hưởng đến thẩm mỹ nụ cười.
Tình trạng trước điều trị
(Thông qua hoạt động khám lâm sàng và film Panorex – hệ thống Xquang Gendex 700 Siries)
- Cầu răng sứ R22-23 kém thẩm mỹ, lộ viền răng, gây viêm nướu.
- Răng 24 sâu răng tới tủy (viêm tủy), răng R22 có hiện tượng viêm tủy.
- Các răng còn lại hàm trên tối màu (do men răng), hình thể kém thẩm mỹ, một số răng mẻ.
⛔️ Lưu ý: răng hàm dưới lộ diện ít khi cười, có nhiễm màu do thực phẩm.
Mong muốn của KH:
- Thay cầu răng sứ mới với tính thẩm mỹ cao, ăn nhai tốt trong lâu dài.
- Chữa trị triệt để vấn đề bị đau do răng sâu đến tủy, viêm nướu.
- Đặc biệt, khách hàng mong muốn thẩm mỹ các răng khác để có nụ cười đẹp hơn nhưng hạn chế tối đa mài răng và làm ít răng nhất có thể.
Chỉ định điều trị:
- Tháo bỏ cầu răng sứ R22-23.
- Nội nha lại R22:, nội nha R24, làm cầu răng sứ mới R22-24. Sứ Zirconia Ceramill Zolid CAD/CAM (made in Germany, bảo hành 10 năm IDPI).
- Dán 5 mặt sứ Veneer Emax CAD/CAM (made in Germany, bảo hành 10 năm).
- Tẩy trắng răng Plasma hàm dưới.
Kết quả sau điều trị:
- Cầu răng sứ mới đáp ứng tốt chức năng ăn nhai và thẩm mỹ, cảm giác răng thoải mái.
- Cầu răng mới kết hợp với 5 Veneer hàm trên và hàm dưới được tẩy trắng Plasma, khách hàng đã có một hàm răng mới với cung răng chuẩn, hình thể răng tinh tế, màu sắc trắng sáng tự nhiên hài hòa màu răng toàn hàm.
- Chức năng ăn nhai toàn hàm tốt, cảm giác răng thoải mái.
- Răng thật được bảo tồn tối ưu.
- Và đặc biệt với giải pháp điều trị của bác sĩ Nguyễn Thị Mỹ Hạnh như trên đã giúp khách hàng rất tiết kiệm chi phí.




