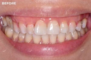
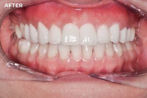
Hình ảnh bọc răng sứ và cắt lợi – Nha khoa Peace Dentistry – ca 21
Bs nha khoa Peace Dentistry
5 năm trước
Tình trạng: cười hở lợi, đường lợi không đều, hình thể răng không đẹp và ngà răng có hiện tượng vàng bẩm sinh.
Chỉ định điều trị:
- Phẫu thuật cắt lợi và điều chỉnh ổ xương răng để khắc phục hiện tượng cười hở lợi và tạo đường nướu đều, đẹp.
- Thẩm mỹ răng sứ cho hàm trên để điều chỉnh hình thể răng hài hòa và có màu sắc trắng, sáng nhưng vẫn mang nét tự nhiên của răng thật.
- Tẩy trắng răng Plasma (thuốc tẩy Pola Office 35% - SDI, Úc) cho hàm dưới




